Acid Fast Bacteria

Acid Fast Bacteria

Acid Fast Bacteria are a unique group of microorganisms that exhibit a distinctive staining property, making them resistant to decolorization by acids during the staining process. This characteristic is crucial in microbiology for identifying and classifying these bacteria. Acid Fast Bacteria are particularly significant in medical diagnostics due to their association with various diseases, including tuberculosis and leprosy. Understanding the properties, identification methods, and clinical relevance of Acid Fast Bacteria is essential for healthcare professionals and researchers alike.

Understanding Acid Fast Bacteria

Acid Fast Bacteria are characterized by their ability to retain certain stains, such as carbol fuchsin, even after being treated with acid or alcohol. This property is due to the presence of mycolic acids in their cell walls, which create a waxy, hydrophobic barrier. The most well-known Acid Fast Bacteria include Mycobacterium tuberculosis, the causative agent of tuberculosis, and Mycobacterium leprae, responsible for leprosy.

Identification of Acid Fast Bacteria

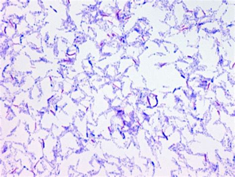
Identifying Acid Fast Bacteria involves specific staining techniques that highlight their unique properties. The most commonly used method is the Ziehl-Neelsen stain, which involves the following steps:

  • Prepare a smear of the bacterial sample on a microscope slide.
  • Heat-fix the smear by passing it through a flame.
  • Stain the smear with carbol fuchsin for about 5 minutes.
  • Decolorize the smear with acid-alcohol for 2-3 minutes.
  • Counterstain with methylene blue or malachite green for 1-2 minutes.
  • Wash the slide with water and observe under a microscope.

Acid Fast Bacteria will appear red or pink due to the retention of carbol fuchsin, while other bacteria will be counterstained blue or green.

🔍 Note: Proper fixation and staining are crucial for accurate identification. Ensure that the smear is adequately heat-fixed and that the staining and decolorization steps are carefully timed.

Clinical Relevance of Acid Fast Bacteria

Acid Fast Bacteria are clinically significant due to their role in causing various infectious diseases. Some of the most notable diseases associated with Acid Fast Bacteria include:

  • Tuberculosis: Caused by Mycobacterium tuberculosis, this disease primarily affects the lungs but can also involve other organs. It is a major global health concern, particularly in regions with high prevalence.
  • Leprosy: Caused by Mycobacterium leprae, this chronic infectious disease affects the skin, peripheral nerves, and mucous membranes. It can lead to severe disfigurement and disability if left untreated.
  • Buruli Ulcer: Caused by Mycobacterium ulcerans, this disease results in large, painless ulcers on the skin and soft tissue. It is prevalent in tropical and subtropical regions.
  • Nontuberculous Mycobacterial Infections: These infections are caused by various species of mycobacteria other than M. tuberculosis and M. leprae. They can affect the lungs, skin, and other organs, often in immunocompromised individuals.

Diagnostic Techniques for Acid Fast Bacteria

In addition to the Ziehl-Neelsen stain, several other diagnostic techniques are used to identify Acid Fast Bacteria. These include:

  • Fluorescent Staining: Methods such as auramine-rhodamine staining followed by fluorescence microscopy can enhance the detection of Acid Fast Bacteria.
  • Molecular Techniques: Polymerase chain reaction (PCR) and other molecular methods can detect specific genetic sequences of Acid Fast Bacteria, providing rapid and accurate identification.
  • Culture Methods: Growing Acid Fast Bacteria in specialized media, such as Löwenstein-Jensen or Middlebrook 7H10/7H11 agar, allows for isolation and further identification.
  • Serological Tests: These tests detect antibodies or antigens specific to Acid Fast Bacteria, aiding in the diagnosis of infections.

Treatment and Management of Acid Fast Bacteria Infections

Treating infections caused by Acid Fast Bacteria often requires prolonged and specific antibiotic regimens due to the bacteria's resistance to many common antibiotics. Some key points in the treatment and management of these infections include:

  • Antibiotic Therapy: Drugs such as isoniazid, rifampin, ethambutol, and pyrazinamide are commonly used to treat tuberculosis. For leprosy, multidrug therapy (MDT) involving dapsone, rifampin, and clofazimine is standard.
  • Directly Observed Therapy (DOT): This approach ensures that patients complete their full course of treatment, which is crucial for preventing drug resistance and relapse.
  • Supportive Care: Managing symptoms and providing nutritional support are essential components of treatment, especially for patients with severe or disseminated infections.
  • Public Health Measures: Contact tracing, isolation of infected individuals, and vaccination (where available) are important public health strategies to control the spread of Acid Fast Bacteria infections.

Prevention and Control of Acid Fast Bacteria Infections

Preventing the spread of Acid Fast Bacteria infections involves a combination of public health measures, vaccination, and individual precautions. Some key strategies include:

  • Vaccination: The Bacillus Calmette-Guérin (BCG) vaccine provides protection against severe forms of tuberculosis, particularly in children.
  • Hygiene and Sanitation: Maintaining good hygiene practices, such as handwashing and proper disposal of infectious materials, can help prevent the spread of infections.
  • Environmental Control: Improving living conditions, ventilation, and reducing overcrowding can decrease the transmission of Acid Fast Bacteria.
  • Education and Awareness: Educating the public about the symptoms, transmission, and prevention of Acid Fast Bacteria infections can empower individuals to take appropriate measures.

In addition to these general measures, specific prevention strategies for different infections include:

Disease Prevention Strategies
Tuberculosis Screening and treatment of latent tuberculosis infection, early detection and treatment of active cases, and use of personal protective equipment (PPE) in healthcare settings.
Leprosy Early detection and treatment of cases, contact tracing, and community education to reduce stigma and promote early reporting of symptoms.
Buruli Ulcer Avoiding contact with contaminated water sources, wearing protective clothing, and early detection and treatment of lesions.

🔍 Note: Early detection and prompt treatment are critical for controlling the spread of Acid Fast Bacteria infections and preventing complications.

Challenges in Managing Acid Fast Bacteria Infections

Managing Acid Fast Bacteria infections presents several challenges due to the unique properties of these bacteria and the complexities of the diseases they cause. Some of the key challenges include:

  • Drug Resistance: The emergence of drug-resistant strains of Acid Fast Bacteria, such as multidrug-resistant tuberculosis (MDR-TB) and extensively drug-resistant tuberculosis (XDR-TB), poses a significant threat to effective treatment.
  • Diagnostic Limitations: Traditional diagnostic methods can be time-consuming and may not always provide accurate results, leading to delays in treatment initiation.
  • Stigma and Discrimination: The social stigma associated with diseases like leprosy can hinder early detection and treatment, as affected individuals may be reluctant to seek medical care.
  • Resource Limitations: In many regions, particularly in low- and middle-income countries, limited resources and infrastructure can impede the effective management of Acid Fast Bacteria infections.

Addressing these challenges requires a multifaceted approach, including the development of new diagnostic tools, improved treatment regimens, enhanced public health infrastructure, and increased awareness and education.

In conclusion, Acid Fast Bacteria play a significant role in various infectious diseases, posing both diagnostic and therapeutic challenges. Understanding their unique properties, identification methods, and clinical relevance is crucial for healthcare professionals and researchers. By implementing effective prevention, diagnosis, and treatment strategies, we can better manage these infections and improve public health outcomes. The ongoing efforts in research and public health initiatives are essential for addressing the challenges posed by Acid Fast Bacteria and ensuring better health for all.

Related Terms:

  • acid fast bacteria definition
  • examples of acid fast bacteria
  • what does acid fast mean
  • acid fast bacteria meaning
  • are mycobacteria acid fast
  • partially acid fast bacteria