Granular Cell Tumours

Granular Cell Tumours

Granular cell tumours (GCTs) are rare, usually benign neoplasms that can occur in various parts of the body. These tumours are characterized by their distinctive granular appearance under the microscope, which is due to the presence of abundant lysosomes within the tumour cells. GCTs can affect both adults and children, although they are more commonly diagnosed in middle-aged adults. The most frequent sites for GCTs include the head and neck region, particularly the tongue, but they can also occur in the skin, breast, and other soft tissues.

Understanding Granular Cell Tumours

Granular cell tumours are named for their unique histological appearance. Under a microscope, the tumour cells appear granular due to the accumulation of lysosomes, which are organelles involved in the breakdown and recycling of cellular waste. These tumours are typically slow-growing and often present as painless, firm masses. While most GCTs are benign, a small percentage can exhibit malignant behaviour, making accurate diagnosis and management crucial.

Clinical Presentation and Diagnosis

Granular cell tumours can present with a variety of symptoms depending on their location. Common symptoms include:

  • A painless, firm lump or mass
  • Swelling or discomfort in the affected area
  • In some cases, GCTs may cause neurological symptoms if they compress nearby nerves

Diagnosis of GCTs typically involves a combination of clinical examination, imaging studies, and histopathological analysis. Imaging techniques such as ultrasound, computed tomography (CT), and magnetic resonance imaging (MRI) can help determine the size, location, and extent of the tumour. However, the definitive diagnosis is made through a biopsy, where a small sample of the tumour is examined under a microscope.

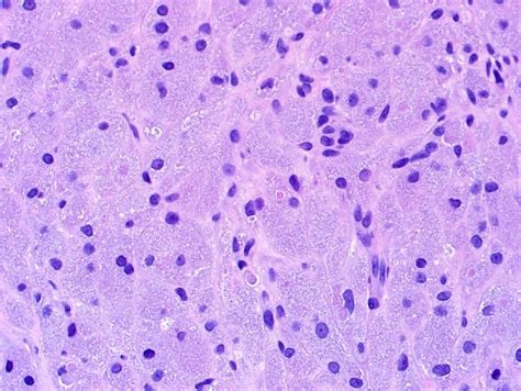
Histopathological Features

The histopathological features of granular cell tumours are distinctive and play a crucial role in their diagnosis. Key features include:

  • Large, polygonal cells with abundant granular cytoplasm
  • Small, centrally located nuclei
  • Abundant lysosomes within the cytoplasm
  • Positive staining for S-100 protein, a marker for neural and melanocytic differentiation

These features help differentiate GCTs from other types of tumours, such as rhabdomyomas and alveolar soft part sarcomas, which may have a similar appearance but different clinical behaviours.

Treatment Options

The treatment of granular cell tumours depends on several factors, including the size and location of the tumour, as well as its histological features. The primary goal of treatment is to achieve complete excision of the tumour while preserving functional and cosmetic outcomes. Common treatment options include:

  • Surgical excision: The most common treatment for GCTs, involving the complete removal of the tumour with clear margins
  • Radiation therapy: May be used in cases where complete surgical excision is not possible or in malignant GCTs
  • Chemotherapy: Rarely used but may be considered in cases of metastatic or recurrent malignant GCTs

In some cases, a multidisciplinary approach involving surgeons, oncologists, and radiologists may be necessary to achieve the best outcomes.

Prognosis and Follow-Up

The prognosis for patients with granular cell tumours is generally favourable, especially for those with benign tumours. However, the prognosis can vary depending on the tumour's location, size, and histological features. Regular follow-up is essential to monitor for recurrence or malignant transformation. Follow-up may include:

  • Clinical examination
  • Imaging studies
  • Histopathological analysis of any recurrent or suspicious lesions

Patients with malignant GCTs require more frequent and thorough follow-up to detect and manage any signs of recurrence or metastasis.

Differential Diagnosis

Granular cell tumours can sometimes be mistaken for other types of tumours due to their similar appearance. Differential diagnoses may include:

  • Rhabdomyoma
  • Alveolar soft part sarcoma
  • Malignant fibrous histiocytoma
  • Liposarcoma

Accurate diagnosis requires a thorough histopathological examination and, in some cases, immunohistochemical staining to differentiate GCTs from these other tumours.

Special Considerations

Granular cell tumours can present unique challenges depending on their location. For example, GCTs in the head and neck region may require special considerations to preserve functional and cosmetic outcomes. Similarly, GCTs in the breast may be mistaken for breast cancer, leading to unnecessary anxiety and additional diagnostic procedures.

In some cases, GCTs may be associated with other conditions, such as neurofibromatosis type 1 (NF1), a genetic disorder characterized by the development of multiple benign tumours. Patients with NF1 may have an increased risk of developing GCTs, and regular monitoring is essential to detect and manage these tumours early.

Granular cell tumours can also occur in children, although they are less common in this age group. The management of GCTs in children may require special considerations to minimize the impact on growth and development.

Case Studies

To better understand the clinical presentation and management of granular cell tumours, let's examine a few case studies:

Case Study 1: A 45-year-old woman presented with a painless, firm mass in her tongue. Imaging studies revealed a well-defined lesion measuring 2 cm in diameter. A biopsy confirmed the diagnosis of a granular cell tumour. The patient underwent surgical excision with clear margins, and follow-up examinations showed no signs of recurrence.

Case Study 2: A 60-year-old man presented with a slowly growing mass in his breast. Initial diagnostic tests suggested a possible breast cancer, but a biopsy revealed a granular cell tumour. The patient underwent surgical excision, and follow-up examinations showed no signs of recurrence.

Case Study 3: A 35-year-old woman with a history of neurofibromatosis type 1 presented with multiple masses in her skin. Biopsies confirmed the diagnosis of granular cell tumours. The patient underwent surgical excision of the tumours, and regular follow-up examinations were scheduled to monitor for recurrence.

📝 Note: These case studies illustrate the diverse clinical presentations and management strategies for granular cell tumours. Each case is unique, and treatment decisions should be tailored to the individual patient's needs and circumstances.

Future Directions in Research

While granular cell tumours are relatively rare, ongoing research is essential to improve our understanding of their pathogenesis, diagnosis, and treatment. Future directions in research may include:

  • Identifying genetic and molecular markers associated with GCTs
  • Developing new diagnostic tools and techniques
  • Exploring novel treatment options, including targeted therapies and immunotherapy
  • Improving follow-up and monitoring strategies to detect recurrence and malignant transformation early

Collaboration between researchers, clinicians, and patients is crucial to advance our knowledge of granular cell tumours and improve patient outcomes.

Granular cell tumours are rare neoplasms that can occur in various parts of the body. While most GCTs are benign, a small percentage can exhibit malignant behaviour, making accurate diagnosis and management essential. Understanding the clinical presentation, histopathological features, and treatment options for GCTs is crucial for healthcare providers to deliver optimal care to patients. Regular follow-up and monitoring are essential to detect recurrence or malignant transformation early. Ongoing research is needed to improve our understanding of GCTs and develop new diagnostic and treatment strategies.

Related Terms:

  • granular cell tumor stomach
  • malignant granular cell tumor treatment
  • adult granulosa cell tumor
  • granular cell tumor finger
  • granular cell tumour child
  • granular cell tumor pathology outlines