8 Week Sono

8 Week Sono

Pregnancy is an exciting journey filled with anticipation and wonder. One of the most significant milestones during this period is the 8 Week Sono, or the 8-week ultrasound. This crucial scan provides valuable insights into the development of the fetus and the overall health of the pregnancy. Understanding the importance of the 8 Week Sono and what to expect can help expectant parents feel more prepared and informed.

What is an 8 Week Sono?

The 8 Week Sono is an ultrasound examination performed around the eighth week of pregnancy. This scan is typically done transvaginally, where a probe is inserted into the vagina to get a clearer image of the uterus and the developing fetus. The primary goal of the 8 Week Sono is to confirm the presence of a viable pregnancy, assess the fetal heart rate, and check for any early signs of potential complications.

Why is the 8 Week Sono Important?

The 8 Week Sono plays a pivotal role in early pregnancy monitoring. Here are some key reasons why this scan is important:

  • Confirming Viability: The scan helps confirm that the pregnancy is progressing normally and that the fetus is developing as expected.
  • Detecting Multiple Pregnancies: It can identify if there are multiple fetuses, which is crucial for planning and managing the pregnancy.
  • Assessing Fetal Heart Rate: The fetal heart rate can be detected and measured, providing an early indication of the fetus’s health.
  • Checking for Ectopic Pregnancy: The scan can help rule out an ectopic pregnancy, where the fertilized egg implants outside the uterus.
  • Identifying Potential Complications: Early detection of issues such as miscarriage or molar pregnancy can be crucial for timely intervention.

What to Expect During the 8 Week Sono

Preparing for the 8 Week Sono involves understanding what to expect during the procedure. Here are the steps involved:

  • Preparation: You may be asked to empty your bladder before the scan. For a transvaginal ultrasound, you will need to undress from the waist down and lie on an examination table with your feet in stirrups.
  • Procedure: The ultrasound technician will insert a lubricated probe into the vagina. The probe emits sound waves that create images of the uterus and the developing fetus. The images are displayed on a monitor, and the technician will measure various aspects of the fetus.
  • Duration: The procedure typically takes about 15-20 minutes. You may feel some discomfort during the insertion of the probe, but it should not be painful.

Understanding the Results of the 8 Week Sono

The results of the 8 Week Sono provide essential information about the pregnancy. Here are some key points to understand:

  • Fetal Heart Rate: A normal fetal heart rate at this stage is typically between 120 and 160 beats per minute. The technician will measure and record this rate.
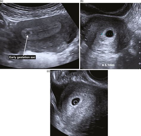
  • Gestational Sac: The gestational sac, which contains the developing embryo, should be visible. Its size and location are important indicators of a healthy pregnancy.
  • Yolk Sac: The yolk sac, which provides early nutrition to the embryo, should also be visible. Its presence is a positive sign of a viable pregnancy.
  • Crown-Rump Length (CRL): The CRL is the measurement from the top of the embryo’s head to its bottom. This measurement helps determine the gestational age and assess the embryo’s growth.

📝 Note: If any abnormalities are detected during the 8 Week Sono, your healthcare provider will discuss the findings with you and recommend further testing or follow-up appointments as needed.

Common Findings During the 8 Week Sono

During the 8 Week Sono, several findings are common and expected. Here are some of the typical observations:

  • Fetal Pole: The fetal pole, which is the earliest visible part of the embryo, should be visible. It appears as a small, curved structure within the gestational sac.
  • Heartbeat: The fetal heartbeat should be detectable and visible on the ultrasound. This is a reassuring sign of a viable pregnancy.
  • Amniotic Fluid: The amniotic sac, which contains the amniotic fluid, should be visible. This fluid provides a protective cushion for the developing fetus.

Potential Complications Detected During the 8 Week Sono

While the 8 Week Sono is primarily a reassuring scan, it can also detect potential complications. Some of these include:

  • Miscarriage: The scan can detect signs of a miscarriage, such as a lack of fetal heartbeat or an empty gestational sac.
  • Ectopic Pregnancy: An ectopic pregnancy occurs when the fertilized egg implants outside the uterus, typically in the fallopian tube. The scan can help identify this condition.
  • Molar Pregnancy: A molar pregnancy is a rare condition where abnormal tissue develops instead of a fetus. The scan can detect the characteristic appearance of a molar pregnancy.

📝 Note: If any concerns are raised during the 8 Week Sono, your healthcare provider will discuss the next steps and any necessary follow-up care.

Preparing for the 8 Week Sono

Preparing for the 8 Week Sono involves a few simple steps to ensure a smooth and comfortable experience. Here are some tips:

  • Hydration: Drink plenty of water before the scan to ensure a full bladder, which can help improve the quality of the ultrasound images.
  • Comfortable Clothing: Wear comfortable clothing that allows easy access to the abdomen or lower body, depending on the type of ultrasound.
  • Questions: Prepare a list of questions to ask your healthcare provider during the scan. This is a good opportunity to address any concerns or seek clarification on the pregnancy process.

Emotional Support During the 8 Week Sono

The 8 Week Sono can be an emotional experience for many expectant parents. Here are some ways to seek emotional support during this time:

  • Partner Support: Having your partner or a trusted friend with you during the scan can provide comfort and emotional support.
  • Professional Counseling: If you have concerns or anxieties about the pregnancy, consider speaking with a counselor or therapist who specializes in prenatal care.
  • Support Groups: Joining a support group for expectant parents can provide a sense of community and shared experiences.

Follow-Up Care After the 8 Week Sono

After the 8 Week Sono, follow-up care is essential to monitor the progress of the pregnancy. Here are some steps to take:

  • Regular Check-Ups: Schedule regular prenatal check-ups with your healthcare provider to monitor the pregnancy’s progress.
  • Prenatal Vitamins: Continue taking prenatal vitamins as recommended by your healthcare provider to support the fetus’s development.
  • Healthy Lifestyle: Maintain a healthy lifestyle, including a balanced diet, regular exercise, and adequate rest.

📝 Note: If you have any concerns or questions after the 8 Week Sono, do not hesitate to contact your healthcare provider for guidance and support.

Conclusion

The 8 Week Sono is a crucial milestone in the journey of pregnancy. It provides valuable insights into the development of the fetus and helps ensure a healthy pregnancy. By understanding what to expect during the scan, preparing adequately, and seeking emotional support, expectant parents can navigate this important stage with confidence and peace of mind. Regular follow-up care and a healthy lifestyle are essential for a successful pregnancy outcome. The 8 Week Sono is just the beginning of an exciting journey filled with anticipation and joy.

Related Terms:

  • transabdominal ultrasound at 8 weeks
  • pregnancy symptoms at 8 weeks
  • 8 weeks ultrasound scan
  • ultrasound of 8 week pregnancy
  • 8 week fetus on ultrasound
  • 8 week gestation ultrasound