Joint Effusion Knee

Joint Effusion Knee

Joint effusion knee, also known as water on the knee, is a condition where excess fluid accumulates in or around the knee joint. This can cause pain, swelling, and stiffness, making it difficult to move the knee. Joint effusion knee can be caused by various factors, including injuries, infections, and underlying medical conditions. Understanding the causes, symptoms, and treatment options for joint effusion knee is crucial for effective management and recovery.

Causes of Joint Effusion Knee

Joint effusion knee can be triggered by several factors. Some of the most common causes include:

  • Injuries: Trauma to the knee, such as a sprain, strain, or fracture, can lead to joint effusion. This is often due to bleeding into the joint space or inflammation.
  • Arthritis: Conditions like osteoarthritis and rheumatoid arthritis can cause inflammation and fluid buildup in the knee joint.
  • Infections: Bacterial infections, such as septic arthritis, can cause joint effusion. This is a medical emergency and requires immediate treatment.
  • Overuse: Repetitive stress on the knee joint, often seen in athletes or individuals with physically demanding jobs, can lead to joint effusion.
  • Medical Conditions: Certain medical conditions, such as gout or pseudogout, can cause joint effusion knee.

Symptoms of Joint Effusion Knee

The symptoms of joint effusion knee can vary depending on the underlying cause. However, some common symptoms include:

  • Swelling: The knee may appear larger than normal due to the accumulation of fluid.
  • Pain: The knee may be painful, especially when moving or putting weight on it.
  • Stiffness: The knee may feel stiff, making it difficult to bend or straighten.
  • Redness and Warmth: The knee may appear red and feel warm to the touch, especially if the effusion is due to an infection or inflammation.
  • Limited Range of Motion: The knee may not move through its full range of motion due to pain and swelling.

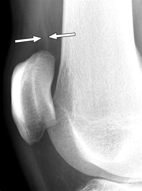
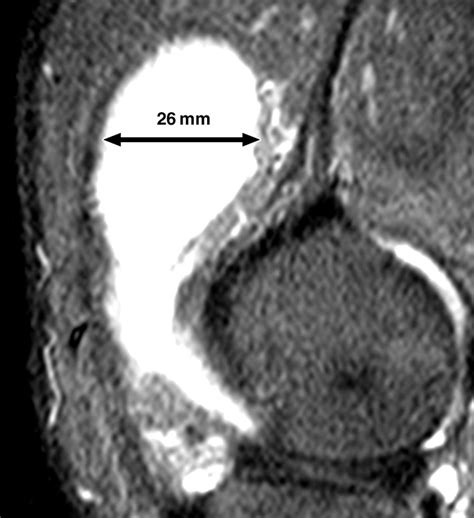
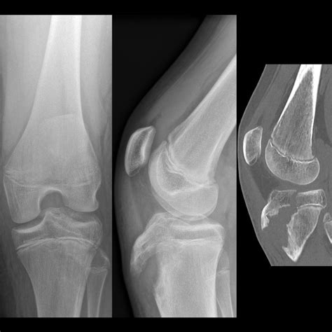
Diagnosing Joint Effusion Knee

Diagnosing joint effusion knee typically involves a combination of physical examination and diagnostic tests. The healthcare provider will:

  • Ask about the patient's medical history and symptoms.
  • Perform a physical examination of the knee, checking for swelling, tenderness, and range of motion.
  • Order diagnostic tests, such as X-rays, MRI, or ultrasound, to visualize the joint and surrounding structures.
  • Perform a joint aspiration, where a small amount of fluid is removed from the knee joint using a needle. This fluid can be analyzed to determine the cause of the effusion.

Treatment Options for Joint Effusion Knee

The treatment for joint effusion knee depends on the underlying cause. Some common treatment options include:

  • Rest, Ice, Compression, and Elevation (RICE): This is often the first line of treatment for joint effusion knee. Resting the knee, applying ice, using compression bandages, and elevating the knee can help reduce swelling and pain.
  • Medications: Over-the-counter pain relievers, such as ibuprofen or naproxen, can help reduce pain and inflammation. In some cases, prescription medications may be necessary.
  • Physical Therapy: Physical therapy can help improve range of motion, strength, and flexibility in the knee. A physical therapist can provide exercises and techniques to help manage joint effusion knee.
  • Joint Aspiration: If the effusion is causing significant discomfort or limiting mobility, a joint aspiration may be performed to remove excess fluid from the knee joint.
  • Injections: In some cases, corticosteroid injections may be used to reduce inflammation and pain in the knee joint.
  • Surgery: In severe cases, surgery may be necessary to repair damaged structures in the knee joint or to remove infected tissue.

📝 Note: It is important to consult with a healthcare provider to determine the best treatment plan for joint effusion knee. Treatment should be tailored to the individual's specific needs and the underlying cause of the effusion.

Preventing Joint Effusion Knee

While not all cases of joint effusion knee can be prevented, there are steps that can be taken to reduce the risk:

  • Warm Up and Cool Down: Before engaging in physical activity, it is important to warm up the muscles and joints. Cooling down after exercise can also help prevent injury.
  • Use Proper Technique: Using proper technique during physical activities can help prevent injuries that may lead to joint effusion knee.
  • Wear Appropriate Gear: Wearing protective gear, such as knee pads or braces, can help prevent injuries during high-impact activities.
  • Maintain a Healthy Weight: Excess weight can put additional stress on the knee joint, increasing the risk of joint effusion knee.
  • Strengthen Muscles: Strengthening the muscles around the knee joint can help provide support and stability, reducing the risk of injury.

When to Seek Medical Attention

It is important to seek medical attention if any of the following symptoms are present:

  • Severe pain or swelling in the knee.
  • Inability to bear weight on the knee.
  • Fever or chills, which may indicate an infection.
  • Redness or warmth in the knee, which may indicate inflammation or infection.
  • Joint effusion knee that does not improve with rest and home treatment.

Prompt medical attention can help prevent complications and ensure proper treatment.

Living with Joint Effusion Knee

Living with joint effusion knee can be challenging, but there are strategies that can help manage symptoms and improve quality of life:

  • Follow the Treatment Plan: It is important to follow the treatment plan prescribed by the healthcare provider. This may include medications, physical therapy, and lifestyle modifications.
  • Stay Active: Regular physical activity can help improve range of motion, strength, and flexibility in the knee. Low-impact activities, such as swimming or cycling, may be beneficial.
  • Maintain a Healthy Weight: Maintaining a healthy weight can help reduce stress on the knee joint and improve overall health.
  • Use Assistive Devices: Assistive devices, such as a cane or knee brace, can help provide support and stability during activities.
  • Manage Pain: Over-the-counter pain relievers or prescription medications can help manage pain associated with joint effusion knee.

By following these strategies, individuals with joint effusion knee can improve their symptoms and maintain an active lifestyle.

Joint effusion knee is a common condition that can cause significant discomfort and limit mobility. Understanding the causes, symptoms, and treatment options for joint effusion knee is essential for effective management and recovery. By following a comprehensive treatment plan and taking steps to prevent future episodes, individuals can improve their symptoms and maintain an active lifestyle.

Related Terms:

  • what is a knee effusion
  • knee joint effusion meaning
  • knee effusion causes
  • suprapatellar joint effusion
  • knee joint effusion synovitis
  • joint effusion meaning