Nervous Tissue Under Microscope

Nervous Tissue Under Microscope

Exploring the intricate world of biology often involves delving into the microscopic realm, where the nervous tissue under microscope reveals a complex network of cells and structures that form the basis of our nervous system. This system is responsible for coordinating and controlling various bodily functions, from voluntary movements to involuntary processes like breathing and digestion. Understanding the nervous tissue under a microscope provides valuable insights into how our bodies function and respond to stimuli.

Understanding Nervous Tissue

Nervous tissue is composed of two primary types of cells: neurons and neuroglia. Neurons are the fundamental units of the nervous system, responsible for transmitting electrical signals. Neuroglia, or glial cells, support and protect neurons, ensuring their proper functioning. When observed under a microscope, these cells exhibit distinct characteristics that are crucial for their roles.

Types of Nervous Tissue

Nervous tissue can be categorized into two main types based on their location and function:

  • Central Nervous System (CNS) Tissue: This includes the brain and spinal cord. The CNS is responsible for processing information and coordinating responses.
  • Peripheral Nervous System (PNS) Tissue: This encompasses the nerves that connect the CNS to the rest of the body, including sensory and motor neurons.

Examining Nervous Tissue Under a Microscope

To observe nervous tissue under a microscope, a few key steps must be followed. These steps ensure that the tissue is properly prepared and stained for clear visualization. Here is a detailed guide:

Preparation of Tissue Samples

1. Fixation: The first step is to fix the tissue sample to preserve its structure. Common fixatives include formalin and glutaraldehyde. Fixation prevents the tissue from degrading and maintains its cellular integrity.

2. Sectioning: After fixation, the tissue is embedded in a supporting medium, such as paraffin or resin. Thin sections (typically 5-10 microns thick) are then cut using a microtome. These sections are mounted on glass slides for further processing.

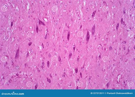
3. Staining: Staining enhances the visibility of different cellular components. Common stains for nervous tissue include:

  • Hematoxylin and Eosin (H&E): This stain highlights the nuclei and cytoplasm of cells, providing a general overview of the tissue structure.
  • Luxol Fast Blue: This stain is specific for myelin, the insulating sheath around axons, making it useful for studying myelinated nerves.
  • Nissl Stain: This stain targets Nissl bodies, which are clusters of ribosomes in the cytoplasm of neurons, helping to identify neuronal cell bodies.

4. Mounting: The stained sections are mounted with a coverslip using a mounting medium. This step protects the tissue and enhances its clarity under the microscope.

Observing Nervous Tissue

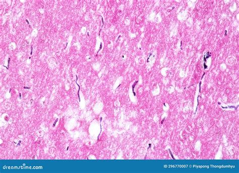
Once the tissue is prepared, it can be observed under a light microscope. Key features to look for include:

  • Neurons: Identify the cell bodies (soma), dendrites, and axons. Neurons have a characteristic star-shaped appearance due to their numerous processes.
  • Neuroglia: Look for glial cells, which are smaller and more numerous than neurons. They provide structural support and insulation for neurons.
  • Myelin Sheaths: Observe the white, fatty substance that wraps around axons, providing insulation and increasing the speed of signal transmission.
  • Nerve Fibers: These are bundles of axons that transmit signals over long distances. They are often seen in cross-section as circular structures.

🔍 Note: When observing nervous tissue, it is essential to use appropriate magnification. Lower magnification (e.g., 10x or 20x) provides an overview of the tissue structure, while higher magnification (e.g., 40x or 100x) allows for detailed examination of individual cells and their components.

Key Structures in Nervous Tissue

Several key structures are essential for the functioning of nervous tissue. These include:

  • Neuronal Cell Body (Soma): Contains the nucleus and other organelles necessary for cellular metabolism and protein synthesis.
  • Dendrites: Branching processes that receive signals from other neurons and transmit them to the cell body.
  • Axons: Long, slender processes that transmit electrical signals away from the cell body to other neurons or effector cells.
  • Synapses: Junctions between neurons where signals are transmitted from one neuron to another. Synapses can be chemical or electrical.
  • Myelin Sheath: A fatty insulating layer that wraps around axons, increasing the speed of signal transmission.
  • Nodes of Ranvier: Gaps in the myelin sheath where the axon is exposed, allowing for the regeneration of the electrical signal.

Common Stains for Nervous Tissue

Different stains are used to highlight specific components of nervous tissue. Here is a table summarizing the common stains and their uses:

Stain Target Use
Hematoxylin and Eosin (H&E) Nuclei and cytoplasm General tissue overview
Luxol Fast Blue Myelin Studying myelinated nerves
Nissl Stain Nissl bodies Identifying neuronal cell bodies
Silver Stain Neurofibrils Visualizing neuronal processes
Golgi Stain Entire neuron Detailed study of neuronal morphology

🔍 Note: The choice of stain depends on the specific structures or components of interest. For example, Luxol Fast Blue is ideal for studying myelinated nerves, while Nissl Stain is useful for identifying neuronal cell bodies.

Applications of Microscopic Examination

Examining nervous tissue under a microscope has numerous applications in both research and clinical settings. Some key applications include:

  • Diagnosis of Neurological Disorders: Microscopic examination of nervous tissue can help diagnose conditions such as Alzheimer's disease, Parkinson's disease, and multiple sclerosis. Specific changes in neuronal structure and function can be observed.
  • Research on Neural Development: Studying the development of nervous tissue provides insights into how neurons form connections and how the nervous system develops. This knowledge is crucial for understanding developmental disorders and designing therapeutic interventions.
  • Investigation of Neurodegenerative Diseases: Microscopic examination of nervous tissue from patients with neurodegenerative diseases can reveal the underlying mechanisms of neuronal degeneration and help in the development of new treatments.
  • Study of Neural Plasticity: Observing changes in nervous tissue under different conditions can provide insights into neural plasticity, the brain's ability to adapt and change in response to experience or injury.

Microscopic examination of nervous tissue is a powerful tool for understanding the complex workings of the nervous system. By observing the intricate structures and interactions of neurons and glial cells, researchers and clinicians can gain valuable insights into both normal and pathological conditions.

In conclusion, the study of nervous tissue under microscope offers a window into the fascinating world of the nervous system. From the identification of key structures to the diagnosis of neurological disorders, microscopic examination plays a crucial role in advancing our understanding of the brain and its functions. By carefully preparing and staining tissue samples, researchers can observe the intricate details of neurons and glial cells, providing insights into both normal and pathological conditions. This knowledge is essential for developing new treatments and therapies for neurological disorders, ultimately improving the quality of life for patients.

Related Terms:

  • nervous tissue under microscope labeled
  • muscle tissue under microscope
  • simple squamous epithelium under microscope
  • connective tissue under microscope
  • nervous tissue function
  • nervous tissue location