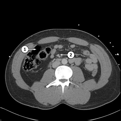
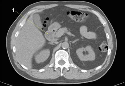
Normal Abdominal Ct

Normal Abdominal Ct

Understanding the significance of a Normal Abdominal CT scan is crucial for both medical professionals and patients. This diagnostic tool plays a pivotal role in detecting various abdominal conditions, from minor issues to life-threatening diseases. By providing detailed images of the internal structures, a Normal Abdominal CT scan helps in accurate diagnosis and effective treatment planning.

What is a Normal Abdominal CT Scan?

A Normal Abdominal CT scan, or Computed Tomography scan, is a non-invasive imaging procedure that uses X-rays and computer technology to create detailed images of the abdomen. These images help doctors visualize the internal structures, including the liver, spleen, pancreas, kidneys, and intestines. The term "normal" refers to the absence of any abnormalities or pathologies in the scanned area.

How Does a Normal Abdominal CT Scan Work?

The process involves several steps, each crucial for obtaining accurate results. Here’s a breakdown of how a Normal Abdominal CT scan works:

  • Preparation: Patients are usually asked to fast for a few hours before the scan to ensure the intestines are empty. They may also be given a contrast dye to enhance the visibility of certain structures.
  • Positioning: The patient lies on a table that slides into the CT scanner. The table may move during the scan to capture images from different angles.
  • Scanning: The scanner rotates around the patient, emitting X-rays that are detected by sensors. These signals are then processed by a computer to create cross-sectional images of the abdomen.
  • Image Analysis: The resulting images are reviewed by a radiologist, who looks for any abnormalities or signs of disease.

📝 Note: Patients with allergies to contrast dye or those with kidney problems should inform their doctor before the scan.

Indications for a Normal Abdominal CT Scan

A Normal Abdominal CT scan is often recommended for various reasons, including:

  • Abdominal Pain: Persistent or severe abdominal pain that requires further investigation.
  • Trauma: Assessment of internal injuries following an accident or trauma.
  • Cancer Screening: Detection and staging of abdominal cancers, such as liver, pancreatic, or kidney cancer.
  • Inflammatory Conditions: Evaluation of conditions like appendicitis, diverticulitis, or inflammatory bowel disease.
  • Gastrointestinal Bleeding: Identification of the source of bleeding in the gastrointestinal tract.

Benefits of a Normal Abdominal CT Scan

The benefits of a Normal Abdominal CT scan are numerous, making it a valuable diagnostic tool:

  • Detailed Imaging: Provides high-resolution images that can detect even small abnormalities.
  • Non-Invasive: Unlike surgical procedures, a CT scan is non-invasive and relatively painless.
  • Quick Results: The scan and image analysis can be completed quickly, allowing for prompt diagnosis and treatment.
  • Versatile: Can be used to diagnose a wide range of conditions, from minor issues to serious diseases.

Interpreting Normal Abdominal CT Scan Results

Interpreting the results of a Normal Abdominal CT scan involves a thorough review of the images by a radiologist. Key points to consider include:

  • Absence of Abnormalities: A normal scan indicates that there are no visible abnormalities or pathologies in the abdomen.
  • Organ Function: The scan can provide insights into the function and structure of various organs, ensuring they are working correctly.
  • Follow-Up Recommendations: Even if the scan is normal, the radiologist may recommend follow-up scans or additional tests based on the patient's medical history and symptoms.

Common Findings in a Normal Abdominal CT Scan

When a Normal Abdominal CT scan is performed, several key findings are expected:

  • Clear Organs: The liver, spleen, pancreas, and kidneys should appear clear and free of any masses or cysts.
  • Intact Bowel: The intestines should be intact with no signs of inflammation, obstruction, or perforation.
  • Normal Vascular Structures: Blood vessels should be clear and free of any blockages or aneurysms.
  • No Fluid Accumulation: There should be no abnormal fluid accumulation in the abdominal cavity.

Limitations of a Normal Abdominal CT Scan

While a Normal Abdominal CT scan is highly effective, it does have some limitations:

  • Radiation Exposure: The scan involves exposure to ionizing radiation, which can be harmful with repeated or excessive use.
  • Contrast Reactions: Some patients may experience allergic reactions to the contrast dye used during the scan.
  • False Negatives: In rare cases, the scan may miss small abnormalities or early-stage diseases.

📝 Note: Patients should discuss the potential risks and benefits of a Normal Abdominal CT scan with their healthcare provider.

Preparing for a Normal Abdominal CT Scan

Proper preparation is essential for a successful Normal Abdominal CT scan. Here are some steps to follow:

  • Fasting: Avoid eating or drinking for a few hours before the scan, as directed by your doctor.
  • Hydration: Drink plenty of water to stay hydrated, unless instructed otherwise.
  • Medications: Inform your doctor about any medications you are taking, as some may need to be adjusted or temporarily stopped.
  • Contrast Dye: If contrast dye is required, you may need to follow specific instructions, such as drinking a contrast solution before the scan.

What to Expect During a Normal Abdominal CT Scan

During a Normal Abdominal CT scan, patients can expect the following:

  • Comfortable Environment: The scanning room is typically quiet and comfortable, with the patient lying on a table.
  • Minimal Discomfort: The scan itself is painless, although some patients may feel discomfort from lying still for an extended period.
  • Duration: The scan usually takes about 15-30 minutes, depending on the complexity of the images required.
  • Communication: The technician will communicate with you throughout the procedure, providing instructions and reassurance.

Post-Scan Care and Follow-Up

After a Normal Abdominal CT scan, patients can usually resume their normal activities immediately. However, there are a few things to keep in mind:

  • Hydration: Drink plenty of water to help flush out any contrast dye from your system.
  • Follow-Up Appointment: Schedule a follow-up appointment with your doctor to discuss the results and any necessary next steps.
  • Monitor Symptoms: Pay attention to any new or worsening symptoms and report them to your doctor.

📝 Note: If you experience any adverse reactions to the contrast dye, such as itching, rash, or difficulty breathing, seek medical attention immediately.

Comparing Normal Abdominal CT Scan with Other Imaging Techniques

While a Normal Abdominal CT scan is highly effective, it is not the only imaging technique available. Here’s a comparison with other common methods:

Imaging Technique Advantages Disadvantages
Ultrasound Non-invasive, no radiation, real-time imaging Less detailed images, operator-dependent
MRI High-resolution images, no radiation Longer scan time, more expensive, not suitable for patients with metal implants
X-Ray Quick, inexpensive, widely available Less detailed images, radiation exposure

Conclusion

A Normal Abdominal CT scan is a crucial diagnostic tool that provides detailed images of the abdominal structures, aiding in the accurate diagnosis and treatment of various conditions. Understanding the process, benefits, and limitations of this scan can help patients and healthcare providers make informed decisions. By following proper preparation and post-scan care, patients can ensure the best possible outcomes from their Normal Abdominal CT scan.

Related Terms:

  • ct scan images of abdomen
  • normal abdominal ct radiopaedia
  • normal abdominal ct with contrast
  • abdominal ct scan anatomy
  • normal abdominal ct scan images
  • normal bowel on ct scan