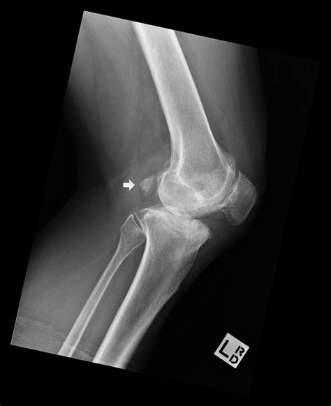
Lateral Knee Xray

Lateral Knee Xray

Understanding the importance of a Lateral Knee Xray is crucial for anyone dealing with knee injuries or conditions. This diagnostic tool provides valuable insights into the structure and health of the knee joint, helping healthcare professionals make informed decisions about treatment and management. In this post, we will delve into the details of a Lateral Knee Xray, its significance, the procedure involved, and how to interpret the results.

What is a Lateral Knee Xray?

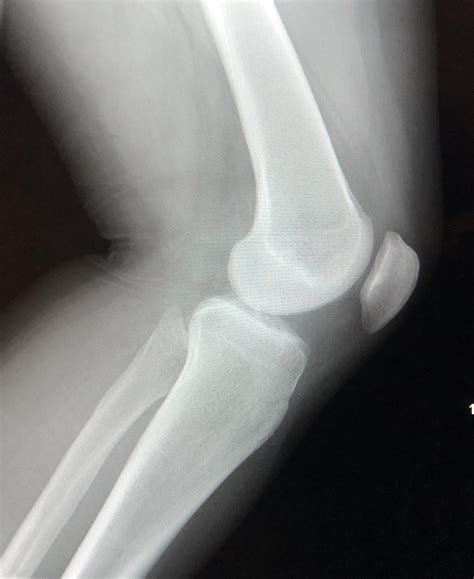
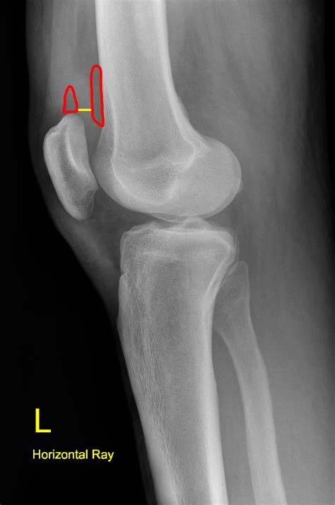
A Lateral Knee Xray is a type of radiographic imaging that captures a side view of the knee joint. This view is essential for evaluating the alignment of the bones, the condition of the joint spaces, and the presence of any abnormalities such as fractures, dislocations, or arthritis. The lateral view complements other views, such as the anteroposterior (AP) and oblique views, to provide a comprehensive assessment of the knee.

Why is a Lateral Knee Xray Important?

The Lateral Knee Xray plays a pivotal role in diagnosing various knee conditions. Here are some key reasons why it is important:

  • Diagnosing Fractures: A lateral view can help identify fractures in the patella (kneecap), femur (thighbone), or tibia (shinbone).
  • Evaluating Joint Spaces: It provides a clear view of the joint spaces, which can indicate the presence of arthritis or other degenerative conditions.
  • Assessing Alignment: The lateral view helps assess the alignment of the knee joint, which is crucial for diagnosing conditions like patellar dislocation or tibial plateau fractures.
  • Detecting Soft Tissue Injuries: While X-rays primarily show bone structures, a lateral view can sometimes reveal soft tissue injuries, such as ligament tears or meniscal damage, by showing indirect signs like joint effusion (swelling).

The Procedure for a Lateral Knee Xray

Getting a Lateral Knee Xray is a straightforward process. Here are the steps involved:

  • Preparation: The patient is usually asked to remove any jewelry or metal objects from the area to be imaged. Clothing may need to be adjusted to ensure the knee is fully exposed.
  • Positioning: The patient stands or sits with the knee slightly bent. The X-ray machine is positioned to capture a side view of the knee.
  • Imaging: The technician takes the X-ray, which typically involves a brief exposure to radiation. The patient may be asked to hold still for a few seconds.
  • Review: The images are reviewed by a radiologist, who provides a report to the referring physician.

📝 Note: The entire process usually takes less than 15 minutes. It is painless and involves minimal discomfort.

Interpreting a Lateral Knee Xray

Interpreting a Lateral Knee Xray requires a trained eye and knowledge of knee anatomy. Here are some key points to look for:

  • Bone Alignment: Ensure that the bones are properly aligned. Any deviation can indicate a fracture or dislocation.
  • Joint Spaces: Check the joint spaces for any narrowing, which can suggest arthritis or other degenerative conditions.
  • Fractures: Look for any breaks or cracks in the bones, which can indicate a fracture.
  • Soft Tissue Signs: While not always visible, soft tissue injuries can sometimes be inferred from the presence of joint effusion or other indirect signs.

Here is a simple table to help understand the common findings in a Lateral Knee Xray:

Finding Possible Diagnosis
Bone Fracture Fracture of the patella, femur, or tibia
Joint Space Narrowing Arthritis or degenerative joint disease
Misalignment Patellar dislocation or tibial plateau fracture
Joint Effusion Soft tissue injury, such as ligament tear or meniscal damage

Common Conditions Diagnosed with a Lateral Knee Xray

A Lateral Knee Xray can help diagnose a variety of knee conditions. Some of the most common include:

  • Fractures: Fractures of the patella, femur, or tibia can be clearly seen in a lateral view.
  • Arthritis: Joint space narrowing and bone spurs can indicate osteoarthritis or other forms of arthritis.
  • Patellar Dislocation: Misalignment of the patella can be diagnosed with a lateral view.
  • Tibial Plateau Fracture: This type of fracture, which involves the upper part of the tibia, can be clearly seen in a lateral view.
  • Soft Tissue Injuries: While not always visible, soft tissue injuries can sometimes be inferred from the presence of joint effusion or other indirect signs.

When to Consider a Lateral Knee Xray

A Lateral Knee Xray is typically recommended in the following situations:

  • Trauma: After a knee injury, such as a fall or a sports-related accident, to check for fractures or dislocations.
  • Chronic Pain: For patients experiencing chronic knee pain, to evaluate the condition of the joint and rule out degenerative conditions.
  • Pre-Surgical Planning: Before knee surgery, to assess the alignment and condition of the joint.
  • Follow-Up Care: To monitor the progress of treatment or recovery from a previous injury or surgery.

📝 Note: Always consult with a healthcare professional to determine if a Lateral Knee Xray is appropriate for your specific situation.

Limitations of a Lateral Knee Xray

While a Lateral Knee Xray is a valuable diagnostic tool, it does have some limitations:

  • Soft Tissue Visibility: X-rays primarily show bone structures, so soft tissue injuries may not be visible.
  • Radiation Exposure: Although the amount of radiation is minimal, repeated X-rays can increase the risk of radiation exposure.
  • Limited Detail: For more detailed views of the knee joint, other imaging techniques such as MRI or CT scans may be required.

In some cases, additional imaging studies may be necessary to provide a more comprehensive assessment of the knee joint. These can include:

  • MRI (Magnetic Resonance Imaging): Provides detailed images of soft tissues, including ligaments, tendons, and cartilage.
  • CT (Computed Tomography) Scan: Offers detailed images of bone structures and can be useful for complex fractures or pre-surgical planning.
  • Ultrasound: Can be used to evaluate soft tissue structures and joint effusion.

In conclusion, a Lateral Knee Xray is an essential diagnostic tool for evaluating the knee joint. It provides valuable insights into bone alignment, joint spaces, and the presence of fractures or other abnormalities. While it has some limitations, it is a crucial part of the diagnostic process for many knee conditions. Understanding the importance of a Lateral Knee Xray and how to interpret the results can help patients and healthcare professionals make informed decisions about treatment and management.

Related Terms:

  • lateral knee xray pediatric
  • over rotated lateral knee xray
  • lateral knee xray rotation
  • lateral knee xray images
  • lateral knee xray labeled
  • lateral knee xray correction