Leucemia Mieloide Aguda

Leucemia Mieloide Aguda

Leucemia Mieloide Aguda (LMA) is a type of cancer that affects the blood and bone marrow. It is characterized by the rapid growth of abnormal white blood cells, which crowd out healthy cells and impair the body's ability to fight infections. Understanding LMA, its symptoms, diagnosis, treatment options, and prognosis is crucial for patients and their families. This post aims to provide a comprehensive overview of LMA, helping readers navigate through this complex disease.

What is Leucemia Mieloide Aguda?

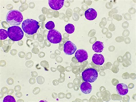
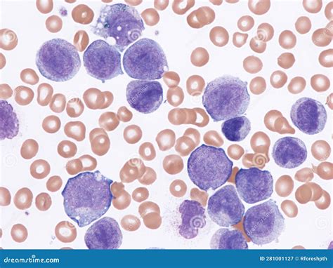
Leucemia Mieloide Aguda, also known as Acute Myeloid Leukemia (AML), is a cancer of the myeloid line of blood cells, characterized by the rapid growth of abnormal white blood cells that accumulate in the bone marrow and interfere with the production of normal blood cells. This type of leukemia can affect people of all ages but is more common in adults, particularly those over 65.

Symptoms of Leucemia Mieloide Aguda

The symptoms of LMA can vary widely and may include:

  • Fatigue and weakness
  • Frequent infections
  • Fever
  • Easy bruising or bleeding
  • Bone pain or tenderness
  • Shortness of breath
  • Weight loss
  • Swollen lymph nodes
  • Night sweats

These symptoms can be similar to those of other conditions, so it is important to consult a healthcare provider for an accurate diagnosis.

Diagnosis of Leucemia Mieloide Aguda

Diagnosing LMA involves several steps, including a physical examination, medical history, and various tests. The diagnostic process typically includes:

  • Complete Blood Count (CBC): This test measures the number of red blood cells, white blood cells, and platelets in the blood.
  • Bone Marrow Biopsy: A sample of bone marrow is taken to examine the cells under a microscope.
  • Cytogenetic Testing: This test analyzes the chromosomes in the leukemia cells to identify specific genetic abnormalities.
  • Molecular Testing: This test looks for specific gene mutations that may be present in the leukemia cells.
  • Immunophenotyping: This test uses antibodies to identify the type of cells present in the bone marrow.

These tests help determine the subtype of LMA and guide the treatment plan.

Treatment Options for Leucemia Mieloide Aguda

The treatment of LMA depends on several factors, including the patient’s age, overall health, and the specific subtype of the disease. Common treatment options include:

  • Chemotherapy: This is the primary treatment for LMA and involves the use of drugs to kill cancer cells. Common chemotherapy drugs for LMA include cytarabine and anthracyclines.
  • Targeted Therapy: This type of treatment uses drugs that target specific molecules involved in the growth and survival of leukemia cells. Examples include FLT3 inhibitors and IDH inhibitors.
  • Immunotherapy: This treatment uses the body’s immune system to fight cancer. Examples include monoclonal antibodies and chimeric antigen receptor (CAR) T-cell therapy.
  • Stem Cell Transplant: This procedure involves replacing the patient’s diseased bone marrow with healthy stem cells from a donor. It is often used for patients who are at high risk of relapse.
  • Radiation Therapy: This treatment uses high-energy radiation to kill cancer cells. It is less commonly used for LMA but may be part of the treatment plan in some cases.

Treatment plans are often individualized and may involve a combination of these therapies.

Prognosis and Survival Rates

The prognosis for patients with LMA varies widely and depends on several factors, including the patient’s age, overall health, and the specific subtype of the disease. The five-year survival rate for LMA is approximately 27%, but this can vary significantly based on individual circumstances.

Factors that can influence prognosis include:

  • Age: Younger patients generally have a better prognosis.
  • Overall Health: Patients in good health tend to have better outcomes.
  • Cytogenetic and Molecular Abnormalities: Certain genetic abnormalities are associated with a better or worse prognosis.
  • Response to Initial Treatment: Patients who achieve remission after initial treatment have a better prognosis.

Regular follow-up and monitoring are essential for managing LMA and improving long-term outcomes.

Living with Leucemia Mieloide Aguda

Living with LMA can be challenging, both physically and emotionally. Patients and their families may face a range of issues, including:

  • Managing side effects of treatment
  • Dealing with emotional stress and anxiety
  • Maintaining a healthy lifestyle
  • Navigating the healthcare system

Support from healthcare providers, family, and friends can make a significant difference in coping with LMA. Patients are encouraged to seek support groups, counseling, and other resources to help them manage the challenges of living with this disease.

Research and Clinical Trials

Research into LMA is ongoing, with scientists and clinicians working to develop new treatments and improve outcomes for patients. Clinical trials are an essential part of this research, offering patients access to cutting-edge therapies that may not be widely available.

Participating in a clinical trial can provide patients with:

  • Access to new and innovative treatments
  • Close monitoring and care from a team of specialists
  • The opportunity to contribute to medical research

Patients interested in clinical trials should discuss the options with their healthcare provider.

Prevention and Risk Factors

While the exact causes of LMA are not fully understood, several risk factors have been identified. These include:

  • Age: The risk of LMA increases with age.
  • Previous Chemotherapy or Radiation Therapy: People who have undergone chemotherapy or radiation therapy for other cancers are at higher risk.
  • Genetic Disorders: Certain genetic disorders, such as Down syndrome, increase the risk of LMA.
  • Exposure to Certain Chemicals: Exposure to benzene and other chemicals can increase the risk of LMA.
  • Smoking: Smoking is associated with an increased risk of LMA.
  • Family History: A family history of LMA or other blood disorders can increase the risk.

While some risk factors cannot be changed, maintaining a healthy lifestyle and avoiding known carcinogens can help reduce the risk of developing LMA.

Support and Resources

Living with LMA can be overwhelming, but there are many resources available to support patients and their families. These include:

  • Support Groups: Joining a support group can provide emotional support and practical advice from others who are going through similar experiences.
  • Counseling Services: Professional counseling can help patients and their families cope with the emotional challenges of living with LMA.
  • Educational Resources: Books, websites, and other educational materials can provide valuable information about LMA and its treatment.
  • Financial Assistance: Some organizations offer financial assistance to help cover the costs of treatment and related expenses.

Patients and their families are encouraged to explore these resources to find the support they need.

📝 Note: The information provided in this post is for educational purposes only and should not be used as a substitute for professional medical advice. Always consult a healthcare provider for personalized medical advice.

Leucemia Mieloide Aguda is a complex and challenging disease, but with advances in treatment and a strong support system, patients can navigate this journey with hope and resilience. Understanding the disease, its symptoms, diagnosis, treatment options, and prognosis is the first step in managing LMA effectively. By staying informed and seeking support, patients and their families can face this challenge with confidence and determination.

Related Terms:

  • leucemia mieloide aguda pdf
  • leucemia mieloide aguda síntomas y
  • leucemia mieloide aguda prognosis
  • tratamiento de leucemia mieloide aguda
  • leucemia mielomonocitica aguda
  • leucemia mieloide aguda tratamiento