Dislocated Small Finger

Dislocated Small Finger

Injuries to the fingers, particularly a dislocated small finger, can be both painful and debilitating. This type of injury occurs when the bones in the finger are forced out of their normal position, often due to trauma or sudden impact. Understanding the causes, symptoms, and treatment options for a dislocated small finger is crucial for anyone who experiences this injury. This blog post will delve into the details of a dislocated small finger, providing comprehensive information to help you manage and recover from this condition effectively.

Understanding a Dislocated Small Finger

A dislocated small finger, also known as a dislocated pinky finger, involves the displacement of the bones in the finger joint. This can happen at any of the three joints in the finger: the distal interphalangeal (DIP) joint, the proximal interphalangeal (PIP) joint, or the metacarpophalangeal (MCP) joint. The small finger is particularly vulnerable to dislocations due to its smaller size and the nature of its movements.

Causes of a Dislocated Small Finger

The most common causes of a dislocated small finger include:

  • Trauma or Impact: Direct blows to the finger, such as those from sports injuries, falls, or accidents, can force the bones out of alignment.
  • Overuse or Repetitive Stress: Activities that involve repetitive gripping or twisting motions can weaken the ligaments and tendons, making the finger more susceptible to dislocation.
  • Pre-existing Conditions: Conditions like arthritis or previous injuries can weaken the finger joints, increasing the risk of dislocation.

Symptoms of a Dislocated Small Finger

Recognizing the symptoms of a dislocated small finger is essential for prompt treatment. Common symptoms include:

  • Severe Pain: Immediate and intense pain at the site of the dislocation.
  • Swelling and Bruising: Rapid swelling and bruising around the affected joint.
  • Deformity: Visible deformity or misalignment of the finger.
  • Limited Mobility: Difficulty moving the finger or an inability to straighten or bend it.
  • Numbness or Tingling: In some cases, numbness or tingling in the finger or hand.

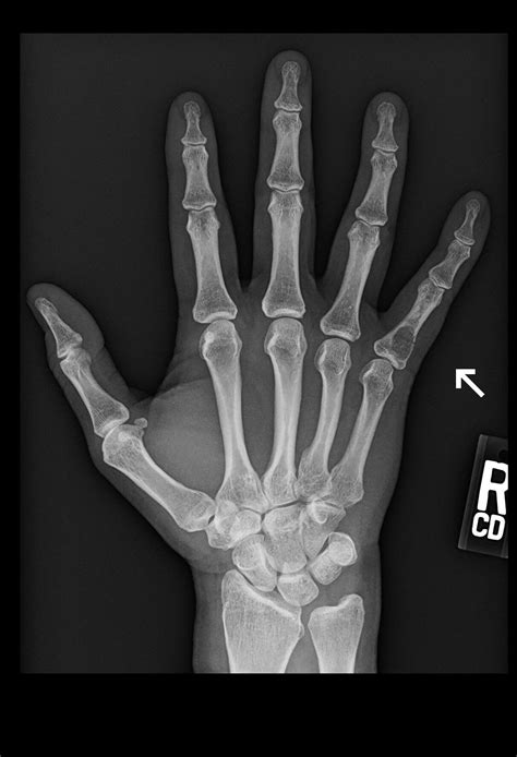
Diagnosing a Dislocated Small Finger

If you suspect a dislocated small finger, it is crucial to seek medical attention promptly. A healthcare professional will perform a physical examination and may order imaging tests to confirm the diagnosis. Common diagnostic methods include:

  • X-rays: To visualize the bones and determine the extent of the dislocation.
  • MRI or CT Scans: In some cases, these advanced imaging techniques may be used to assess soft tissue damage.

Treatment Options for a Dislocated Small Finger

The treatment for a dislocated small finger depends on the severity of the injury and the specific joint affected. Common treatment options include:

Non-Surgical Treatment

For mild to moderate dislocations, non-surgical treatment may be sufficient. This typically involves:

  • Reduction: A healthcare professional will manually realign the bones back into their proper position. This procedure is often performed under local anesthesia to minimize pain.
  • Immobilization: The finger may be immobilized using a splint or buddy taping to the adjacent finger to prevent further movement and promote healing.
  • Ice and Elevation: Applying ice to the affected area and elevating the hand can help reduce swelling and pain.
  • Pain Management: Over-the-counter pain relievers such as ibuprofen or acetaminophen can be used to manage pain and inflammation.

📝 Note: It is important to follow the healthcare professional's instructions for immobilization and rehabilitation to ensure proper healing.

Surgical Treatment

In cases of severe dislocations or when non-surgical methods are ineffective, surgery may be required. Surgical options include:

  • Open Reduction: A surgical procedure to realign the bones and repair any damaged ligaments or tendons.
  • Internal Fixation: Using pins, screws, or wires to hold the bones in place while they heal.

📝 Note: Surgery is typically followed by a period of immobilization and physical therapy to restore function and strength to the finger.

Rehabilitation and Recovery

Rehabilitation is a crucial part of the recovery process for a dislocated small finger. The goal is to restore mobility, strength, and function to the affected finger. Common rehabilitation techniques include:

  • Physical Therapy: Exercises to improve range of motion, flexibility, and strength.
  • Occupational Therapy: Activities to help regain fine motor skills and dexterity.
  • Gradual Return to Activities: Slowly resuming normal activities and avoiding high-impact movements until the finger is fully healed.

Preventing Future Dislocations

While it is not always possible to prevent a dislocated small finger, there are steps you can take to reduce the risk of future injuries:

  • Protective Gear: Wear appropriate protective gear during sports or activities that pose a risk of finger injury.
  • Strengthening Exercises: Perform exercises to strengthen the muscles and ligaments in the fingers and hands.
  • Avoid Repetitive Stress: Take breaks during activities that involve repetitive gripping or twisting motions.

In some cases, individuals with a history of dislocations may benefit from wearing a splint or brace during high-risk activities to provide additional support and stability.

When to Seek Medical Attention

If you experience a dislocated small finger, it is important to seek medical attention promptly. Delaying treatment can lead to complications such as:

  • Chronic Pain: Persistent pain and discomfort in the affected finger.
  • Stiffness and Limited Mobility: Reduced range of motion and flexibility.
  • Arthritis: Increased risk of developing arthritis in the affected joint.

Prompt medical attention can help minimize these risks and promote a faster recovery.

In summary, a dislocated small finger is a common but serious injury that requires prompt medical attention. Understanding the causes, symptoms, and treatment options can help you manage this condition effectively and promote a successful recovery. By following the recommended treatment and rehabilitation protocols, you can regain full function and strength in your finger and reduce the risk of future dislocations.

Related Terms:

  • recovery time for dislocated finger
  • how to fix dislocated pinky
  • signs of a dislocated finger
  • finger dislocated when moving
  • physical therapy for dislocated finger
  • fixing a dislocated finger