Milk Rot Teeth

Milk Rot Teeth

Dental health is a critical aspect of overall well-being, and one of the most common issues that can arise is tooth decay. Often referred to as "Milk Rot Teeth," this condition primarily affects children and can have long-lasting effects if not addressed promptly. Understanding the causes, symptoms, and prevention strategies for Milk Rot Teeth is essential for maintaining good oral health.

Understanding Milk Rot Teeth

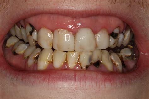
Milk Rot Teeth, also known as early childhood caries, is a form of tooth decay that affects the primary teeth of young children. This condition is particularly concerning because it can lead to pain, infection, and even the loss of primary teeth, which are crucial for proper speech development and chewing. The primary cause of Milk Rot Teeth is the frequent exposure of a child's teeth to sugary liquids, such as juice, soda, or milk, especially at night.

Causes of Milk Rot Teeth

The primary cause of Milk Rot Teeth is the prolonged exposure of teeth to sugars. When a child's teeth are frequently bathed in sugary liquids, the bacteria in the mouth feed on these sugars and produce acids. These acids then attack the tooth enamel, leading to decay. Several factors contribute to the development of Milk Rot Teeth:

  • Frequent Bottle Feeding: Giving a child a bottle filled with sugary liquids at bedtime can lead to prolonged exposure of the teeth to sugars.
  • Poor Oral Hygiene: Inadequate brushing and flossing can allow bacteria to thrive and produce acids that damage the teeth.
  • Dietary Habits: A diet high in sugary foods and drinks can increase the risk of tooth decay.
  • Genetic Factors: Some children may be more susceptible to tooth decay due to genetic predispositions.

Symptoms of Milk Rot Teeth

Recognizing the symptoms of Milk Rot Teeth is crucial for early intervention. Some common signs include:

  • White Spots: Early stages of tooth decay may appear as white spots on the teeth.
  • Brown or Black Spots: As the decay progresses, these spots may turn brown or black.
  • Pain and Sensitivity: Children may experience pain or sensitivity, especially when eating or drinking hot or cold foods.
  • Bad Breath: Persistent bad breath can be a sign of tooth decay.
  • Swollen Gums: Inflammation and swelling of the gums may also occur.

Prevention Strategies for Milk Rot Teeth

Preventing Milk Rot Teeth involves a combination of good oral hygiene practices and dietary changes. Here are some effective strategies:

  • Limit Sugary Drinks: Avoid giving children sugary drinks, especially at bedtime. Opt for water instead.
  • Regular Dental Check-ups: Schedule regular dental check-ups to monitor your child's oral health and detect any issues early.
  • Proper Brushing Technique: Teach your child to brush their teeth at least twice a day using a fluoride toothpaste. Ensure they brush for at least two minutes each time.
  • Flossing: Introduce flossing as soon as your child's teeth start to touch. This helps remove plaque and food particles from between the teeth.
  • Dietary Changes: Encourage a balanced diet rich in fruits, vegetables, and whole grains. Limit sugary snacks and treats.
  • Use of Fluoride: Fluoride treatments and fluoride toothpaste can help strengthen tooth enamel and prevent decay.

Treatment Options for Milk Rot Teeth

If your child is diagnosed with Milk Rot Teeth, prompt treatment is essential to prevent further damage. Treatment options may include:

  • Fluoride Treatments: Professional fluoride treatments can help remineralize the teeth and prevent further decay.
  • Dental Fillings: Small cavities can be filled with composite resin or other materials to restore the tooth's structure.
  • Crowns: In cases of severe decay, a crown may be placed over the affected tooth to protect it and restore its function.
  • Root Canal Treatment: If the decay has reached the pulp of the tooth, a root canal may be necessary to remove the infected tissue and save the tooth.
  • Extraction: In severe cases where the tooth cannot be saved, extraction may be necessary. However, this is typically a last resort.

The Role of Parents in Preventing Milk Rot Teeth

Parents play a crucial role in preventing Milk Rot Teeth. By establishing good oral hygiene habits early on, parents can help their children maintain healthy teeth and gums. Here are some tips for parents:

  • Lead by Example: Children often mimic their parents' behavior. Make sure to brush and floss your teeth regularly and encourage your child to do the same.
  • Educate Your Child: Teach your child about the importance of oral hygiene and the consequences of poor dental care.
  • Monitor Diet: Keep an eye on your child's diet and limit their intake of sugary foods and drinks.
  • Regular Dental Visits: Schedule regular dental check-ups for your child and ensure they attend all appointments.

📝 Note: Regular dental check-ups are crucial for early detection and treatment of Milk Rot Teeth. Make sure to schedule appointments every six months.

Common Myths About Milk Rot Teeth

There are several myths surrounding Milk Rot Teeth that can lead to misconceptions and improper care. Here are some common myths debunked:

  • Myth: Baby Teeth Don't Matter: Some people believe that baby teeth are not important because they will eventually fall out. However, primary teeth play a crucial role in speech development, chewing, and maintaining space for permanent teeth.
  • Myth: Milk Rot Teeth Are Inevitable: While Milk Rot Teeth are common, they are not inevitable. Proper oral hygiene and dietary habits can significantly reduce the risk.
  • Myth: Fluoride Is Harmful: Fluoride is a safe and effective way to prevent tooth decay. It strengthens tooth enamel and helps protect against acids produced by bacteria.

Long-Term Effects of Milk Rot Teeth

If left untreated, Milk Rot Teeth can have long-term effects on a child's oral health and overall well-being. Some potential long-term effects include:

  • Permanent Tooth Damage: Severe decay in primary teeth can affect the development of permanent teeth.
  • Speech and Chewing Issues: Missing or damaged primary teeth can impact a child's ability to speak clearly and chew food properly.
  • Increased Risk of Decay in Permanent Teeth: Children with a history of Milk Rot Teeth are more likely to develop decay in their permanent teeth.
  • Emotional and Social Impact: Poor oral health can affect a child's self-esteem and social interactions.

Milk Rot Teeth can be a serious issue, but with proper prevention and treatment, it can be managed effectively. By understanding the causes, symptoms, and prevention strategies, parents can help their children maintain good oral health and avoid the long-term effects of tooth decay.

In summary, Milk Rot Teeth is a preventable condition that requires vigilance and proper oral hygiene practices. By limiting sugary drinks, maintaining good oral hygiene, and scheduling regular dental check-ups, parents can help their children avoid the pain and discomfort associated with tooth decay. Early intervention and treatment are key to preventing long-term effects and ensuring a healthy smile for years to come.

Related Terms:

  • is milk bad for teeth
  • does milk damage teeth
  • effects of milk on teeth
  • does milk cause tooth decay
  • does milk prevent cavities
  • does milk rot teeth