Normal Lung Xray

Normal Lung Xray

Understanding the significance of a normal lung X-ray is crucial for healthcare professionals and patients alike. A lung X-ray is a common diagnostic tool used to visualize the structures within the chest, including the lungs, heart, and bones. This imaging technique helps in the detection of various conditions, from pneumonia to lung cancer. However, interpreting a normal lung X-ray requires a keen eye and a solid understanding of what constitutes normal anatomy.

Understanding Lung X-rays

A lung X-ray, also known as a chest radiograph, is a quick and painless procedure that uses a small amount of radiation to produce images of the chest. These images are then analyzed by radiologists to identify any abnormalities. The primary purpose of a normal lung X-ray is to serve as a baseline for future comparisons, ensuring that any changes in the lungs can be detected early.

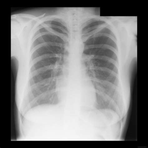
What Does a Normal Lung X-ray Look Like?

A normal lung X-ray typically shows clear lung fields with no signs of inflammation, infection, or other abnormalities. The lungs appear black due to the air they contain, while the heart and other structures appear white. The diaphragm, the muscle that separates the chest from the abdomen, is also visible and should be at a normal level.

Here are some key features of a normal lung X-ray:

  • Clear lung fields with no opacities or infiltrates.
  • Normal heart size and shape.
  • Visible costophrenic angles (the angles where the ribs meet the diaphragm).
  • No pleural effusions (fluid accumulation around the lungs).
  • Normal vascular markings.

Common Abnormalities in Lung X-rays

While a normal lung X-ray is ideal, it's essential to recognize common abnormalities that may appear. These can include:

  • Pneumonia: Characterized by areas of increased opacity in the lungs, often with air bronchograms (air-filled bronchi visible against a background of consolidation).
  • Lung Cancer: May appear as a mass or nodule, often with irregular borders and sometimes with associated lymphadenopathy.
  • Pulmonary Edema: Caused by fluid accumulation in the lungs, often seen as increased opacity in the lung fields, particularly in the lower zones.
  • Pneumothorax: The presence of air in the pleural space, which can cause the lung to collapse partially or completely.
  • Tuberculosis: May show cavitary lesions, nodules, or areas of consolidation, often in the upper lobes.

Interpreting a Normal Lung X-ray

Interpreting a normal lung X-ray involves a systematic approach to ensure that all relevant structures are examined. Here are the steps typically followed:

  • Check the Technical Quality: Ensure the X-ray is of good quality, with proper exposure and no artifacts.
  • Examine the Bones: Look for any fractures, lytic lesions, or other bony abnormalities.
  • Assess the Soft Tissues: Check for any masses, lymphadenopathy, or other soft tissue abnormalities.
  • Evaluate the Heart and Mediastinum: Ensure the heart is of normal size and shape, and check for any mediastinal widening or masses.
  • Inspect the Lungs: Look for any opacities, nodules, or other abnormalities in the lung fields.
  • Examine the Pleura: Check for any pleural effusions, thickening, or other pleural abnormalities.
  • Assess the Diaphragm: Ensure the diaphragm is at a normal level and check for any eventration or herniation.

🔍 Note: Always compare current X-rays with previous studies to detect any interval changes.

Clinical Significance of a Normal Lung X-ray

A normal lung X-ray is not just a negative finding; it has significant clinical implications. It can provide reassurance to patients and healthcare providers that there are no immediate concerns. However, it's important to remember that a normal X-ray does not rule out all possible lung diseases, especially those that may not be visible on a standard chest radiograph.

For example, early-stage lung cancer or interstitial lung disease may not be detectable on a normal lung X-ray. In such cases, additional imaging studies like CT scans or MRI may be necessary for a more detailed evaluation.

When to Order a Lung X-ray

Lung X-rays are ordered for a variety of reasons, including:

  • Routine Screening: For patients with a history of smoking or exposure to environmental toxins.
  • Symptom Evaluation: For patients presenting with symptoms such as cough, shortness of breath, chest pain, or fever.
  • Pre-operative Assessment: To evaluate the lungs before surgery.
  • Follow-up: To monitor the progression of known lung diseases or the response to treatment.

While a normal lung X-ray is often the desired outcome, it's crucial to consider the clinical context and the patient's symptoms when interpreting the results.

Limitations of Lung X-rays

Although lung X-rays are a valuable diagnostic tool, they have certain limitations. These include:

  • Limited Sensitivity: Some lung diseases, especially early-stage or interstitial diseases, may not be visible on a normal lung X-ray.
  • Overlapping Structures: The superimposition of structures can make it difficult to identify small abnormalities.
  • Radiation Exposure: While the radiation dose is relatively low, repeated X-rays can increase the cumulative radiation exposure.
  • Technical Factors: Poor-quality images due to patient movement, incorrect positioning, or inadequate exposure can affect the interpretation.

In cases where a normal lung X-ray is inconclusive or where more detailed information is needed, additional imaging studies such as CT scans, MRI, or PET scans may be recommended.

Advanced Imaging Techniques

When a normal lung X-ray does not provide sufficient information, advanced imaging techniques can offer more detailed views of the lungs. These include:

  • Computed Tomography (CT) Scan: Provides cross-sectional images of the lungs, allowing for better visualization of small nodules, interstitial diseases, and other abnormalities.
  • Magnetic Resonance Imaging (MRI): Useful for evaluating soft tissue structures and can provide detailed images of the lungs without the use of ionizing radiation.
  • Positron Emission Tomography (PET) Scan: Combines a CT scan with a radioactive tracer to detect areas of increased metabolic activity, often used in the evaluation of lung cancer.

These advanced techniques can complement a normal lung X-ray by providing more detailed information and helping to guide further management.

Conclusion

A normal lung X-ray is a crucial diagnostic tool that provides valuable information about the health of the lungs and other chest structures. Understanding what constitutes a normal X-ray and recognizing common abnormalities is essential for accurate interpretation. While a normal lung X-ray can offer reassurance, it’s important to consider the clinical context and the limitations of the test. In cases where more detailed information is needed, advanced imaging techniques can provide additional insights, ensuring that patients receive the most appropriate care.

Related Terms:

  • chest x ray anatomy labelled
  • normal lung ct
  • chest x ray interpretation
  • abnormal chest xray images
  • chest x ray with pneumonia