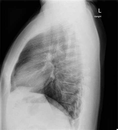
Normal Lateral Cxr

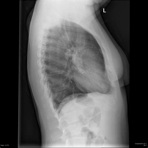
Normal Lateral Cxr

Radiology plays a crucial role in modern medicine, providing invaluable insights into the human body's internal structures. Among the various imaging techniques, the Normal Lateral Cxr (Chest X-ray) stands out as a fundamental tool for diagnosing and monitoring a wide range of conditions. This post delves into the significance, procedure, interpretation, and applications of the Normal Lateral Cxr, offering a comprehensive guide for both medical professionals and curious readers.

Understanding the Normal Lateral Cxr

The Normal Lateral Cxr is a diagnostic imaging technique that uses X-rays to create detailed images of the chest, including the lungs, heart, and surrounding structures. This type of X-ray is particularly useful for detecting abnormalities in the chest cavity, such as infections, tumors, and structural issues. The lateral view, which is taken from the side, provides a different perspective compared to the frontal view, allowing for a more thorough examination.

There are several types of chest X-rays, each serving different diagnostic purposes. The Normal Lateral Cxr is often used in conjunction with the frontal view to provide a comprehensive assessment. Other types include:

  • Posteroanterior (PA) view: Taken from the back to the front, this is the most common type of chest X-ray.
  • Anteroposterior (AP) view: Taken from the front to the back, this view is often used in emergency situations.
  • Lateral view: Taken from the side, this view complements the frontal views by providing additional details.
  • Oblique view: Taken at an angle, this view can help identify specific structures more clearly.

Procedure for a Normal Lateral Cxr

The procedure for a Normal Lateral Cxr is straightforward and typically takes only a few minutes. Here is a step-by-step guide to what patients can expect:

  1. Preparation: Patients are usually asked to remove any jewelry or metal objects that could interfere with the X-ray. They may also be asked to change into a hospital gown.
  2. Positioning: The patient stands in front of the X-ray machine. For the lateral view, the patient is positioned sideways, with one side of the chest facing the X-ray plate.
  3. Exposure: The radiographer will instruct the patient to hold still and may ask them to take a deep breath and hold it. This helps to expand the lungs and provide a clearer image.
  4. Image Capture: The X-ray machine emits a small amount of radiation, which passes through the body and creates an image on the X-ray plate. The process is painless and quick.
  5. Completion: Once the image is captured, the patient can resume normal activities. The radiographer will review the images to ensure they are of sufficient quality for diagnosis.

📝 Note: Patients should inform the radiographer if they are pregnant or have any metal implants, as these factors may affect the procedure.

Interpreting a Normal Lateral Cxr

Interpreting a Normal Lateral Cxr requires a trained eye and a deep understanding of anatomy. Radiologists look for various indicators to assess the health of the chest cavity. Some key elements to consider include:

  • Lung Fields: The lungs should appear clear, with no signs of consolidation, masses, or fluid. Any opacities or abnormalities can indicate infections, tumors, or other conditions.
  • Heart Size and Shape: The heart should be of normal size and shape. An enlarged heart (cardiomegaly) can indicate conditions like heart failure or hypertension.
  • Diaphragm: The diaphragm should be clearly visible and in its normal position. Elevation or flattening of the diaphragm can indicate underlying issues.
  • Bones and Soft Tissues: The ribs, spine, and soft tissues should be examined for any fractures, dislocations, or masses.
  • Mediastinum: The mediastinum, the central compartment of the thoracic cavity, should be assessed for any widening or abnormalities, which can indicate conditions like lymphadenopathy or aortic aneurysms.

Radiologists use a systematic approach to interpret Normal Lateral Cxr images, ensuring that all relevant structures are examined. This includes:

  1. ABCDE Approach: This mnemonic stands for Airway, Breathing, Circulation, Disability, and Exposure. It helps radiologists systematically assess the chest X-ray for any life-threatening conditions.
  2. Comparison with Previous X-rays: Comparing the current X-ray with previous ones can help identify changes over time, which may indicate progression or improvement of a condition.
  3. Clinical Correlation: Radiologists consider the patient's clinical history and symptoms to provide a more accurate interpretation of the X-ray findings.

Applications of the Normal Lateral Cxr

The Normal Lateral Cxr has a wide range of applications in medical practice. Some of the most common uses include:

  • Diagnosis of Lung Conditions: Normal Lateral Cxr is essential for diagnosing conditions like pneumonia, tuberculosis, lung cancer, and chronic obstructive pulmonary disease (COPD).
  • Cardiac Assessment: The X-ray can help assess the size and shape of the heart, aiding in the diagnosis of conditions like heart failure, pericardial effusion, and congenital heart diseases.
  • Evaluation of Chest Trauma: In cases of chest trauma, the Normal Lateral Cxr can help identify fractures, pneumothorax, hemothorax, and other injuries.
  • Monitoring of Chronic Conditions: For patients with chronic conditions like COPD or cystic fibrosis, regular Normal Lateral Cxr can help monitor disease progression and response to treatment.
  • Preoperative Assessment: Before certain surgeries, a Normal Lateral Cxr may be performed to assess the patient's chest condition and identify any potential risks.

Limitations and Considerations

While the Normal Lateral Cxr is a valuable diagnostic tool, it has its limitations. Some factors to consider include:

  • Radiation Exposure: Although the amount of radiation used in a chest X-ray is relatively low, repeated exposures can increase the risk of radiation-related health issues. Therefore, X-rays should be performed judiciously.
  • Image Quality: The quality of the X-ray image can be affected by various factors, such as patient movement, obesity, and the presence of metal objects. Poor-quality images can make interpretation difficult.
  • Limited Detail: The Normal Lateral Cxr provides a two-dimensional view of the chest, which may not capture all the details. For more detailed imaging, other techniques like CT scans or MRI may be required.
  • Interpretation Variability: The interpretation of chest X-rays can vary among radiologists, leading to potential discrepancies in diagnosis. Therefore, it is important to consult with experienced radiologists for accurate interpretation.

📝 Note: Patients should always discuss the risks and benefits of a Normal Lateral Cxr with their healthcare provider to make an informed decision.

Advanced Imaging Techniques

In some cases, a Normal Lateral Cxr may not provide sufficient information, and more advanced imaging techniques may be required. These include:

  • Computed Tomography (CT) Scan: CT scans provide detailed cross-sectional images of the chest, offering more information than a standard X-ray. They are particularly useful for detecting small lesions, evaluating the extent of lung disease, and assessing the mediastinum.
  • Magnetic Resonance Imaging (MRI): MRI uses magnetic fields and radio waves to create detailed images of the chest. It is particularly useful for evaluating soft tissues and blood vessels.
  • Positron Emission Tomography (PET) Scan: PET scans use a radioactive tracer to visualize metabolic activity in the body. They are often used in conjunction with CT scans to detect cancer and assess its spread.
  • Ultrasound: Ultrasound uses high-frequency sound waves to create images of the chest. It is particularly useful for evaluating pleural effusions, pericardial effusions, and other fluid collections.

These advanced imaging techniques provide more detailed information than a Normal Lateral Cxr, but they also come with higher costs and potential risks. Therefore, they are typically reserved for cases where a more detailed assessment is necessary.

The field of chest imaging is rapidly evolving, with new technologies and techniques emerging to improve diagnostic accuracy and patient outcomes. Some of the future trends in chest imaging include:

  • Artificial Intelligence (AI): AI algorithms are being developed to assist radiologists in interpreting chest X-rays, improving accuracy and efficiency. These algorithms can help detect subtle abnormalities that may be missed by the human eye.
  • 3D Imaging: 3D imaging techniques, such as 3D CT and 3D MRI, provide a more comprehensive view of the chest, allowing for better assessment of complex structures and conditions.
  • Molecular Imaging: Molecular imaging techniques, such as PET and SPECT, provide information about the molecular and cellular processes in the body. They are particularly useful for detecting cancer and assessing its response to treatment.
  • Virtual Reality (VR) and Augmented Reality (AR): VR and AR technologies are being explored for their potential to enhance the interpretation of chest images, providing radiologists with a more immersive and interactive experience.

These advancements in chest imaging hold great promise for improving diagnostic accuracy, patient outcomes, and overall healthcare quality. As technology continues to evolve, the role of the Normal Lateral Cxr may change, but it will remain a fundamental tool in medical practice.

In the final analysis, the Normal Lateral Cxr is an indispensable tool in modern medicine, providing valuable insights into the chest’s internal structures. Its applications range from diagnosing lung conditions to assessing cardiac health and evaluating chest trauma. While it has its limitations, the Normal Lateral Cxr remains a cornerstone of diagnostic imaging, and its role will continue to evolve with advancements in technology. Understanding the procedure, interpretation, and applications of the Normal Lateral Cxr is essential for medical professionals and patients alike, ensuring that this powerful diagnostic tool is used effectively and safely.

Related Terms:

  • lateral chest x ray anatomy
  • normal lateral cxr anatomy
  • lateral chest x ray diaphragm
  • normal lateral view cxr
  • lateral chest x ray view
  • cxr lateral anatomy