Cervix Normal Length

Cervix Normal Length

Understanding the cervix and its normal length is crucial for women's health, particularly when it comes to pregnancy and gynecological examinations. The cervix, a cylindrical structure that connects the uterus to the vagina, plays a vital role in reproductive health. Its length can vary, and knowing what constitutes a cervix normal length is essential for both healthcare providers and patients.

Table of Contents

What is the Cervix?

The cervix is the lower part of the uterus that extends into the vagina. It serves as a passageway for menstrual flow and, during childbirth, it dilates to allow the baby to pass through. The cervix is composed of fibrous and muscular tissue, which provides structural support and flexibility. Its position and length can change throughout a woman’s menstrual cycle and during pregnancy.

Cervix Normal Length

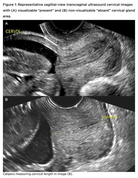
The cervix normal length can vary, but generally, it measures between 3 to 5 centimeters in a non-pregnant woman. This measurement is crucial for several reasons, including the assessment of cervical health and the detection of potential issues such as cervical incompetence or shortening, which can lead to preterm labor.

Measuring the Cervix

Measuring the cervix is typically done during a pelvic exam or through ultrasound imaging. Healthcare providers use these methods to assess the cervix’s length and condition. Here are the common methods used to measure the cervix:

  • Pelvic Exam: During a pelvic exam, a healthcare provider inserts a speculum into the vagina to visualize the cervix. The length can be estimated by palpation, but this method is less precise than ultrasound.
  • Transvaginal Ultrasound: This method provides a more accurate measurement of the cervix. A probe is inserted into the vagina to obtain images of the cervix and uterus. This is the preferred method for assessing cervical length, especially during pregnancy.
  • Transabdominal Ultrasound: In some cases, an ultrasound probe is placed on the abdomen to measure the cervix. This method is less common and generally used when a transvaginal ultrasound is not possible.

Importance of Cervix Length During Pregnancy

During pregnancy, the cervix undergoes significant changes. Its length can shorten as the body prepares for childbirth. Monitoring the cervix normal length is crucial for detecting potential complications such as cervical incompetence, which can lead to preterm labor. Regular check-ups and ultrasounds can help healthcare providers track these changes and intervene if necessary.

Cervical Incompetence

Cervical incompetence, also known as cervical insufficiency, occurs when the cervix shortens and dilates prematurely, leading to miscarriage or preterm birth. This condition can be diagnosed through regular monitoring of the cervix normal length during pregnancy. If detected early, interventions such as a cerclage (a stitch placed in the cervix to keep it closed) can be performed to prevent preterm labor.

Factors Affecting Cervix Length

Several factors can affect the length of the cervix, including:

  • Hormonal Changes: Fluctuations in hormone levels during the menstrual cycle can cause the cervix to change in length and position.
  • Pregnancy: As the uterus expands, the cervix can shorten and dilate in preparation for childbirth.
  • Previous Surgeries: Procedures such as cone biopsy or loop electrosurgical excision procedure (LEEP) can affect the cervix’s structure and length.
  • Infections: Certain infections, such as chlamydia or gonorrhea, can cause inflammation and changes in the cervix.

When to Seek Medical Attention

It is essential to seek medical attention if you experience any of the following symptoms, as they may indicate changes in the cervix normal length:

  • Pelvic pain or pressure
  • Vaginal bleeding or spotting
  • Leaking amniotic fluid
  • Regular contractions before 37 weeks of pregnancy

📌 Note: Regular prenatal check-ups and ultrasounds can help monitor the cervix's length and detect any potential issues early.

Preventive Measures

While some factors affecting cervix length are beyond control, there are preventive measures you can take to maintain cervical health:

  • Regular Check-ups: Schedule regular gynecological exams to monitor your cervical health.
  • Safe Sex Practices: Use protection to prevent sexually transmitted infections that can affect the cervix.
  • Healthy Lifestyle: Maintain a balanced diet, exercise regularly, and avoid smoking to support overall health.

Cervical Length and Fertility

The cervix plays a crucial role in fertility. During ovulation, the cervix produces cervical mucus that facilitates the movement of sperm towards the egg. Changes in the cervix normal length can affect fertility, particularly if the cervix is too short or too long. Monitoring cervical changes can help in timing intercourse for conception.

Cervical Length and Menopause

As women approach menopause, hormonal changes can affect the cervix’s length and structure. The cervix may become shorter and less elastic, which can impact sexual health and comfort. Regular check-ups can help monitor these changes and address any concerns.

Cervical Length and Cancer Screening

Regular cervical cancer screenings, such as Pap smears and HPV tests, are essential for detecting precancerous changes in the cervix. These screenings can help identify abnormalities early, allowing for timely intervention and treatment. Maintaining a cervix normal length is crucial for accurate screening results.

Cervical cancer is a significant health concern for women worldwide. Regular screenings and early detection can save lives. Understanding the importance of cervical length in cancer screening can help women take proactive steps towards their health.

Cervical Length and Sexual Health

The cervix’s position and length can affect sexual health and comfort. During sexual arousal, the cervix may move higher in the vagina, which can impact sensation and pleasure. Understanding these changes can help women and their partners navigate sexual health more effectively.

Cervical Length and Childbirth

During childbirth, the cervix dilates to allow the baby to pass through the birth canal. The cervix normal length can affect the duration and ease of labor. Healthcare providers monitor the cervix’s progress during labor to ensure a safe delivery. In some cases, interventions such as a cesarean section may be necessary if the cervix does not dilate properly.

Cervical Length and Postpartum Care

After childbirth, the cervix returns to its pre-pregnancy length and position. However, it may take several weeks for the cervix to fully recover. Postpartum care, including regular check-ups and pelvic floor exercises, can help restore cervical health and function.

Cervical Length and Contraception

Certain contraceptive methods, such as intrauterine devices (IUDs), can affect the cervix’s length and position. Regular check-ups can help monitor these changes and ensure the effectiveness of contraception. Understanding the impact of contraception on cervical length can help women make informed decisions about their reproductive health.

Cervical Length and Pelvic Organ Prolapse

Pelvic organ prolapse occurs when the muscles and tissues supporting the pelvic organs weaken, causing them to descend into the vagina. Changes in the cervix normal length can contribute to pelvic organ prolapse. Regular check-ups and pelvic floor exercises can help prevent and manage this condition.

Cervical Length and Endometriosis

Endometriosis is a condition where tissue similar to the lining of the uterus grows outside the uterus, often affecting the cervix and other pelvic organs. Changes in the cervix normal length can be a symptom of endometriosis. Regular check-ups and imaging tests can help diagnose and manage this condition.

Cervical Length and Fibroids

Uterine fibroids are noncancerous growths that can affect the cervix’s length and position. Regular check-ups and imaging tests can help diagnose and manage fibroids, ensuring optimal cervical health.

Cervical Length and Polycystic Ovary Syndrome (PCOS)

Polycystic ovary syndrome (PCOS) is a hormonal disorder that can affect the cervix’s length and function. Regular check-ups and hormonal treatments can help manage PCOS and maintain cervical health.

Cervical Length and Adenomyosis

Adenomyosis is a condition where the tissue that lines the uterus grows into the muscular wall of the uterus. This can affect the cervix’s length and position. Regular check-ups and imaging tests can help diagnose and manage adenomyosis, ensuring optimal cervical health.

Cervical Length and Cervical Stenosis

Cervical stenosis is a condition where the cervix narrows, making it difficult for menstrual flow to pass through. This can affect the cervix normal length and cause discomfort. Regular check-ups and treatments can help manage cervical stenosis and improve cervical health.

Cervical Length and Cervical Ectropion

Cervical ectropion is a condition where the inner lining of the cervix protrudes into the vagina. This can affect the cervix’s length and position. Regular check-ups and treatments can help manage cervical ectropion and maintain cervical health.

Cervical Length and Cervical Polyps

Cervical polyps are growths on the cervix that can affect its length and position. Regular check-ups and treatments can help manage cervical polyps and ensure optimal cervical health.

Cervical Length and Cervical Dysplasia

Cervical dysplasia is a condition where abnormal cells grow on the cervix. This can affect the cervix’s length and position. Regular check-ups and treatments can help manage cervical dysplasia and prevent the development of cervical cancer.

Cervical Length and Cervical Cancer

Cervical cancer is a serious health concern for women worldwide. Regular screenings and early detection can save lives. Understanding the importance of cervical length in cancer screening can help women take proactive steps towards their health.

Cervical Length and Cervical Infections

Cervical infections, such as chlamydia and gonorrhea, can affect the cervix’s length and position. Regular check-ups and treatments can help manage cervical infections and maintain cervical health.

Cervical Length and Cervical Trauma

Cervical trauma, such as injuries from sexual activity or medical procedures, can affect the cervix’s length and position. Regular check-ups and treatments can help manage cervical trauma and restore cervical health.

Cervical Length and Cervical Surgery

Cervical surgery, such as cone biopsy or loop electrosurgical excision procedure (LEEP), can affect the cervix’s length and position. Regular check-ups and follow-up care can help manage postoperative changes and ensure optimal cervical health.

Cervical Length and Cervical Cancer Treatment

Cervical cancer treatment, such as surgery, radiation, or chemotherapy, can affect the cervix’s length and position. Regular check-ups and follow-up care can help manage postoperative changes and ensure optimal cervical health.

Cervical Length and Cervical Cancer Prevention

Cervical cancer prevention, such as HPV vaccination and regular screenings, can help maintain cervical health and prevent the development of cervical cancer. Understanding the importance of cervical length in cancer prevention can help women take proactive steps towards their health.

Cervical Length and Cervical Cancer Screening

Cervical cancer screening, such as Pap smears and HPV tests, is essential for detecting precancerous changes in the cervix. Regular screenings can help identify abnormalities early, allowing for timely intervention and treatment. Maintaining a cervix normal length is crucial for accurate screening results.

Cervical Length and Cervical Cancer Diagnosis

Cervical cancer diagnosis, such as colposcopy and biopsy, can help detect cervical cancer early. Regular check-ups and follow-up care can help manage postoperative changes and ensure optimal cervical health.

Cervical Length and Cervical Cancer Treatment Options

Cervical cancer treatment options, such as surgery, radiation, or chemotherapy, can affect the cervix’s length and position. Regular check-ups and follow-up care can help manage postoperative changes and ensure optimal cervical health.

Cervical Length and Cervical Cancer Support

Cervical cancer support, such as counseling and support groups, can help women cope with the emotional and physical challenges of cervical cancer. Regular check-ups and follow-up care can help manage postoperative changes and ensure optimal cervical health.

Cervical Length and Cervical Cancer Research

Cervical cancer research is crucial for developing new treatments and improving outcomes for women with cervical cancer. Understanding the importance of cervical length in cancer research can help women take proactive steps towards their health.

Cervical Length and Cervical Cancer Awareness

Cervical cancer awareness, such as education and advocacy, can help women understand the importance of regular screenings and early detection. Understanding the importance of cervical length in cancer awareness can help women take proactive steps towards their health.

Cervical Length and Cervical Cancer Education

Cervical cancer education, such as workshops and seminars, can help women understand the importance of regular screenings and early detection. Understanding the importance of cervical length in cancer education can help women take proactive steps towards their health.

Cervical Length and Cervical Cancer Advocacy

Cervical cancer advocacy, such as lobbying and fundraising, can help raise awareness and support for cervical cancer research and treatment. Understanding the importance of cervical length in cancer advocacy can help women take proactive steps towards their health.

Cervical Length and Cervical Cancer Fundraising

Cervical cancer fundraising, such as events and campaigns, can help raise funds for cervical cancer research and treatment. Understanding the importance of cervical length in cancer fundraising can help women take proactive steps towards their health.

Cervical Length and Cervical Cancer Events

Cervical cancer events, such as walks and runs, can help raise awareness and support for cervical cancer research and treatment. Understanding the importance of cervical length in cancer events can help women take proactive steps towards their health.

Cervical Length and Cervical Cancer Campaigns

Cervical cancer campaigns, such as social media campaigns and public service announcements, can help raise awareness and support for cervical cancer research and treatment. Understanding the importance of cervical length in cancer campaigns can help women take proactive steps towards their health.

Cervical Length and Cervical Cancer Public Service Announcements

Cervical cancer public service announcements, such as radio and television ads, can help raise awareness and support for cervical cancer research and treatment. Understanding the importance of cervical length in cancer public service announcements can help women take proactive steps towards their health.

Cervical Length and Cervical Cancer Social Media Campaigns

Cervical cancer social media campaigns, such as Facebook and Twitter posts, can help raise awareness and support for cervical cancer research and treatment. Understanding the importance of cervical length in cancer social media campaigns can help women take proactive steps towards their health.

Cervical Length and Cervical Cancer Awareness Month

Cervical cancer awareness month, typically observed in January, is a time to raise awareness and support for cervical cancer research and treatment. Understanding the importance of cervical length in cancer awareness month can help women take proactive steps towards their health.

Cervical Length and Cervical Cancer Screening Guidelines

Cervical cancer screening guidelines, such as those recommended by the American Cancer Society, can help women understand the importance of regular screenings and early detection. Understanding the importance of cervical length in cancer screening guidelines can help women take proactive steps towards their health.

Cervical Length and Cervical Cancer Screening Recommendations

Cervical cancer screening recommendations, such as those from the Centers for Disease Control and Prevention (CDC), can help women understand the importance of regular screenings and early detection. Understanding the importance of cervical length in cancer screening recommendations can help women take proactive steps towards their health.

Cervical Length and Cervical Cancer Screening Tests

Cervical cancer screening tests, such as Pap smears and HPV tests, are essential for detecting precancerous changes in the cervix. Regular screenings can help identify abnormalities early, allowing for timely intervention and treatment. Maintaining a cervix normal length is crucial for accurate screening results.

Cervical Length and Cervical Cancer Screening Intervals

Cervical cancer screening intervals, such as every three to five years, can help women understand the importance of regular screenings and early detection. Understanding the importance of cervical length in cancer screening intervals can help women take proactive steps towards their health.

Cervical Length and Cervical Cancer Screening Age

Cervical cancer screening age, typically starting at age 21, can help women understand the importance of regular screenings and early detection. Understanding the importance of cervical length in cancer screening age can help women take proactive steps towards their health.

Cervical Length and Cervical Cancer Screening Frequency

Cervical cancer screening frequency, such as every three to five years, can help women understand the importance of regular screenings and early detection. Understanding the importance of cervical length in cancer screening frequency can help women take proactive steps towards their health.

Cervical Length and Cervical Cancer Screening Results

Cervical cancer screening results, such as normal or abnormal, can help women understand the importance of regular screenings and early detection. Understanding the importance of cervical length in cancer screening results can help women take proactive steps towards their health.

Cervical Length and Cervical Cancer Screening Follow-Up

Cervical cancer screening follow-up, such as additional tests or treatments, can help women understand the importance of regular screenings and early detection. Understanding the importance of cervical length in cancer screening follow-up can help women take proactive steps towards their health.

Cervical Length and Cervical Cancer Screening Limitations

Cervical cancer screening limitations, such as false positives or negatives, can help women understand the importance of regular screenings and early detection. Understanding the importance of cervical length in cancer screening limitations can help women take proactive steps towards their health.

Cervical Length and Cervical Cancer Screening Benefits

Cervical cancer screening benefits, such as early detection and treatment, can help women understand the importance of regular screenings and early detection. Understanding the importance of cervical length in cancer screening benefits can help women take proactive steps towards their health.

Cervical Length and Cervical Cancer Screening Risks

Cervical cancer screening risks, such as discomfort or infection, can help women understand the importance of regular

Related Terms:

  • normal cervix length ultrasound
  • normal cervix length in mm
  • normal cervix size chart
  • normal cervix length during pregnancy
  • normal cervical length chart
  • normal cervix length chart