Pfo Icd 10

Pfo Icd 10

Understanding the intricacies of medical coding is crucial for healthcare professionals, especially when it comes to specific conditions like patent foramen ovale (PFO) and its associated procedures. The PFO ICD 10 code is a critical component in accurately documenting and billing for these conditions. This guide will delve into the specifics of PFO, its diagnosis, treatment, and the importance of accurate ICD 10 coding.

Understanding Patent Foramen Ovale (PFO)

A patent foramen ovale (PFO) is a congenital heart defect that occurs when a small opening between the left and right atria of the heart fails to close after birth. This opening, known as the foramen ovale, is present in every fetus to allow blood to bypass the lungs, which are not yet functional. In most individuals, this opening closes shortly after birth. However, in some cases, it remains open, leading to potential health issues.

PFOs are often asymptomatic, meaning they do not cause any symptoms and may go undetected for years. However, in some individuals, a PFO can lead to serious complications, such as:

  • Stroke: Blood clots can pass through the PFO and travel to the brain, causing a stroke.
  • Migraines: Some studies suggest a link between PFO and migraines with aura.
  • Decompression sickness: Divers with PFOs are at a higher risk of decompression sickness, also known as "the bends."

Diagnosing PFO

Diagnosing a PFO typically involves a combination of medical history, physical examination, and diagnostic tests. The most common methods for diagnosing PFO include:

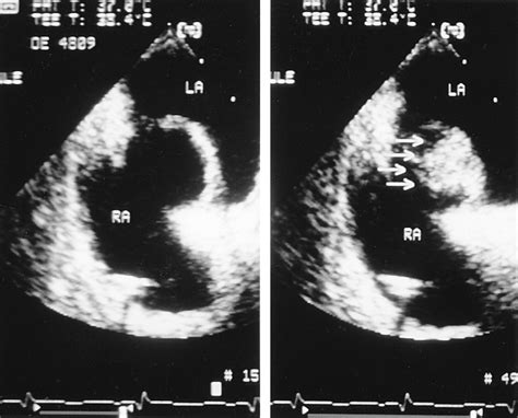
  • Echocardiogram: This is a non-invasive test that uses sound waves to create images of the heart. A transesophageal echocardiogram (TEE) is often used to get a clearer view of the heart's structures.
  • Bubble Study: During an echocardiogram, a saline solution with microbubbles is injected into a vein. If the bubbles appear in the left atrium, it indicates the presence of a PFO.
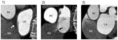
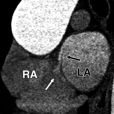
  • MRI: Magnetic resonance imaging can also be used to visualize the heart and detect a PFO.
  • CT Scan: A computed tomography scan can provide detailed images of the heart and help identify a PFO.

Treatment Options for PFO

Treatment for PFO depends on the presence of symptoms and the risk of complications. In many cases, no treatment is necessary, and the condition is monitored through regular check-ups. However, if a PFO is causing symptoms or increasing the risk of complications, treatment options may include:

  • Medications: Blood thinners or antiplatelet drugs may be prescribed to reduce the risk of blood clots.
  • PFO Closure: A minimally invasive procedure where a small device is implanted to close the opening. This procedure is typically performed using a catheter inserted through a vein in the groin.
  • Surgery: In rare cases, open-heart surgery may be required to close the PFO.

Importance of Accurate PFO ICD 10 Coding

The International Classification of Diseases, 10th Revision (ICD 10) is a standardized system used to classify and code diseases and health conditions. Accurate ICD 10 coding is essential for several reasons:

  • Billing and Reimbursement: Accurate coding ensures that healthcare providers are properly reimbursed for the services they provide.
  • Patient Care: Proper coding helps in tracking patient outcomes and improving the quality of care.
  • Research and Public Health: Accurate data is crucial for medical research and public health surveillance.

The PFO ICD 10 code is used to document the presence of a patent foramen ovale. The specific code for PFO is Q21.1. This code is used to indicate the diagnosis of a PFO, which is essential for billing and tracking patient outcomes.

In addition to the PFO ICD 10 code, there are several related codes that may be used in conjunction with PFO diagnosis and treatment. These codes help to provide a more comprehensive picture of the patient's condition and the procedures performed. Some of the common related codes include:

ICD 10 Code Description
I63.9 Cerebral infarction, unspecified
G43.909 Migraine, unspecified, not intractable, without status migrainosus
02110ZZ Insertion of intracardiac device into right atrium, via natural or artificial opening
02113ZZ Insertion of intracardiac device into left atrium, via natural or artificial opening
02114ZZ Insertion of intracardiac device into right ventricle, via natural or artificial opening
02115ZZ Insertion of intracardiac device into left ventricle, via natural or artificial opening

📝 Note: The above codes are examples and may vary based on the specific procedures and conditions. Always refer to the latest ICD 10 guidelines for accurate coding.

Steps for Accurate PFO ICD 10 Coding

Accurate coding for PFO involves several steps to ensure that all relevant information is captured. Here are the key steps to follow:

  1. Patient History and Examination: Review the patient's medical history and examination findings to confirm the diagnosis of PFO.
  2. Diagnostic Tests: Ensure that all relevant diagnostic tests, such as echocardiograms and bubble studies, are documented.
  3. Procedure Documentation: Document the details of any procedures performed, including PFO closure or surgery.
  4. Code Selection: Choose the appropriate ICD 10 codes based on the diagnosis and procedures performed. Use the PFO ICD 10 code Q21.1 for the diagnosis of PFO.
  5. Review and Validation: Review the coding for accuracy and completeness. Validate the codes with the latest ICD 10 guidelines.

📝 Note: Always ensure that the coding is done by a trained and certified coder to maintain accuracy and compliance with regulatory standards.

Challenges in PFO ICD 10 Coding

While accurate coding is crucial, there are several challenges that healthcare providers may face when coding for PFO. Some of the common challenges include:

  • Complexity of the Condition: PFO can be associated with various symptoms and complications, making it challenging to capture all relevant information in the coding.
  • Variability in Procedures: Different procedures may be used to diagnose and treat PFO, requiring a thorough understanding of the coding guidelines.
  • Regulatory Changes: ICD 10 codes are regularly updated, and healthcare providers must stay current with the latest guidelines to ensure accurate coding.
  • Documentation Issues: Incomplete or inaccurate documentation can lead to coding errors, affecting billing and patient care.

📝 Note: Regular training and updates on ICD 10 coding guidelines can help healthcare providers overcome these challenges and ensure accurate coding.

Best Practices for PFO ICD 10 Coding

To ensure accurate and efficient PFO ICD 10 coding, healthcare providers should follow best practices that promote consistency and compliance. Some of the best practices include:

  • Comprehensive Documentation: Ensure that all relevant patient information, diagnostic tests, and procedures are thoroughly documented.
  • Regular Training: Provide regular training for coding staff to stay updated with the latest ICD 10 guidelines and best practices.
  • Use of Technology: Implement coding software and tools that can help in accurate code selection and validation.
  • Peer Review: Conduct regular peer reviews of coding to identify and correct any errors or inconsistencies.
  • Compliance Audits: Perform regular compliance audits to ensure that coding practices meet regulatory standards.

📝 Note: Adhering to these best practices can help healthcare providers achieve accurate and efficient PFO ICD 10 coding, leading to better patient care and reimbursement.

Accurate PFO ICD 10 coding is essential for documenting the diagnosis and treatment of patent foramen ovale. Understanding the condition, its diagnosis, and treatment options, along with the importance of accurate coding, is crucial for healthcare providers. By following best practices and staying updated with the latest guidelines, healthcare providers can ensure accurate and efficient coding, leading to better patient outcomes and reimbursement. The PFO ICD 10 code Q21.1 is a critical component in this process, helping to capture the diagnosis and associated procedures accurately. Regular training, comprehensive documentation, and the use of technology can further enhance the coding process, ensuring compliance and improving the quality of care.

Related Terms:

  • pfo q21.12
  • q21.12
  • asd pfo icd 10
  • pfo icd 10 guidelines
  • q21.12 patent foramen ovale
  • icd 10 code for q21.12