Lumbosacral Transitional Vertebrae

Lumbosacral Transitional Vertebrae

Understanding the complexities of the human spine is crucial for diagnosing and treating various spinal conditions. One of the lesser-known but significant aspects of spinal anatomy is the presence of Lumbosacral Transitional Vertebrae (LSTV). These vertebrae can have a profound impact on spinal health and mobility, making it essential for healthcare professionals and patients alike to be aware of their implications.

What are Lumbosacral Transitional Vertebrae?

Lumbosacral Transitional Vertebrae refer to anatomical variations in the lower spine where the lumbar vertebrae (L5) and the sacrum (S1) exhibit transitional features. These features can include:

  • Elongated transverse processes
  • Fusion of the L5 vertebra to the sacrum
  • Additional articulations between the L5 and S1 vertebrae

These variations can lead to altered biomechanics and increased stress on the surrounding structures, potentially causing pain and other symptoms.

Types of Lumbosacral Transitional Vertebrae

LSTV can be classified into several types based on their specific characteristics. The most common classification system is the Castellvi classification, which includes:

Type Description
Type I Dysplastic transverse process of L5
Type II Transitional vertebra with a pseudoarticulation between L5 and the sacrum
Type III Complete lumbarization of S1
Type IV Complete sacralization of L5

Each type has its own set of implications for spinal health and treatment options.

Diagnosing Lumbosacral Transitional Vertebrae

Diagnosing LSTV typically involves a combination of imaging techniques and clinical evaluation. The most common methods include:

  • X-rays: Provide a basic overview of the spine and can reveal the presence of transitional vertebrae.
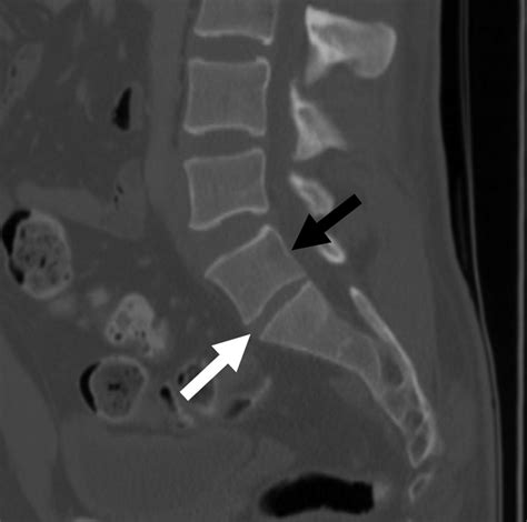
  • CT Scans: Offer detailed images of the bone structure, helping to identify specific features of LSTV.
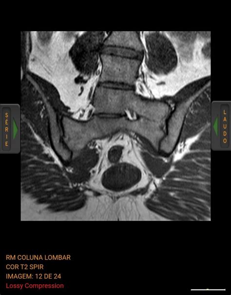
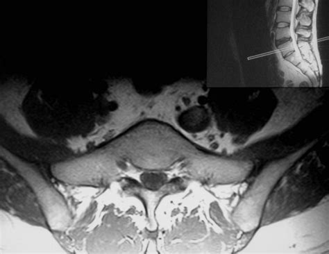
  • MRI Scans: Provide information about the soft tissues and can help assess the impact of LSTV on the spinal cord and nerves.

Clinical evaluation, including a thorough medical history and physical examination, is also crucial for diagnosing LSTV and understanding its impact on the patient's symptoms.

๐Ÿ“Œ Note: Early and accurate diagnosis of LSTV is essential for developing an effective treatment plan and preventing further complications.

Symptoms Associated with Lumbosacral Transitional Vertebrae

LSTV can cause a range of symptoms, although some individuals may be asymptomatic. Common symptoms include:

  • Lower back pain
  • Radiating pain down the legs
  • Numbness or tingling in the legs or feet
  • Weakness in the lower extremities
  • Stiffness and reduced mobility in the lower back

These symptoms can vary in severity and may be exacerbated by certain activities or postures.

Treatment Options for Lumbosacral Transitional Vertebrae

Treatment for LSTV depends on the severity of symptoms and the specific type of transitional vertebra. Options include:

  • Conservative Management: Includes physical therapy, pain management, and lifestyle modifications. Physical therapy can help improve strength and flexibility, while pain management techniques can alleviate discomfort.
  • Medications: Over-the-counter pain relievers, muscle relaxants, and anti-inflammatory drugs can help manage symptoms.
  • Injections: Epidural steroid injections or nerve blocks can provide temporary relief from pain and inflammation.
  • Surgery: In severe cases, surgical intervention may be necessary. Procedures can include decompression surgery to relieve pressure on nerves or fusion surgery to stabilize the spine.

It is important to consult with a healthcare professional to determine the most appropriate treatment plan based on individual needs and symptoms.

๐Ÿ“Œ Note: Early intervention and a multidisciplinary approach can significantly improve outcomes for patients with LSTV.

Impact on Spinal Health and Mobility

LSTV can have a significant impact on spinal health and mobility. The altered biomechanics can lead to increased stress on the surrounding structures, including the discs, ligaments, and muscles. This can result in:

  • Accelerated disc degeneration
  • Increased risk of herniated discs
  • Chronic lower back pain
  • Reduced range of motion
  • Increased risk of spinal fractures

Understanding these potential impacts is crucial for developing effective prevention and treatment strategies.

Prevention and Management Strategies

While LSTV is a congenital condition and cannot be prevented, there are strategies to manage and mitigate its effects. These include:

  • Maintaining a Healthy Weight: Excess weight can put additional stress on the spine, exacerbating symptoms.
  • Regular Exercise: Strengthening the core and back muscles can improve spinal stability and reduce the risk of injury.
  • Proper Posture: Maintaining good posture can help distribute weight evenly across the spine and reduce stress on the transitional vertebrae.
  • Ergonomic Workstations: Ensuring that workstations are ergonomically designed can help prevent strain and injury.
  • Regular Check-ups: Regular medical check-ups can help monitor spinal health and detect any issues early.

Incorporating these strategies into daily life can help manage the symptoms of LSTV and improve overall spinal health.

๐Ÿ“Œ Note: A proactive approach to spinal health can significantly improve the quality of life for individuals with LSTV.

Lumbosacral Transitional Vertebrae are a complex and often misunderstood aspect of spinal anatomy. Understanding their implications, diagnosing them accurately, and developing effective treatment plans are crucial for managing this condition. By staying informed and proactive, individuals with LSTV can improve their spinal health and overall well-being.

Related Terms:

  • lumbosacral transitional vertebrae dog
  • lumbosacral transitional vertebrae radiology
  • lumbosacral transitional vertebrae symptoms
  • lumbosacral transitional vertebrae exercises
  • lumbosacral transitional vertebrae mri
  • lumbosacral transitional vertebrae icd 10