Ac Joint X Ray

Ac Joint X Ray

Understanding the importance of an Ac Joint X Ray is crucial for anyone dealing with shoulder pain or injuries. The acromioclavicular (AC) joint is a small but significant joint located where the collarbone (clavicle) meets the shoulder blade (scapula). Injuries to this joint are common, especially among athletes and individuals involved in contact sports or activities that involve falling on an outstretched arm. This blog post will delve into the details of Ac Joint X Ray, its significance, the procedure involved, and what to expect from the results.

What is an Ac Joint X Ray?

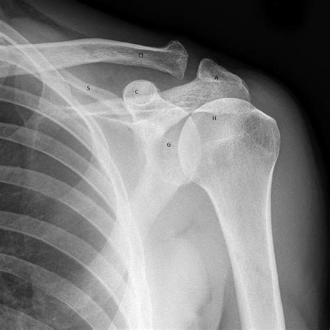
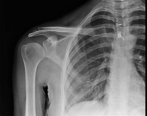
An Ac Joint X Ray is a diagnostic imaging technique used to visualize the acromioclavicular joint. This type of X-ray provides detailed images of the bones and the surrounding structures, helping healthcare professionals to diagnose injuries, fractures, or other abnormalities in the AC joint. The procedure is non-invasive and relatively quick, making it a preferred method for initial assessments of shoulder pain.

Why is an Ac Joint X Ray Important?

An Ac Joint X Ray is important for several reasons:

  • Diagnosis of Injuries: It helps in diagnosing injuries such as AC joint separations, fractures, and dislocations.
  • Treatment Planning: The images obtained from an Ac Joint X Ray assist in planning the appropriate treatment, whether it be conservative management or surgical intervention.
  • Monitoring Progress: For patients undergoing treatment, follow-up X-rays can monitor the healing process and ensure that the treatment is effective.
  • Preventive Measures: Early detection of issues can prevent further damage and complications, ensuring better long-term outcomes.

The Procedure of an Ac Joint X Ray

The procedure for an Ac Joint X Ray is straightforward and typically involves the following steps:

  • Preparation: The patient is usually asked to remove any clothing or jewelry that might interfere with the X-ray. A gown may be provided for modesty.
  • Positioning: The patient is positioned in front of the X-ray machine. The shoulder to be examined is placed in a specific position to ensure clear images of the AC joint.
  • Imaging: The technician will take multiple X-ray images from different angles to get a comprehensive view of the joint. The patient may be asked to hold their breath briefly during the imaging process to minimize movement.
  • Completion: The procedure usually takes only a few minutes. After the images are taken, the patient can resume normal activities.

Note: The procedure is painless, but some patients may experience discomfort from holding certain positions.

What to Expect from the Results

After the Ac Joint X Ray is completed, the images are reviewed by a radiologist, who will provide a report to the referring physician. The results can reveal various conditions, including:

  • Fractures: Breaks in the clavicle or scapula.
  • Dislocations: Separation of the AC joint.
  • Arthritis: Degenerative changes in the joint.
  • Soft Tissue Injuries: Damage to the ligaments and tendons surrounding the joint.

Based on the findings, the physician will discuss the appropriate treatment options with the patient. These may include:

  • Rest and Immobilization: Using a sling or brace to immobilize the shoulder.
  • Medications: Pain relievers and anti-inflammatory drugs.
  • Physical Therapy: Exercises to strengthen the shoulder and improve range of motion.
  • Surgery: In severe cases, surgical intervention may be necessary to repair the joint.

Common Conditions Diagnosed with an Ac Joint X Ray

Several conditions can be diagnosed using an Ac Joint X Ray. Some of the most common include:

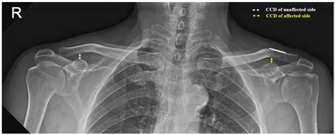
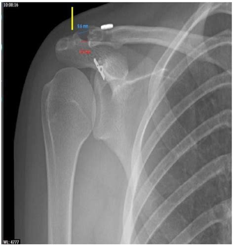
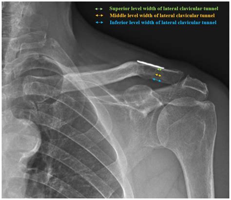
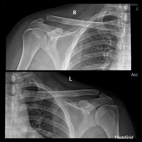
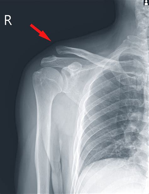
  • AC Joint Separation: This occurs when the ligaments supporting the AC joint are torn, often due to a fall or direct impact. It is graded on a scale from I to VI, with higher grades indicating more severe injuries.
  • Fractures: Breaks in the clavicle or scapula can be clearly seen on an X-ray. These fractures often result from high-impact injuries.
  • Osteoarthritis: Degenerative changes in the AC joint can lead to pain and stiffness. X-rays can show bone spurs and narrowing of the joint space.
  • Rheumatoid Arthritis: This autoimmune condition can affect the AC joint, causing inflammation and damage to the cartilage and bone.

Interpreting the Results of an Ac Joint X Ray

Interpreting the results of an Ac Joint X Ray requires a trained eye. Radiologists look for specific signs and abnormalities that indicate various conditions. Here are some key points they consider:

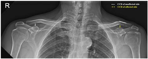
  • Joint Space: The space between the clavicle and scapula should be uniform. Any narrowing or widening can indicate injury or degeneration.
  • Bone Alignment: The bones should be properly aligned. Any displacement or misalignment can suggest a fracture or dislocation.
  • Bone Density: Changes in bone density can indicate conditions like osteoporosis or bone tumors.
  • Soft Tissue: While X-rays primarily show bones, they can also reveal some soft tissue abnormalities, such as swelling or calcification.

Note: It is essential to consult with a healthcare professional for a thorough interpretation of the X-ray results.

Preparing for an Ac Joint X Ray

Preparing for an Ac Joint X Ray is relatively simple. Here are some tips to ensure a smooth experience:

  • Clothing: Wear comfortable clothing that can be easily removed or adjusted. Avoid wearing jewelry or metal objects near the shoulder area.
  • Medications: Inform the healthcare provider about any medications you are taking, especially those that might affect blood clotting.
  • Allergies: Let the provider know if you have any allergies, particularly to contrast dyes, although these are not typically used in standard X-rays.
  • Pregnancy: Inform the provider if you are pregnant, as X-rays are generally avoided during pregnancy unless absolutely necessary.

Follow-Up Care After an Ac Joint X Ray

After undergoing an Ac Joint X Ray, follow-up care is crucial for effective treatment. Here are some steps to consider:

  • Review Results: Schedule a follow-up appointment with your physician to review the X-ray results and discuss the diagnosis.
  • Treatment Plan: Follow the recommended treatment plan, which may include rest, medication, physical therapy, or surgery.
  • Monitor Progress: Attend all follow-up appointments to monitor your progress and make any necessary adjustments to the treatment plan.
  • Lifestyle Changes: Make any recommended lifestyle changes, such as avoiding activities that exacerbate the condition and maintaining a healthy diet.

Note: Adhering to the treatment plan and follow-up care is essential for a successful recovery.

Conclusion

An Ac Joint X Ray is a valuable diagnostic tool for assessing injuries and conditions affecting the acromioclavicular joint. It provides clear images that help healthcare professionals diagnose and treat various shoulder issues effectively. Understanding the procedure, what to expect, and how to prepare can make the experience less daunting and more productive. Whether you are an athlete, a weekend warrior, or someone dealing with chronic shoulder pain, an Ac Joint X Ray can be a crucial step in your journey to recovery and improved shoulder health.

Related Terms:

  • normal acromioclavicular joint x ray
  • ac joint shoulder x ray
  • normal acj joint x ray
  • normal ac joint x rays
  • acromioclavicular joint x ray
  • shoulder ac joint xray