Normal Neck X Ray

Normal Neck X Ray

Understanding the significance of a Normal Neck X Ray is crucial for both medical professionals and patients. This diagnostic tool plays a pivotal role in evaluating various conditions affecting the cervical spine and surrounding structures. Whether you are a healthcare provider or someone seeking information about this procedure, this comprehensive guide will walk you through the essentials of a Normal Neck X Ray, its indications, procedure, interpretation, and more.

What is a Normal Neck X Ray?

A Normal Neck X Ray is a radiographic imaging technique used to visualize the bones, joints, and soft tissues of the neck. It is a non-invasive procedure that helps in diagnosing a wide range of conditions, including fractures, dislocations, arthritis, and infections. The term “normal” in this context refers to the expected appearance of the neck structures in the absence of any pathological conditions.

Indications for a Normal Neck X Ray

A Normal Neck X Ray is typically ordered by healthcare providers for several reasons:

  • Trauma: To assess injuries resulting from accidents, falls, or sports-related incidents.
  • Pain and Stiffness: To evaluate chronic or acute neck pain and stiffness.
  • Infection: To detect infections such as osteomyelitis or abscesses.
  • Arthritis: To diagnose and monitor degenerative joint diseases like osteoarthritis.
  • Tumors: To identify bone tumors or other masses in the neck region.
  • Preoperative Evaluation: To plan for surgical procedures involving the neck.

Preparation for a Normal Neck X Ray

Preparing for a Normal Neck X Ray is relatively straightforward. Here are some key points to consider:

  • Clothing: Wear comfortable clothing that can be easily removed or adjusted to expose the neck area.
  • Jewelry and Accessories: Remove any jewelry, metal objects, or clothing with metal fasteners that could interfere with the imaging.
  • Medications: Continue taking any prescribed medications unless instructed otherwise by your healthcare provider.
  • Pregnancy: Inform the radiologist if you are pregnant, as X-rays are generally avoided during pregnancy unless absolutely necessary.

Procedure for a Normal Neck X Ray

The procedure for a Normal Neck X Ray is quick and painless. Here is a step-by-step guide:

  1. Positioning: You will be asked to stand or sit in front of the X-ray machine. The radiographer will position your head and neck to ensure the best possible images.
  2. Immobilization: In some cases, a collar or other support may be used to keep your neck still during the procedure.
  3. Exposure: The radiographer will step behind a protective barrier and take the X-ray. You will be asked to hold still for a few seconds while the image is captured.
  4. Multiple Views: Several views may be taken from different angles to provide a comprehensive assessment of the neck structures.

📝 Note: The entire procedure typically takes less than 15 minutes.

Interpreting a Normal Neck X Ray

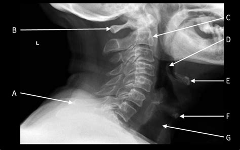
Interpreting a Normal Neck X Ray involves examining the images for any abnormalities. Key structures to assess include:

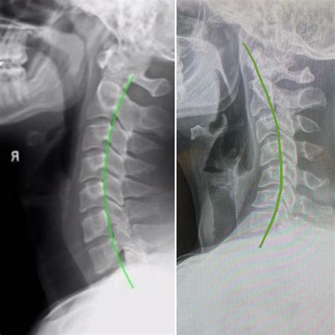
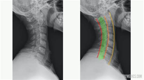
  • Vertebrae: The seven cervical vertebrae (C1-C7) should be clearly visible and aligned.
  • Intervertebral Discs: The spaces between the vertebrae should be uniform and without narrowing.
  • Joints: The facet joints should be well-defined and without signs of degeneration or inflammation.
  • Soft Tissues: The soft tissues, including muscles and ligaments, should appear normal without any swelling or masses.

In a Normal Neck X Ray, the following features are typically observed:

Structure Normal Appearance
Vertebrae Well-defined, aligned, and without fractures or deformities.
Intervertebral Discs Uniform spaces between vertebrae, without narrowing or herniation.
Joints Smooth and well-defined, without signs of arthritis or inflammation.
Soft Tissues No swelling, masses, or other abnormalities.

Common Findings in a Normal Neck X Ray

While a Normal Neck X Ray should show no signs of pathology, there are some common findings that may be observed:

  • Degenerative Changes: Mild degenerative changes, such as osteophytes or disc space narrowing, may be present in older individuals.
  • Spondylosis: Age-related changes in the vertebrae, including bone spurs and disc degeneration.
  • Kyphosis: A slight forward curvature of the cervical spine, which is normal in some individuals.

Limitations of a Normal Neck X Ray

Although a Normal Neck X Ray is a valuable diagnostic tool, it has certain limitations:

  • Soft Tissue Detail: X-rays provide limited detail of soft tissues, such as muscles, ligaments, and nerves.
  • Overlapping Structures: Structures that overlap on the X-ray image can make interpretation difficult.
  • Dynamic Assessment: X-rays do not capture dynamic movements, which may be necessary for assessing certain conditions.

Alternative Imaging Modalities

In cases where a Normal Neck X Ray is insufficient, alternative imaging modalities may be considered:

  • CT Scan: Provides detailed cross-sectional images of the neck, useful for assessing fractures, tumors, and other complex conditions.
  • MRI: Offers excellent soft tissue contrast, ideal for evaluating disc herniations, spinal cord compression, and other soft tissue abnormalities.
  • Ultrasound: Useful for assessing soft tissue structures, such as muscles and tendons, and for guiding procedures like injections.

Conclusion

A Normal Neck X Ray is an essential diagnostic tool for evaluating the cervical spine and surrounding structures. It helps in diagnosing a wide range of conditions, from fractures to degenerative diseases. Understanding the indications, preparation, procedure, and interpretation of a Normal Neck X Ray is crucial for both healthcare providers and patients. While it has limitations, it remains a valuable first-line imaging modality for many neck-related issues. For more detailed assessments, alternative imaging techniques like CT scans and MRIs may be employed. By leveraging these tools, healthcare providers can ensure accurate diagnoses and effective treatment plans for their patients.

Related Terms:

  • neck x ray anatomy
  • normal neck x ray images
  • normal neck x ray female
  • normal neck x ray pediatric
  • normal neck curvature x ray
  • neck x ray