Calculus Bridge Teeth

Calculus Bridge Teeth

Dental health is a critical aspect of overall well-being, and advancements in dental technology have made it possible to address various issues with precision and effectiveness. One such innovation is the use of calculus bridge teeth, a solution that combines the principles of calculus with dental bridges to provide a durable and aesthetically pleasing restoration. This blog post delves into the intricacies of calculus bridge teeth, exploring their benefits, the process involved, and how they compare to traditional dental bridges.

Understanding Calculus Bridge Teeth

Calculus bridge teeth represent a cutting-edge approach in dental restoration. Unlike traditional bridges, which rely solely on the support of adjacent teeth, calculus bridge teeth incorporate mathematical principles to ensure a more stable and long-lasting fit. This innovative method involves the use of calculus to determine the optimal placement and design of the bridge, ensuring that it integrates seamlessly with the natural dentition.

Benefits of Calculus Bridge Teeth

There are several advantages to choosing calculus bridge teeth over traditional dental bridges. Some of the key benefits include:

  • Enhanced Stability: The use of calculus ensures that the bridge is perfectly aligned with the natural teeth, providing superior stability and reducing the risk of displacement.
  • Improved Aesthetics: Calculus bridge teeth are designed to mimic the natural shape and color of the surrounding teeth, resulting in a more aesthetically pleasing smile.
  • Durability: The precise calculations involved in the design process ensure that the bridge is robust and can withstand the forces of chewing and biting.
  • Reduced Risk of Complications: The accurate placement of the bridge minimizes the risk of complications such as gum disease and tooth decay.

The Process of Getting Calculus Bridge Teeth

The process of getting calculus bridge teeth involves several steps, each crucial for ensuring a successful outcome. Here is a detailed overview of what to expect:

Initial Consultation

The first step is an initial consultation with a dental professional. During this visit, the dentist will assess the condition of your teeth and determine if calculus bridge teeth are the right solution for you. This may involve taking X-rays and impressions of your teeth to create a detailed treatment plan.

Preparation of the Teeth

Once the treatment plan is in place, the next step is to prepare the teeth that will support the bridge. This typically involves filing down the adjacent teeth to create a stable base for the bridge. The amount of filing required will depend on the specific design of the bridge.

Taking Impressions

After the teeth have been prepared, the dentist will take impressions of your teeth. These impressions are used to create a custom-made bridge that fits perfectly in your mouth. The use of calculus ensures that the impressions are highly accurate, resulting in a bridge that is both comfortable and functional.

Temporary Bridge

While the permanent bridge is being fabricated, a temporary bridge may be placed to protect the prepared teeth and maintain their alignment. This temporary bridge will be removed once the permanent bridge is ready.

Placement of the Permanent Bridge

The final step is the placement of the permanent bridge. The dentist will carefully position the bridge and make any necessary adjustments to ensure a perfect fit. Once the bridge is in place, it will be secured using dental cement or other bonding agents.

🔍 Note: It is important to follow the dentist's instructions for aftercare to ensure the longevity of the bridge. This may include avoiding hard foods and maintaining good oral hygiene.

Comparing Calculus Bridge Teeth to Traditional Dental Bridges

While both calculus bridge teeth and traditional dental bridges serve the same purpose, there are key differences that set them apart. Here is a comparison of the two:

Feature Calculus Bridge Teeth Traditional Dental Bridges
Design Custom-designed using calculus for optimal fit Standard design with less precision
Stability Enhanced stability due to precise calculations Less stable, may require more frequent adjustments
Aesthetics More natural appearance, mimics surrounding teeth May not blend as seamlessly with natural teeth
Durability Highly durable due to precise design May be less durable, requiring more frequent replacements
Risk of Complications Reduced risk due to accurate placement Higher risk of gum disease and tooth decay

Maintaining Calculus Bridge Teeth

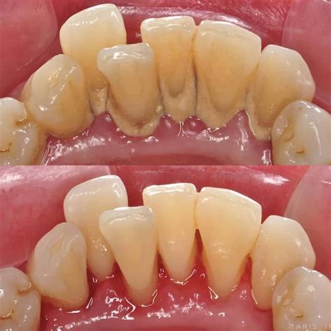
Maintaining calculus bridge teeth is essential for ensuring their longevity and effectiveness. Here are some tips for keeping your bridge in optimal condition:

  • Regular Dental Check-ups: Schedule regular dental check-ups to monitor the condition of your bridge and address any issues promptly.
  • Good Oral Hygiene: Maintain good oral hygiene by brushing and flossing regularly. Pay special attention to the area around the bridge to prevent the buildup of plaque and bacteria.
  • Avoid Hard Foods: Avoid chewing on hard foods that could potentially damage the bridge.
  • Use a Soft-Bristled Toothbrush: Use a soft-bristled toothbrush to gently clean the bridge and surrounding teeth.

By following these maintenance tips, you can ensure that your calculus bridge teeth remain in excellent condition for years to come.

Calculus bridge teeth represent a significant advancement in dental restoration, offering enhanced stability, improved aesthetics, and reduced risk of complications. By understanding the benefits, the process involved, and how to maintain these bridges, you can make an informed decision about your dental health. Whether you are considering calculus bridge teeth or traditional dental bridges, consulting with a dental professional is the first step towards achieving a healthy and beautiful smile.

Related Terms:

  • calculus bridge dental
  • calculus bridge plaque
  • calculus bridge gum line
  • can calculus bridge cause teeth
  • calculus bridge gums
  • calculus bridge teeth removal