Ribosomes In A Microscope

Ribosomes In A Microscope

Exploring the microscopic world of ribosomes is a fascinating journey into the heart of cellular biology. Ribosomes are tiny, complex molecular machines found within all living cells, responsible for the synthesis of proteins. Observing ribosomes in a microscope provides invaluable insights into their structure, function, and the intricate processes they facilitate. This post delves into the methods, techniques, and significance of studying ribosomes under a microscope, offering a comprehensive guide for both beginners and experienced researchers.

Understanding Ribosomes

Ribosomes are essential components of the cellular machinery, playing a crucial role in translating genetic information into functional proteins. They are composed of ribosomal RNA (rRNA) and proteins, organized into two subunits: the large subunit and the small subunit. In prokaryotic cells, these subunits are known as the 50S and 30S subunits, respectively, while in eukaryotic cells, they are the 60S and 40S subunits.

Ribosomes can be found either freely floating in the cytoplasm or attached to the endoplasmic reticulum, forming the rough endoplasmic reticulum (RER). Their primary function is to read the sequence of nucleotides in messenger RNA (mRNA) and synthesize the corresponding amino acid sequence to form proteins.

Types of Microscopes Used to Study Ribosomes

Several types of microscopes are employed to study ribosomes, each offering unique advantages and capabilities. The choice of microscope depends on the specific research question and the level of detail required.

Light Microscopes

Light microscopes, including bright-field and phase-contrast microscopes, are commonly used for initial observations. However, due to their limited resolution, they cannot resolve the detailed structure of ribosomes. They are primarily used to observe the overall cellular structure and the distribution of ribosomes within the cell.

Electron Microscopes

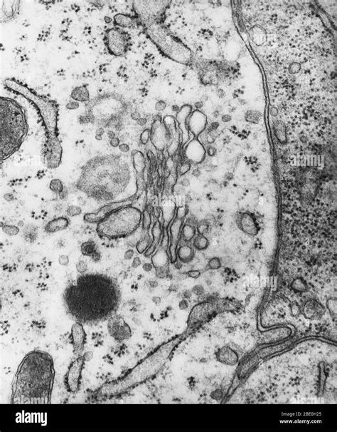
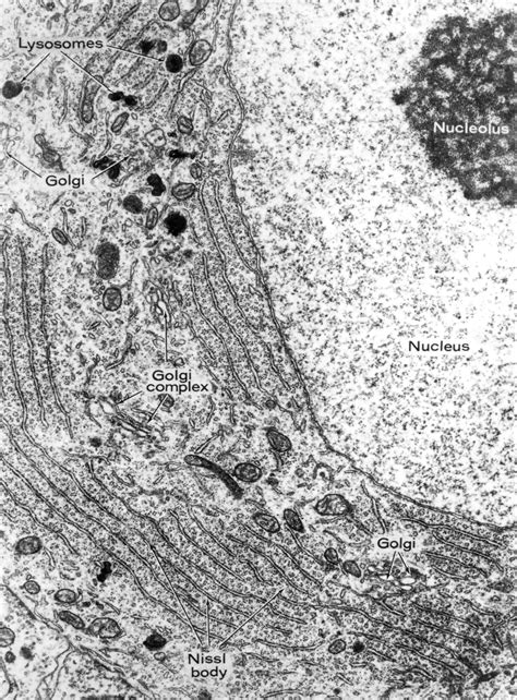
Electron microscopes provide much higher resolution and are indispensable for studying the detailed structure of ribosomes. There are two main types:

  • Transmission Electron Microscopes (TEM): TEMs use a beam of electrons transmitted through a thin specimen to form an image. They offer high resolution and are ideal for studying the ultrastructure of ribosomes.
  • Scanning Electron Microscopes (SEM): SEMs scan the surface of a specimen with a focused beam of electrons to produce a detailed image. They are useful for studying the three-dimensional structure of ribosomes and their interactions with other cellular components.

Fluorescence Microscopes

Fluorescence microscopes use fluorescent dyes or proteins to label specific cellular components, allowing researchers to visualize ribosomes in living cells. This technique is particularly useful for studying the dynamics of ribosome movement and protein synthesis in real-time.

Preparing Samples for Microscopy

Proper sample preparation is crucial for obtaining high-quality images of ribosomes. The following steps outline the general procedure for preparing samples for electron microscopy:

Fixation

Fixation is the first step in sample preparation, involving the use of chemical agents to preserve the cellular structure. Common fixatives include glutaraldehyde and osmium tetroxide. Fixation helps to stabilize the ribosomes and prevent degradation during subsequent processing steps.

Dehydration

After fixation, the sample is dehydrated using a series of ethanol or acetone solutions of increasing concentration. Dehydration removes water from the sample, preparing it for embedding in a resin.

Embedding

The dehydrated sample is then embedded in a resin, such as epoxy or acrylic resin. Embedding provides support and stability to the sample, allowing for thin sectioning.

Sectioning

Thin sections of the embedded sample are cut using an ultramicrotome. These sections, typically 50-100 nanometers thick, are mounted on grids for observation under the electron microscope.

Staining

Staining enhances the contrast of the sample, making it easier to visualize the ribosomes. Common stains include uranyl acetate and lead citrate, which bind to specific cellular components and increase their electron density.

📝 Note: Proper fixation and staining are critical for obtaining clear and detailed images of ribosomes. Inadequate fixation can lead to structural artifacts, while improper staining can result in poor contrast and resolution.

Observing Ribosomes in a Microscope

Once the sample is prepared, it can be observed under the appropriate microscope. The following sections describe the key features to look for when observing ribosomes.

Structure of Ribosomes

Under high magnification, ribosomes appear as dense, granular structures. The two subunits can often be distinguished, with the large subunit appearing slightly larger and more electron-dense than the small subunit. The overall shape and size of the ribosomes can provide insights into their functional state and interactions with other cellular components.

Ribosome Distribution

The distribution of ribosomes within the cell can vary depending on the cell type and metabolic state. In actively protein-synthesizing cells, ribosomes are often found in clusters or polysomes, where multiple ribosomes are translating the same mRNA molecule. Observing the distribution of ribosomes can provide valuable information about the cell’s protein synthesis activity and overall metabolic state.

Ribosome Dynamics

Fluorescence microscopy allows researchers to study the dynamics of ribosome movement and protein synthesis in real-time. By labeling ribosomes with fluorescent proteins or dyes, researchers can track their movement within the cell and observe the formation and disassembly of polysomes. This technique provides insights into the regulatory mechanisms governing protein synthesis and ribosome biogenesis.

Applications of Ribosome Microscopy

Studying ribosomes under a microscope has numerous applications in cellular biology and biomedical research. Some of the key applications include:

Understanding Protein Synthesis

Observing ribosomes in action provides direct insights into the mechanisms of protein synthesis. Researchers can study the interactions between ribosomes, mRNA, and tRNA, as well as the role of various accessory proteins and factors in regulating protein synthesis.

Drug Discovery

Ribosomes are important targets for many antibiotics and anticancer drugs. Studying the structure and function of ribosomes can help identify new drug targets and develop more effective therapeutic agents. For example, electron microscopy has been used to study the binding of antibiotics to ribosomes and their effects on protein synthesis.

Disease Research

Abnormalities in ribosome function have been linked to various diseases, including cancer, neurodegenerative disorders, and genetic syndromes. Observing ribosomes in diseased cells can provide insights into the molecular basis of these conditions and help develop new diagnostic and therapeutic strategies.

Evolutionary Studies

Ribosomes are highly conserved across different species, making them valuable tools for evolutionary studies. Comparing the structure and function of ribosomes in different organisms can provide insights into the evolutionary relationships and adaptations of various species.

Challenges and Limitations

While studying ribosomes under a microscope offers numerous advantages, it also presents several challenges and limitations. Some of the key challenges include:

Sample Preparation

Proper sample preparation is crucial for obtaining high-quality images of ribosomes. However, the process can be time-consuming and technically demanding, requiring specialized equipment and expertise. Inadequate fixation, dehydration, or staining can lead to structural artifacts and poor image quality.

Resolution Limits

Even with advanced electron microscopes, the resolution limits of microscopy can make it difficult to visualize the fine details of ribosome structure. Cryo-electron microscopy (cryo-EM) has emerged as a powerful technique for studying ribosomes at near-atomic resolution, but it requires specialized equipment and expertise.

Dynamic Processes

Observing dynamic processes, such as protein synthesis and ribosome movement, can be challenging with traditional microscopy techniques. Fluorescence microscopy offers a solution by allowing real-time visualization of ribosome dynamics, but it may not provide the same level of structural detail as electron microscopy.

📝 Note: Overcoming these challenges requires a combination of advanced microscopy techniques, careful sample preparation, and innovative experimental designs. Collaborations between researchers with different expertise can also help address these challenges and advance our understanding of ribosome function.

Studying ribosomes in a microscope is a fascinating journey into the heart of cellular biology. From understanding the basic structure and function of ribosomes to exploring their role in disease and drug discovery, microscopy provides invaluable insights into these essential molecular machines. By combining advanced microscopy techniques with careful sample preparation and innovative experimental designs, researchers can continue to unravel the mysteries of ribosome function and its implications for human health and disease.

Related Terms:

  • ribosomes under light microscope
  • how big is a ribosome
  • electron micrograph image of ribosomes
  • ribosomes under electron microscope
  • ribosomes bbc bitesize ks3
  • what is a ribosome ks3