Gram Staining Escherichia Coli

Gram Staining Escherichia Coli

Gram staining is a fundamental technique in microbiology used to differentiate bacteria based on their cell wall characteristics. One of the most commonly studied bacteria using this method is *Escherichia coli* (E. coli). Understanding the process of Gram staining *Escherichia coli* is crucial for identifying and classifying this bacterium, which is essential in various fields such as medicine, food safety, and environmental science.

Understanding Gram Staining

Gram staining is named after its inventor, Danish bacteriologist Hans Christian Gram. The technique involves staining bacterial cells with a series of dyes and solvents to differentiate between Gram-positive and Gram-negative bacteria. Gram-positive bacteria retain the crystal violet dye, appearing purple, while Gram-negative bacteria do not retain the dye and appear pink or red after counterstaining with safranin or fuchsine.

Materials and Reagents

To perform Gram staining Escherichia coli, you will need the following materials and reagents:

  • Bacterial culture of Escherichia coli
  • Microscope slides
  • Inoculating loop
  • Bunsen burner or alcohol lamp
  • Crystal violet stain
  • Iodine solution (Gram’s iodine)
  • Decolorizing agent (alcohol or acetone)
  • Counterstain (safranin or fuchsine)
  • Distilled water
  • Paper towels or blotting paper
  • Microscope

Step-by-Step Procedure for Gram Staining Escherichia coli

Follow these steps to perform Gram staining on Escherichia coli:

  1. Prepare the Bacterial Smear: Using an inoculating loop, take a small amount of Escherichia coli culture and spread it thinly on a clean microscope slide. Allow the smear to air dry.
  2. Heat Fix the Smear: Pass the slide through the flame of a Bunsen burner or alcohol lamp several times to heat fix the bacteria. This step kills the bacteria and adheres them to the slide.
  3. Apply Crystal Violet Stain: Cover the smear with crystal violet stain and let it sit for about 1 minute. This primary stain will penetrate all bacterial cells.
  4. Rinse with Water: Gently rinse the slide with distilled water to remove excess stain.
  5. Apply Iodine Solution: Cover the smear with Gram’s iodine solution and let it sit for about 1 minute. The iodine acts as a mordant, forming a complex with the crystal violet stain and trapping it within the cells.
  6. Rinse with Water: Gently rinse the slide with distilled water to remove excess iodine.
  7. Decolorize with Alcohol: Quickly pour alcohol or acetone over the smear and rinse it off immediately. This step decolorizes Gram-negative bacteria, while Gram-positive bacteria retain the crystal violet stain.
  8. Counterstain with Safranin: Cover the smear with safranin or fuchsine counterstain and let it sit for about 30 seconds to 1 minute. This step stains the decolorized Gram-negative bacteria pink or red.
  9. Rinse with Water: Gently rinse the slide with distilled water to remove excess counterstain.
  10. Blot Dry: Blot the slide dry with a paper towel or blotting paper.
  11. Examine Under the Microscope: Place the slide on the microscope stage and examine it under oil immersion (100x objective) to observe the stained bacteria.

🔍 Note: Ensure that the smear is thin and evenly spread to avoid clumping of bacteria, which can interfere with accurate staining and observation.

Interpreting the Results

After performing Gram staining Escherichia coli, you will observe the following:

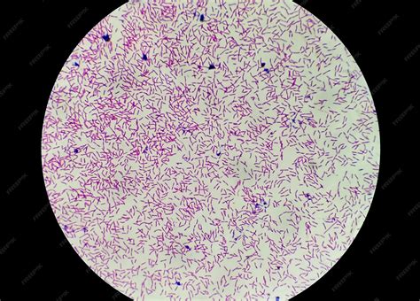
  • Gram-negative Bacteria: Escherichia coli will appear pink or red under the microscope due to the counterstain. The cell walls of Gram-negative bacteria have a thin peptidoglycan layer and an outer membrane, which allows the crystal violet stain to be easily washed out during the decolorization step.
  • Cell Morphology: Escherichia coli is a rod-shaped bacterium, typically appearing as short, straight rods under the microscope.

Importance of Gram Staining Escherichia coli

Gram staining Escherichia coli is crucial for several reasons:

  • Identification and Classification: Gram staining helps in the initial identification and classification of Escherichia coli as a Gram-negative bacterium. This information is essential for further diagnostic tests and treatment decisions.
  • Diagnostic Tool: Gram staining is a rapid and cost-effective method for diagnosing infections caused by Escherichia coli, such as urinary tract infections, gastrointestinal infections, and sepsis.
  • Research and Development: Gram staining is widely used in research to study the structure, function, and behavior of Escherichia coli. It aids in understanding the bacterium’s role in various ecosystems and its interactions with other organisms.
  • Food Safety and Environmental Monitoring: Gram staining is employed in food safety and environmental monitoring to detect and identify Escherichia coli contamination in food products, water sources, and other environmental samples.

Common Applications of Gram Staining

Gram staining has numerous applications in various fields:

  • Clinical Microbiology: Gram staining is routinely used in clinical laboratories to identify bacterial pathogens in clinical specimens, such as blood, urine, sputum, and wound swabs.
  • Food Microbiology: Gram staining is used to detect and identify bacterial contaminants in food products, ensuring food safety and quality.
  • Environmental Microbiology: Gram staining is employed to study bacterial populations in environmental samples, such as soil, water, and air, to understand their roles in ecosystems and biogeochemical cycles.
  • Industrial Microbiology: Gram staining is used in industrial settings to monitor and control bacterial contamination in manufacturing processes, such as fermentation and bioprocessing.

Challenges and Limitations

While Gram staining is a valuable technique, it has some challenges and limitations:

  • Subjectivity: The interpretation of Gram-stained smears can be subjective and dependent on the observer’s experience and skill level.
  • Mixed Infections: In cases of mixed infections, where multiple bacterial species are present, Gram staining may not provide clear results, making it difficult to identify individual pathogens.
  • Decolorization: Over-decolorization or under-decolorization can lead to inaccurate staining results, affecting the interpretation of Gram-stained smears.
  • Staining Artifacts: Staining artifacts, such as precipitates or uneven staining, can interfere with the accurate identification of bacteria.

🔍 Note: To minimize these challenges, it is essential to follow the Gram staining procedure carefully, use high-quality reagents, and maintain proper staining conditions.

Advanced Techniques for Bacterial Identification

In addition to Gram staining, several advanced techniques are available for bacterial identification:

  • Molecular Methods: Techniques such as polymerase chain reaction (PCR), DNA sequencing, and microarray analysis provide highly specific and sensitive identification of bacterial species.
  • Mass Spectrometry: Matrix-assisted laser desorption/ionization time-of-flight mass spectrometry (MALDI-TOF MS) is a rapid and accurate method for identifying bacterial species based on their unique protein profiles.
  • Immunological Methods: Techniques such as enzyme-linked immunosorbent assay (ELISA) and immunofluorescence use antibodies to detect and identify specific bacterial antigens.
  • Cultural Methods: Traditional cultural methods, such as selective and differential media, are still widely used for bacterial identification and characterization.

Future Directions in Bacterial Identification

The field of bacterial identification is continually evolving, with new technologies and approaches emerging to enhance accuracy and efficiency. Some future directions include:

  • Next-Generation Sequencing: Next-generation sequencing (NGS) technologies, such as whole-genome sequencing, offer comprehensive genetic information for bacterial identification and characterization.
  • Artificial Intelligence and Machine Learning: AI and machine learning algorithms can analyze large datasets and identify patterns to improve bacterial identification and classification.
  • Point-of-Care Testing: Rapid and portable diagnostic tools, such as lateral flow assays and microfluidic devices, enable point-of-care testing for bacterial infections, providing timely and accurate results.
  • Metagenomics: Metagenomic approaches allow for the study of microbial communities and their interactions, providing insights into the roles of bacteria in various ecosystems and their impact on human health.

Gram staining Escherichia coli is a fundamental technique in microbiology that plays a crucial role in the identification, classification, and study of this important bacterium. By understanding the principles and procedures of Gram staining, researchers and clinicians can effectively use this method to diagnose infections, monitor environmental samples, and advance our knowledge of bacterial biology. As new technologies and approaches emerge, the field of bacterial identification continues to evolve, offering exciting opportunities for improved accuracy, efficiency, and understanding of bacterial pathogens.

Related Terms:

  • is e coli gram positive
  • e coli negative stain
  • e coli gram stain 1000x
  • e coli gram stain image
  • e coli gram stain arrangement
  • e coli gram stain color