Neck Of Femur

Neck Of Femur

Understanding the anatomy and function of the neck of femur is crucial for anyone interested in orthopedics, sports medicine, or physical therapy. The femur, or thighbone, is the longest and strongest bone in the human body, and its neck plays a pivotal role in the mechanics of the hip joint. This blog post delves into the structure, function, common injuries, and treatment options related to the neck of femur.

Anatomy of the Neck of Femur

The femur is composed of several distinct parts, including the head, neck, and shaft. The neck of femur is the constricted region that connects the femoral head to the shaft. It is angled medially and anteriorly, forming an essential part of the hip joint. The neck of femur is crucial for the stability and mobility of the hip, allowing for a wide range of movements such as walking, running, and jumping.

The neck of femur is surrounded by a rich network of blood vessels, which supply the femoral head with essential nutrients. The primary blood supply comes from the medial and lateral circumflex femoral arteries, which form an anastomotic ring around the femoral neck. This vascular network is vital for the health and integrity of the femoral head.

Function of the Neck of Femur

The neck of femur serves several critical functions:

  • Weight Bearing: The femoral neck supports the weight of the body and transmits it to the femoral shaft and the acetabulum (the socket of the hip joint).
  • Mobility: It allows for a wide range of movements, including flexion, extension, abduction, adduction, and rotation.
  • Stability: The femoral neck contributes to the stability of the hip joint by providing a secure attachment for the ligaments and muscles that surround the joint.

These functions make the neck of femur a crucial component of the hip joint, and any injury or condition affecting this region can significantly impact mobility and quality of life.

Common Injuries and Conditions

Several injuries and conditions can affect the neck of femur, ranging from fractures to degenerative diseases. Understanding these conditions is essential for effective diagnosis and treatment.

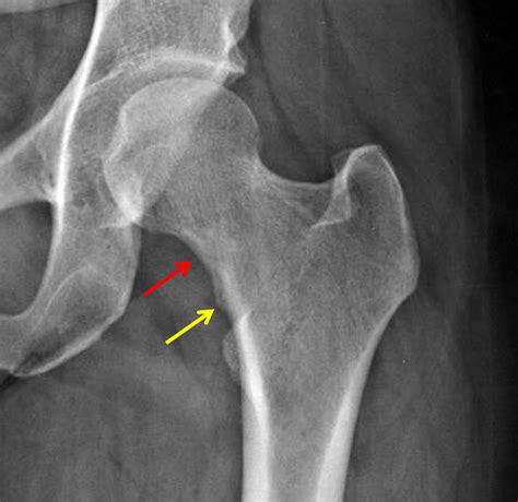
Fractures of the Neck of Femur

Fractures of the neck of femur are common, particularly in older adults and individuals with osteoporosis. These fractures can be classified into several types based on their location and pattern:

  • Subcapital Fractures: Occur just below the femoral head.
  • Transcervical Fractures: Occur in the middle of the femoral neck.
  • Basicervical Fractures: Occur at the base of the femoral neck, near the junction with the femoral shaft.

Fractures of the neck of femur often result from falls or high-impact trauma. They can be particularly challenging to treat due to the limited blood supply to the femoral head, which can lead to complications such as avascular necrosis.

Osteoarthritis of the Hip

Osteoarthritis is a degenerative joint disease that can affect the hip joint, including the neck of femur. This condition is characterized by the breakdown of cartilage, leading to pain, stiffness, and reduced mobility. Osteoarthritis of the hip can be caused by various factors, including age, obesity, and previous injuries.

Treatment options for osteoarthritis of the hip include:

  • Medications: Pain relievers and anti-inflammatory drugs.
  • Physical Therapy: Exercises to improve strength and flexibility.
  • Weight Management: Maintaining a healthy weight to reduce stress on the joint.
  • Surgical Interventions: In severe cases, hip replacement surgery may be necessary.

Avascular Necrosis

Avascular necrosis, also known as osteonecrosis, occurs when the blood supply to the femoral head is disrupted, leading to the death of bone tissue. This condition can be caused by various factors, including trauma, alcoholism, and certain medications. Avascular necrosis can result in severe pain and disability, and it often requires surgical intervention.

Treatment options for avascular necrosis include:

  • Core Decompression: A surgical procedure to relieve pressure within the bone.
  • Bone Grafting: Transplanting healthy bone tissue to replace the necrotic tissue.
  • Hip Replacement: In severe cases, a total hip replacement may be necessary.

Diagnosis and Treatment

Diagnosing conditions affecting the neck of femur typically involves a combination of clinical examination, imaging studies, and laboratory tests. Common diagnostic tools include:

  • X-rays: To visualize the bone structure and identify fractures or degenerative changes.
  • MRI: To assess soft tissue damage and evaluate the blood supply to the femoral head.
  • CT Scans: To provide detailed images of the bone structure and identify complex fractures.
  • Bone Scans: To detect areas of increased bone activity, which may indicate fractures or other conditions.

Treatment options for conditions affecting the neck of femur depend on the specific diagnosis and severity of the condition. Conservative treatments may include:

  • Rest and Immobilization: To allow the bone to heal.
  • Pain Management: Medications to relieve pain and inflammation.
  • Physical Therapy: Exercises to improve strength and mobility.

Surgical interventions may be necessary in more severe cases, such as:

  • Open Reduction and Internal Fixation (ORIF): To realign and stabilize the bone using plates, screws, or rods.
  • Hip Arthroplasty: To replace the damaged joint with an artificial implant.
  • Hemiarthroplasty: To replace only the femoral head and neck with an artificial implant.

📝 Note: The choice of treatment depends on various factors, including the patient's age, overall health, and the severity of the condition. It is essential to consult with a healthcare professional to determine the most appropriate treatment plan.

Prevention and Management

Preventing injuries and conditions affecting the neck of femur involves a combination of lifestyle modifications and proactive measures. Some key strategies include:

  • Maintaining a Healthy Weight: Excess weight can put additional stress on the hip joint, increasing the risk of injury and degenerative conditions.
  • Regular Exercise: Strengthening the muscles around the hip joint can improve stability and reduce the risk of falls and injuries.
  • Fall Prevention: Implementing measures to prevent falls, such as removing tripping hazards and installing grab bars in the bathroom.
  • Nutrition: Consuming a balanced diet rich in calcium and vitamin D to support bone health.
  • Avoiding High-Impact Activities: Engaging in low-impact exercises like swimming or cycling to minimize the risk of injury.

For individuals with existing conditions affecting the neck of femur, effective management strategies include:

  • Pain Management: Using medications and other therapies to control pain and inflammation.
  • Physical Therapy: Engaging in exercises to improve strength, flexibility, and mobility.
  • Assistive Devices: Using walking aids or other devices to support mobility and reduce stress on the hip joint.
  • Regular Check-ups: Monitoring the condition with regular medical check-ups and imaging studies.

Effective prevention and management strategies can significantly improve the quality of life for individuals with conditions affecting the neck of femur.

Rehabilitation and Recovery

Rehabilitation and recovery after an injury or surgery involving the neck of femur are crucial for regaining mobility and function. A comprehensive rehabilitation program typically includes:

  • Pain Management: Using medications and other therapies to control pain and inflammation.
  • Range of Motion Exercises: Gentle exercises to improve flexibility and mobility.
  • Strengthening Exercises: Targeted exercises to strengthen the muscles around the hip joint.
  • Balance and Coordination Training: Exercises to improve balance and coordination, reducing the risk of falls.
  • Gait Training: Practicing walking and other movements to regain normal gait patterns.

Rehabilitation programs are often tailored to the individual's needs and progress, with the goal of achieving the best possible outcome. Working closely with a physical therapist can help ensure a successful recovery.

📝 Note: The duration and intensity of rehabilitation will vary depending on the severity of the injury or condition and the individual's overall health. It is essential to follow the recommendations of healthcare professionals for the best results.

Future Directions in Research and Treatment

Research in the field of orthopedics continues to advance, offering new insights and treatment options for conditions affecting the neck of femur. Some areas of ongoing research include:

  • Biological Therapies: Exploring the use of stem cells and growth factors to promote bone healing and regeneration.
  • Advanced Imaging Techniques: Developing new imaging technologies to improve the diagnosis and monitoring of conditions affecting the hip joint.
  • Minimally Invasive Surgeries: Innovating surgical techniques to reduce recovery time and improve outcomes.
  • Personalized Medicine: Tailoring treatment plans to the individual's genetic and biological characteristics for more effective outcomes.

These advancements hold promise for improving the diagnosis, treatment, and management of conditions affecting the neck of femur, ultimately enhancing the quality of life for patients.

In conclusion, the neck of femur plays a critical role in the structure and function of the hip joint. Understanding its anatomy, function, and common injuries is essential for effective diagnosis and treatment. By implementing preventive measures, seeking timely medical intervention, and following a comprehensive rehabilitation program, individuals can manage conditions affecting the neck of femur and improve their overall quality of life. Ongoing research and advancements in treatment options offer hope for even better outcomes in the future.

Related Terms:

  • neck of femur meaning
  • shaft of femur
  • neck of femur location
  • neck of femur fracture treatment
  • neck of femur fracture classification
  • broken neck of femur