High Cheek Bones

High Cheek Bones

High cheek bones are a distinctive facial feature that many people admire for their ability to add structure and definition to the face. Whether you're naturally blessed with high cheek bones or looking to enhance them, understanding their significance and how to highlight them can make a big difference in your overall appearance. This blog post will delve into the anatomy of high cheek bones, their cultural significance, and practical tips on how to accentuate them.

Understanding High Cheek Bones

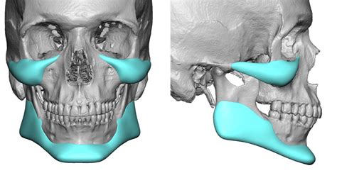
High cheek bones, also known as prominent cheek bones, are the bony structures located beneath the eyes and above the cheek area. They are part of the zygomatic bone, which plays a crucial role in defining the shape of the face. High cheek bones are often associated with youthfulness, beauty, and symmetry. They can create the illusion of a more sculpted and defined face, making them a sought-after feature in many cultures.

The Anatomy of High Cheek Bones

To fully appreciate the beauty of high cheek bones, it's essential to understand their anatomical structure. The zygomatic bone, which forms the cheek bone, connects to several other bones in the skull, including the maxilla, temporal bone, and frontal bone. This complex structure contributes to the overall shape and definition of the face.

The position of the cheek bones can vary from person to person. Some people have high cheek bones, which sit higher on the face, while others have lower cheek bones, which sit closer to the jawline. The height and prominence of the cheek bones can significantly impact facial aesthetics.

Cultural Significance of High Cheek Bones

High cheek bones have been celebrated in various cultures throughout history. In many societies, high cheek bones are seen as a symbol of beauty and elegance. For example, in East Asian cultures, high cheek bones are often associated with youthfulness and vitality. In Western cultures, high cheek bones are frequently featured in beauty standards, with many models and celebrities showcasing this feature.

In some indigenous cultures, high cheek bones are also seen as a sign of strength and resilience. The prominence of the cheek bones can indicate good health and robust genetics, making them a desirable trait in many communities.

Enhancing High Cheek Bones

If you're looking to enhance your high cheek bones, there are several techniques and products you can use to achieve a more defined and sculpted look. Here are some tips to help you accentuate your high cheek bones:

Makeup Techniques

Makeup can be a powerful tool for enhancing high cheek bones. Here are some techniques to try:

  • Contouring: Use a contouring product, such as a cream or powder contour, to create shadows and define the cheek bones. Apply the contour product below the cheek bones and blend it upward toward the hairline. This will create the illusion of higher, more prominent cheek bones.
  • Highlighting: Apply a highlighter to the highest point of your cheek bones to draw attention to them. This will make your cheek bones appear more defined and lifted.
  • Blush Application: Choose a blush shade that complements your skin tone and apply it to the apples of your cheeks. Blend the blush upward toward the cheek bones to create a natural, lifted look.

Skincare Routine

A consistent skincare routine can help maintain the health and appearance of your skin, making your high cheek bones more visible. Here are some skincare tips to consider:

  • Hydration: Keep your skin hydrated by using a moisturizer suitable for your skin type. Hydrated skin appears plumper and more youthful, which can enhance the appearance of your cheek bones.
  • Exfoliation: Regular exfoliation can help remove dead skin cells and improve skin texture. This can make your cheek bones appear more defined and prominent.
  • Sun Protection: Protect your skin from sun damage by using a broad-spectrum sunscreen with at least SPF 30. Sun damage can cause premature aging and loss of skin elasticity, which can affect the appearance of your cheek bones.

Diet and Lifestyle

Your diet and lifestyle can also impact the appearance of your high cheek bones. Here are some tips to consider:

  • Balanced Diet: Eat a balanced diet rich in fruits, vegetables, lean proteins, and whole grains. A healthy diet can promote overall skin health and help maintain the elasticity and firmness of your skin.
  • Regular Exercise: Engage in regular physical activity to improve blood circulation and promote skin health. Exercise can also help maintain a healthy weight, which can enhance the appearance of your cheek bones.
  • Adequate Sleep: Get enough sleep to allow your body to repair and regenerate. Lack of sleep can lead to dark circles, puffiness, and a dull complexion, which can detract from the appearance of your cheek bones.

Non-Surgical Procedures

If you're looking for more dramatic results, you might consider non-surgical procedures to enhance your high cheek bones. Here are some options to explore:

  • Dermal Fillers: Dermal fillers, such as hyaluronic acid, can be injected into the cheek area to add volume and definition. This can create the appearance of higher, more prominent cheek bones.
  • Cheek Implants: Cheek implants are a more permanent solution for enhancing high cheek bones. They are surgically placed beneath the skin to add volume and definition to the cheek area.
  • Thread Lifts: Thread lifts involve inserting dissolvable threads beneath the skin to lift and tighten the cheek area. This can create the appearance of higher, more defined cheek bones.

๐Ÿ“ Note: Always consult with a qualified healthcare professional before undergoing any non-surgical procedures. They can provide personalized advice and ensure that the procedure is safe and suitable for you.

Celebrities with High Cheek Bones

Many celebrities are known for their striking high cheek bones, which contribute to their distinctive and memorable appearances. Here are some notable examples:

Celebrity Known For High Cheek Bones Feature
Angelina Jolie Acting, Philanthropy Prominent, well-defined cheek bones
Gigi Hadid Modeling High, sculpted cheek bones
Lupita Nyong'o Acting Distinctive, high cheek bones
Aishwarya Rai Acting, Modeling Prominent, high cheek bones
Bella Hadid Modeling High, defined cheek bones

These celebrities, among many others, showcase the beauty and versatility of high cheek bones. Their distinctive features have made them icons in their respective fields and continue to inspire beauty trends worldwide.

High Cheek Bones in Fashion and Beauty

High cheek bones have a significant impact on the fashion and beauty industries. Many designers and makeup artists emphasize high cheek bones in their creations, as they add a touch of elegance and sophistication to any look. Here are some ways high cheek bones influence fashion and beauty:

  • Makeup Trends: High cheek bones are often highlighted in makeup trends, with contouring and highlighting techniques designed to enhance their prominence. Many beauty tutorials focus on achieving a sculpted, defined look that emphasizes high cheek bones.
  • Fashion Designs: High cheek bones are a popular feature in fashion designs, with many runway looks featuring models with prominent cheek bones. Designers often create garments that complement and accentuate this feature, adding to the overall aesthetic appeal.
  • Photography: In photography, high cheek bones are often highlighted to create a dramatic and striking effect. Photographers use lighting and angles to emphasize the prominence of the cheek bones, resulting in captivating and memorable images.

High cheek bones continue to be a prominent feature in the fashion and beauty industries, inspiring trends and influencing the way we perceive beauty.

High Cheek Bones and Aging

As we age, our facial features can change, and high cheek bones may become less prominent. This is due to a loss of collagen and elastin in the skin, which can cause the skin to sag and lose its elasticity. However, there are ways to maintain the appearance of high cheek bones as you age:

  • Skincare: A consistent skincare routine can help maintain the health and appearance of your skin. Use products that contain antioxidants, retinol, and hyaluronic acid to promote skin elasticity and firmness.
  • Exercise: Facial exercises can help tone and tighten the muscles in the face, including the cheek area. Regular facial exercises can help maintain the prominence of your high cheek bones.
  • Non-Surgical Procedures: Non-surgical procedures, such as dermal fillers and thread lifts, can help restore volume and definition to the cheek area, creating the appearance of higher, more prominent cheek bones.

By taking care of your skin and considering non-surgical procedures, you can maintain the appearance of your high cheek bones as you age.

High cheek bones are a distinctive and admired facial feature that can add structure and definition to the face. Whether you're naturally blessed with high cheek bones or looking to enhance them, understanding their significance and how to highlight them can make a big difference in your overall appearance. From makeup techniques to skincare routines and non-surgical procedures, there are many ways to accentuate your high cheek bones and achieve a more sculpted, defined look.

In conclusion, high cheek bones are a versatile and beautiful feature that can enhance your facial aesthetics. By understanding their anatomy, cultural significance, and various enhancement techniques, you can make the most of your high cheek bones and embrace their natural beauty. Whether you choose to highlight them with makeup, maintain their prominence with a consistent skincare routine, or consider non-surgical procedures, high cheek bones can be a stunning addition to your overall appearance.

Related Terms:

  • high cheekbones men
  • defined cheekbones
  • low vs high cheekbones
  • flat cheekbones
  • low cheekbones men