Slipped Rib Syndrome

Slipped Rib Syndrome

Slipped Rib Syndrome, also known as costochondral separation, is a condition that occurs when the ribs slip out of their normal position, causing pain and discomfort. This syndrome can be debilitating, affecting daily activities and quality of life. Understanding the causes, symptoms, diagnosis, and treatment options for Slipped Rib Syndrome is crucial for anyone experiencing these issues.

Understanding Slipped Rib Syndrome

Slipped Rib Syndrome is a condition where the ribs become dislocated from their normal position, often due to trauma or repetitive stress. This condition can affect anyone, but it is more common in athletes, individuals with poor posture, and those who engage in activities that involve repetitive twisting or bending of the torso.

The ribs are connected to the sternum (breastbone) and the spine by cartilage and ligaments. When these connections are weakened or damaged, the ribs can slip out of place, leading to pain and discomfort. The most common areas affected are the lower ribs, particularly the 8th, 9th, and 10th ribs.

Causes of Slipped Rib Syndrome

Several factors can contribute to the development of Slipped Rib Syndrome. Some of the most common causes include:

  • Trauma: Direct injury to the ribcage, such as a fall or a blow to the chest, can cause the ribs to slip out of place.
  • Repetitive Stress: Activities that involve repetitive twisting or bending of the torso, such as golfing, rowing, or certain sports, can lead to Slipped Rib Syndrome.
  • Poor Posture: Prolonged poor posture, such as slouching or hunching over a desk, can weaken the muscles and ligaments supporting the ribs, making them more susceptible to slipping.
  • Muscle Imbalances: Weakness or tightness in the muscles surrounding the ribcage can also contribute to the development of Slipped Rib Syndrome.

Symptoms of Slipped Rib Syndrome

The symptoms of Slipped Rib Syndrome can vary from person to person, but some of the most common signs include:

  • Sharp Pain: A sudden, sharp pain in the chest or upper abdomen, often worsened by movement or deep breathing.
  • Tenderness: Tenderness and discomfort in the affected area, which can be exacerbated by pressure or touch.
  • Difficulty Breathing: Shortness of breath or difficulty breathing, especially during physical activity.
  • Clicking or Popping Sensation: A clicking or popping sensation in the ribcage, which can be felt or heard during movement.
  • Numbness or Tingling: Numbness or tingling in the chest, abdomen, or back, which can radiate to the arms or legs.

If you experience any of these symptoms, it is important to consult a healthcare professional for a proper diagnosis and treatment plan.

Diagnosing Slipped Rib Syndrome

Diagnosing Slipped Rib Syndrome can be challenging, as the symptoms can mimic those of other conditions, such as heart problems or lung issues. A healthcare professional will typically perform a physical examination and order diagnostic tests to rule out other potential causes of the symptoms.

Some of the diagnostic tests that may be used to confirm Slipped Rib Syndrome include:

  • X-rays: X-rays can help rule out fractures or other bone abnormalities, but they may not always show the slipped rib.
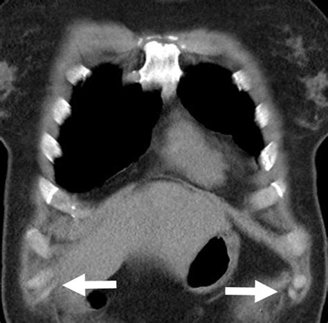
  • CT Scans: Computed tomography (CT) scans provide detailed images of the ribcage and can help identify the location and extent of the slipped rib.
  • MRI Scans: Magnetic resonance imaging (MRI) scans can provide detailed images of the soft tissues, including the muscles and ligaments surrounding the ribcage.
  • Bone Scans: Bone scans can help identify areas of increased bone activity, which may indicate a slipped rib.

In some cases, a healthcare professional may also perform a Hoffman's test or a Hooking maneuver to manually manipulate the ribs and assess their mobility. These tests can help confirm the diagnosis of Slipped Rib Syndrome.

Treatment Options for Slipped Rib Syndrome

Treatment for Slipped Rib Syndrome typically involves a combination of conservative measures and, in some cases, surgical intervention. The goal of treatment is to relieve pain, restore normal rib position, and prevent future episodes.

Conservative Treatment Options

Conservative treatment options for Slipped Rib Syndrome may include:

  • Rest and Activity Modification: Avoiding activities that exacerbate symptoms, such as heavy lifting or twisting movements, can help reduce pain and promote healing.
  • Pain Management: Over-the-counter pain relievers, such as ibuprofen or acetaminophen, can help manage pain and inflammation. In some cases, prescription pain medications may be necessary.
  • Physical Therapy: Physical therapy exercises can help strengthen the muscles and ligaments supporting the ribcage, improve posture, and restore normal rib position. Some common exercises include:
Exercise Description
Rib Cage Mobilization Gentle stretching and mobilization exercises to help realign the ribs.
Core Strengthening Exercises to strengthen the abdominal and back muscles, which support the ribcage.
Postural Exercises Exercises to improve posture and reduce strain on the ribcage.

Physical therapy should be performed under the guidance of a qualified healthcare professional to ensure proper technique and avoid further injury.

๐Ÿ“ Note: It is important to follow the prescribed exercise program consistently to achieve the best results.

Surgical Treatment Options

In some cases, conservative treatment options may not be sufficient to relieve symptoms or restore normal rib position. In these instances, surgical intervention may be necessary. Surgical options for Slipped Rib Syndrome may include:

  • Rib Fixation: Surgical fixation of the slipped rib to the sternum or spine using screws, plates, or wires.
  • Rib Resection: Removal of the affected rib or a portion of it to relieve pressure and pain.
  • Rib Realignment: Surgical realignment of the slipped rib to its normal position, followed by stabilization with screws or plates.

Surgical treatment for Slipped Rib Syndrome is typically reserved for severe cases that do not respond to conservative measures. The specific surgical approach will depend on the location and extent of the slipped rib, as well as the individual's overall health and preferences.

๐Ÿ“ Note: Surgical treatment for Slipped Rib Syndrome carries risks and potential complications, such as infection, bleeding, and nerve damage. It is important to discuss the potential benefits and risks with a healthcare professional before proceeding with surgery.

Preventing Slipped Rib Syndrome

While Slipped Rib Syndrome can occur due to various factors, there are several steps you can take to reduce your risk of developing this condition. Some preventive measures include:

  • Maintain Good Posture: Practicing good posture can help strengthen the muscles and ligaments supporting the ribcage and reduce the risk of rib slippage.
  • Strengthen Core Muscles: Regular exercise to strengthen the abdominal and back muscles can provide better support for the ribcage and reduce the risk of injury.
  • Avoid Repetitive Stress: Avoiding activities that involve repetitive twisting or bending of the torso can help prevent Slipped Rib Syndrome.
  • Warm Up Before Exercise: Proper warm-up before physical activity can help prepare the muscles and ligaments for exertion and reduce the risk of injury.
  • Use Proper Technique: Using proper technique during physical activities, such as lifting or sports, can help reduce the risk of rib slippage.

By incorporating these preventive measures into your daily routine, you can significantly reduce your risk of developing Slipped Rib Syndrome and maintain overall rib health.

Slipped Rib Syndrome is a condition that can significantly impact your quality of life, but with proper diagnosis and treatment, it can be effectively managed. Understanding the causes, symptoms, and treatment options for Slipped Rib Syndrome is the first step in addressing this condition and preventing future episodes. If you suspect you may have Slipped Rib Syndrome, consult a healthcare professional for a proper diagnosis and treatment plan.

By taking proactive steps to maintain rib health and seeking appropriate medical care, you can effectively manage Slipped Rib Syndrome and improve your overall well-being.

Related Terms:

  • slipped rib syndrome exercises
  • slipped rib syndrome ultrasound
  • slipped rib syndrome patient handout
  • hooking maneuver slipping rib
  • slipped rib syndrome physical therapy
  • can you dislocate a rib