Hill Sachs Lesion

Hill Sachs Lesion

Shoulder injuries are a common occurrence, especially among athletes and individuals who engage in repetitive overhead activities. One of the less frequently discussed but significant injuries is the Hill Sachs Lesion. This condition, often associated with shoulder dislocations, can have a profound impact on an individual's mobility and quality of life. Understanding the causes, symptoms, diagnosis, and treatment options for a Hill Sachs Lesion is crucial for effective management and recovery.

Understanding the Hill Sachs Lesion

A Hill Sachs Lesion is a specific type of injury that occurs in the shoulder joint. It is characterized by a compression fracture of the humeral head, which is the ball part of the shoulder joint. This injury typically results from a shoulder dislocation, where the humeral head is forced out of its socket, the glenoid. When the shoulder is reduced back into place, the humeral head can impact the rim of the glenoid, causing a compression fracture. This fracture is known as a Hill Sachs Lesion, named after the doctors who first described it, Dr. Harold Hill and Dr. Maurice Sachs.

Causes of a Hill Sachs Lesion

The primary cause of a Hill Sachs Lesion is a shoulder dislocation. This can occur due to various reasons, including:

  • Traumatic events, such as falls, sports injuries, or motor vehicle accidents.
  • Repetitive overhead activities, which can weaken the shoulder joint over time.
  • Pre-existing shoulder conditions, such as shoulder instability or rotator cuff tears, which can increase the risk of dislocation.

In some cases, a Hill Sachs Lesion may also occur due to degenerative changes in the shoulder joint, although this is less common.

Symptoms of a Hill Sachs Lesion

The symptoms of a Hill Sachs Lesion can vary depending on the severity of the injury. Common symptoms include:

  • Shoulder pain, which may be severe and persistent.
  • Swelling and bruising around the shoulder joint.
  • Limited range of motion, making it difficult to lift the arm or perform overhead activities.
  • A feeling of instability or weakness in the shoulder.
  • In some cases, a visible deformity or bump on the shoulder.

It is important to note that the symptoms of a Hill Sachs Lesion may not always be immediately apparent. In some cases, individuals may experience a delay in the onset of symptoms, making it difficult to diagnose the condition promptly.

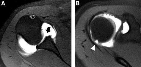
Diagnosing a Hill Sachs Lesion

Diagnosing a Hill Sachs Lesion typically involves a combination of physical examination and imaging studies. The diagnostic process may include:

  • Physical examination: A healthcare provider will assess the shoulder for signs of injury, such as swelling, bruising, and limited range of motion. They may also perform specific tests to evaluate shoulder stability and strength.
  • Imaging studies: X-rays, MRI, or CT scans may be used to visualize the shoulder joint and confirm the presence of a Hill Sachs Lesion. These imaging studies can also help determine the size and location of the lesion, which is important for treatment planning.

In some cases, additional tests, such as arthroscopy, may be necessary to fully evaluate the extent of the injury and plan appropriate treatment.

Treatment Options for a Hill Sachs Lesion

The treatment of a Hill Sachs Lesion depends on the severity of the injury and the individual’s overall health and activity level. Treatment options may include:

  • Non-surgical treatments: For mild to moderate Hill Sachs Lesions, non-surgical treatments may be sufficient. These may include rest, ice, compression, and elevation (RICE), pain medication, and physical therapy to strengthen the shoulder and improve range of motion.
  • Surgical treatments: For more severe Hill Sachs Lesions, surgery may be necessary. Surgical options may include arthroscopic repair, open reduction, and internal fixation (ORIF), or shoulder replacement. The choice of surgical procedure will depend on the size and location of the lesion, as well as the individual’s overall health and activity level.

In some cases, a combination of non-surgical and surgical treatments may be recommended to achieve the best possible outcome.

Recovery and Rehabilitation

Recovery from a Hill Sachs Lesion can be a lengthy process, depending on the severity of the injury and the chosen treatment method. Rehabilitation typically involves a combination of physical therapy, exercises, and lifestyle modifications to promote healing and restore shoulder function. Key aspects of rehabilitation include:

  • Pain management: Medications, ice, and other pain management techniques may be used to control pain and inflammation during the initial stages of recovery.
  • Range of motion exercises: Gentle exercises to improve shoulder mobility and flexibility are essential for restoring normal function.
  • Strengthening exercises: Progressive strengthening exercises help rebuild shoulder muscles and improve stability.
  • Functional training: Activities that simulate daily tasks and sports-specific movements help individuals return to their pre-injury level of activity.

It is important to follow the rehabilitation plan prescribed by the healthcare provider to ensure a successful recovery and minimize the risk of future injuries.

Preventing a Hill Sachs Lesion

While not all Hill Sachs Lesions can be prevented, there are steps individuals can take to reduce their risk of shoulder injuries. These include:

  • Warming up before physical activity: Proper warm-up exercises can help prepare the shoulder muscles and joints for activity, reducing the risk of injury.
  • Strengthening exercises: Regular strength training can improve shoulder stability and reduce the risk of dislocation.
  • Avoiding repetitive overhead activities: Limiting activities that place excessive stress on the shoulder can help prevent injuries.
  • Using proper technique: Whether in sports or daily activities, using correct technique can help prevent shoulder injuries.

For individuals with a history of shoulder dislocations or instability, wearing a shoulder brace or support during activities may also help prevent future injuries.

Complications and Long-Term Effects

A Hill Sachs Lesion can have long-term effects on shoulder function and quality of life. Potential complications include:

  • Recurrent dislocations: Individuals with a Hill Sachs Lesion are at increased risk of future shoulder dislocations, which can further damage the joint.
  • Arthritis: Chronic shoulder instability and repeated injuries can lead to the development of arthritis, causing pain and stiffness.
  • Reduced range of motion: Persistent shoulder pain and weakness can limit the range of motion, affecting daily activities and quality of life.
  • Muscle atrophy: Prolonged immobility or disuse can lead to muscle atrophy, further weakening the shoulder and increasing the risk of injury.

Early diagnosis and appropriate treatment can help minimize these complications and improve long-term outcomes.

When to Seek Medical Attention

It is important to seek medical attention if you experience any of the following symptoms after a shoulder injury:

  • Severe pain or swelling.
  • Visible deformity or bump on the shoulder.
  • Inability to move the shoulder or lift the arm.
  • A feeling of instability or weakness in the shoulder.
  • Persistent pain or discomfort that does not improve with rest and home remedies.

Prompt medical evaluation can help diagnose a Hill Sachs Lesion and other shoulder injuries, allowing for timely and appropriate treatment.

📝 Note: If you suspect you have a Hill Sachs Lesion or any other shoulder injury, it is important to consult a healthcare provider for a proper diagnosis and treatment plan. Early intervention can help prevent further damage and improve long-term outcomes.

Final Thoughts

Understanding the causes, symptoms, diagnosis, and treatment options for a Hill Sachs Lesion is essential for effective management and recovery. Whether through non-surgical or surgical interventions, timely and appropriate treatment can help restore shoulder function and improve quality of life. By taking preventive measures and seeking prompt medical attention, individuals can minimize the risk of complications and achieve successful long-term outcomes.

While a Hill Sachs Lesion can be a challenging injury to manage, with the right care and rehabilitation, individuals can regain shoulder function and return to their pre-injury activities. It is important to work closely with healthcare providers to develop a personalized treatment plan and follow the recommended rehabilitation program to ensure the best possible outcome.

In summary, a Hill Sachs Lesion is a significant shoulder injury that requires careful management and treatment. By understanding the condition and taking proactive steps, individuals can minimize the impact of the injury and achieve successful recovery. Whether through non-surgical or surgical interventions, timely and appropriate care can help restore shoulder function and improve overall quality of life.

Related Terms:

  • hill sachs lesion mri
  • hill sachs lesion orthobullets
  • hill sachs lesion ct
  • hill sachs lesion ultrasound
  • reverse hill sachs
  • hill sachs and bankart lesion