Smooth Muscle Under Microscope

Smooth Muscle Under Microscope

Exploring the microscopic world of smooth muscle tissue reveals a fascinating array of structures and functions that are crucial for understanding various physiological processes. The smooth muscle under microscope offers a unique perspective on how these tissues contribute to the body's overall functionality. This exploration delves into the anatomy, types, and functions of smooth muscle, providing a comprehensive overview for both students and professionals in the field of biology and medicine.

Understanding Smooth Muscle Tissue

Smooth muscle tissue is one of the three main types of muscle tissue in the human body, the others being skeletal and cardiac muscle. Unlike skeletal muscle, which is responsible for voluntary movements, and cardiac muscle, which powers the heart, smooth muscle operates involuntarily. This type of muscle is found in various organs and structures throughout the body, including the digestive tract, blood vessels, respiratory tract, and reproductive organs.

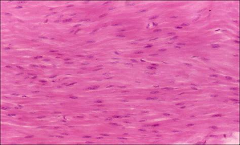
Smooth muscle cells are spindle-shaped and lack the striations seen in skeletal and cardiac muscle. This unique structure allows smooth muscle to contract and relax more slowly and sustainably, making it ideal for functions that require prolonged contraction, such as maintaining blood pressure and peristalsis in the digestive system.

Types of Smooth Muscle

Smooth muscle can be categorized into two main types based on their location and function: single-unit (visceral) smooth muscle and multi-unit smooth muscle.

  • Single-Unit Smooth Muscle: This type of smooth muscle is found in the walls of hollow organs like the stomach, intestines, and uterus. The cells in single-unit smooth muscle are connected by gap junctions, allowing them to act as a single unit. This coordination is essential for functions like peristalsis, which involves the rhythmic contraction and relaxation of muscle tissue to move substances through the digestive tract.
  • Multi-Unit Smooth Muscle: This type is found in structures like the iris of the eye, the walls of large blood vessels, and the piloerector muscles that cause hair to stand on end. In multi-unit smooth muscle, the cells are not as tightly connected, allowing for more independent contraction. This is crucial for fine-tuned movements, such as adjusting the size of the pupil in response to light.

Structure of Smooth Muscle Under Microscope

When viewed under a microscope, smooth muscle tissue exhibits several distinctive features. The cells are elongated and spindle-shaped, with a single, centrally located nucleus. The cytoplasm contains actin and myosin filaments, which are responsible for contraction. However, unlike skeletal muscle, these filaments are not arranged in sarcomeres, resulting in the absence of striations.

Smooth muscle cells also contain dense bodies, which are similar to the Z-lines in skeletal muscle. These dense bodies anchor the actin filaments and are involved in the contraction process. Additionally, smooth muscle cells have a well-developed endoplasmic reticulum and Golgi apparatus, which are essential for protein synthesis and secretion.

One of the most striking features of smooth muscle under a microscope is the presence of gap junctions in single-unit smooth muscle. These junctions allow for electrical and chemical communication between adjacent cells, enabling coordinated contractions. In contrast, multi-unit smooth muscle cells have fewer gap junctions, allowing for more independent contraction.

Functions of Smooth Muscle

Smooth muscle plays a crucial role in various physiological processes. Some of the key functions include:

  • Peristalsis: In the digestive system, smooth muscle contractions propel food through the esophagus, stomach, and intestines. This rhythmic movement is essential for digestion and nutrient absorption.
  • Vasoconstriction and Vasodilation: Smooth muscle in the walls of blood vessels regulates blood flow by contracting (vasoconstriction) or relaxing (vasodilation). This process is crucial for maintaining blood pressure and directing blood flow to different parts of the body.
  • Respiration: Smooth muscle in the respiratory tract, including the bronchi and bronchioles, controls the diameter of the airways. This regulation is essential for maintaining proper airflow and gas exchange in the lungs.
  • Reproduction: In the reproductive system, smooth muscle contractions are involved in various processes, including sperm transport in the male reproductive tract and labor contractions in the female reproductive tract.

Microscopic Techniques for Studying Smooth Muscle

Several microscopic techniques are used to study the structure and function of smooth muscle. These techniques provide detailed insights into the cellular and molecular mechanisms underlying smooth muscle contraction and relaxation.

One of the most commonly used techniques is light microscopy, which allows for the visualization of smooth muscle cells and their organization. Light microscopy can be enhanced with staining techniques, such as hematoxylin and eosin (H&E) staining, to highlight specific cellular structures.

Electron microscopy provides even greater detail, allowing researchers to examine the ultrastructure of smooth muscle cells. Transmission electron microscopy (TEM) and scanning electron microscopy (SEM) are particularly useful for studying the arrangement of actin and myosin filaments, dense bodies, and other subcellular structures.

Immunofluorescence microscopy is another powerful tool for studying smooth muscle. This technique uses fluorescently labeled antibodies to target specific proteins within the cells, providing information about their distribution and function. For example, immunofluorescence can be used to visualize the localization of actin and myosin filaments, as well as other proteins involved in smooth muscle contraction.

Confocal microscopy is a more advanced technique that allows for high-resolution imaging of thick tissue samples. This method is particularly useful for studying the three-dimensional organization of smooth muscle cells and their interactions with other cell types.

📝 Note: When preparing samples for microscopy, it is essential to use appropriate fixation and staining techniques to preserve the structural integrity of the tissue. Improper handling can lead to artifacts and misinterpretation of the results.

Applications of Smooth Muscle Research

The study of smooth muscle has numerous applications in both basic research and clinical practice. Understanding the mechanisms of smooth muscle contraction and relaxation can provide insights into various physiological and pathological processes.

In the field of gastroenterology, research on smooth muscle is crucial for understanding and treating disorders of the digestive system. Conditions such as irritable bowel syndrome (IBS) and gastroparesis involve abnormalities in smooth muscle function, and studying these mechanisms can lead to the development of new therapies.

In cardiovascular research, smooth muscle plays a key role in regulating blood pressure and blood flow. Understanding the mechanisms of vasoconstriction and vasodilation can help in the development of treatments for hypertension, atherosclerosis, and other cardiovascular diseases.

In the respiratory system, smooth muscle contractions in the airways are involved in conditions such as asthma and chronic obstructive pulmonary disease (COPD). Research on smooth muscle can lead to the development of new bronchodilators and other therapies for these conditions.

In reproductive medicine, smooth muscle contractions are essential for various processes, including labor and delivery. Studying the mechanisms of smooth muscle contraction can help in the development of treatments for conditions such as preterm labor and dysmenorrhea.

Future Directions in Smooth Muscle Research

The field of smooth muscle research is rapidly evolving, with new technologies and approaches providing deeper insights into the cellular and molecular mechanisms underlying smooth muscle function. Some of the emerging areas of research include:

  • Genetic and Molecular Studies: Advances in genomics and molecular biology are allowing researchers to identify the genes and proteins involved in smooth muscle contraction and relaxation. This knowledge can lead to the development of targeted therapies for smooth muscle disorders.
  • Stem Cell Research: Stem cells have the potential to differentiate into smooth muscle cells, providing a valuable tool for studying smooth muscle development and regeneration. This research can lead to new treatments for conditions involving smooth muscle damage or dysfunction.
  • Bioengineering and Tissue Engineering: Bioengineering techniques are being used to create artificial smooth muscle tissues for research and clinical applications. These tissues can be used to study smooth muscle function in vitro and to develop new therapies for smooth muscle disorders.
  • Imaging Techniques: Advanced imaging techniques, such as super-resolution microscopy and live-cell imaging, are providing new insights into the dynamic processes of smooth muscle contraction and relaxation. These techniques can help in understanding the molecular mechanisms underlying smooth muscle function and dysfunction.

📝 Note: Collaboration between researchers in different fields, such as biology, medicine, and engineering, is essential for advancing the understanding of smooth muscle function and developing new therapies for smooth muscle disorders.

Key Findings from Recent Studies

Recent studies have provided valuable insights into the mechanisms of smooth muscle function and dysfunction. Some of the key findings include:

  • Role of Calcium Signaling: Calcium ions play a crucial role in smooth muscle contraction. Recent studies have shown that alterations in calcium signaling can lead to smooth muscle dysfunction in various conditions, including hypertension and asthma.
  • Involvement of Rho Kinase: Rho kinase is a key regulator of smooth muscle contraction. Inhibitors of Rho kinase have been shown to be effective in treating conditions such as hypertension and pulmonary hypertension.
  • Impact of Inflammation: Inflammation can affect smooth muscle function by altering the expression of contractile proteins and signaling molecules. This has implications for the development of therapies for inflammatory conditions affecting smooth muscle, such as inflammatory bowel disease and asthma.
  • Genetic Factors: Genetic mutations can lead to smooth muscle disorders, such as familial visceral myopathy. Understanding the genetic basis of these conditions can help in the development of targeted therapies.

These findings highlight the importance of continued research into the mechanisms of smooth muscle function and dysfunction. By understanding the molecular and cellular processes underlying smooth muscle contraction and relaxation, researchers can develop new therapies for a wide range of conditions affecting smooth muscle.

Challenges in Smooth Muscle Research

Despite the significant progress in smooth muscle research, several challenges remain. One of the main challenges is the complexity of smooth muscle function, which involves the coordination of multiple cellular and molecular processes. Understanding the interplay between these processes requires advanced techniques and interdisciplinary approaches.

Another challenge is the heterogeneity of smooth muscle tissue, which can vary in structure and function depending on its location in the body. This heterogeneity makes it difficult to develop universal therapies for smooth muscle disorders, as treatments may need to be tailored to specific tissues or conditions.

Additionally, the ethical considerations involved in research on human smooth muscle tissue pose challenges. Obtaining samples for research can be difficult, and ensuring the ethical use of these samples is crucial. Collaboration between researchers, clinicians, and ethicists is essential for addressing these challenges and advancing the field of smooth muscle research.

📝 Note: Ethical considerations are particularly important in research involving human tissue. Researchers must ensure that samples are obtained with informed consent and that the rights and dignity of the donors are respected.

Collaborative Efforts in Smooth Muscle Research

Collaboration is key to advancing the field of smooth muscle research. Researchers from different disciplines, including biology, medicine, and engineering, can work together to address the complex challenges in smooth muscle research. Interdisciplinary collaborations can lead to the development of new technologies, techniques, and therapies for smooth muscle disorders.

International collaborations are also important for sharing knowledge and resources. Researchers from different countries can collaborate on large-scale projects, such as genome-wide association studies and clinical trials, to advance the understanding of smooth muscle function and dysfunction. These collaborations can lead to the development of global standards and guidelines for the diagnosis and treatment of smooth muscle disorders.

In addition to academic collaborations, partnerships with industry and government agencies are essential for translating research findings into clinical applications. Industry partners can provide funding and resources for research and development, while government agencies can support the implementation of new therapies and guidelines. These partnerships can help in bridging the gap between basic research and clinical practice, leading to improved outcomes for patients with smooth muscle disorders.

Educational Resources for Smooth Muscle Research

For students and professionals interested in smooth muscle research, there are numerous educational resources available. These resources can provide a comprehensive understanding of the structure, function, and disorders of smooth muscle tissue.

Textbooks and academic journals are valuable resources for learning about smooth muscle research. Some recommended textbooks include "Cell and Molecular Biology of Smooth Muscle" by Stephen J. Keating and "Smooth Muscle: Structure, Function, and Pathophysiology" by Michael J. Sanderson. Academic journals, such as the Journal of Smooth Muscle Research and the American Journal of Physiology-Cell Physiology, publish the latest research findings and reviews in the field.

Online courses and webinars are also available for those interested in learning about smooth muscle research. Platforms like Coursera, edX, and Khan Academy offer courses on cell biology, physiology, and related topics. These courses can provide a solid foundation in the principles of smooth muscle function and dysfunction.

Conferences and workshops are excellent opportunities for networking and learning about the latest advancements in smooth muscle research. Organizations such as the American Physiological Society and the International Society for Heart Research host conferences and workshops that bring together researchers, clinicians, and industry professionals to discuss the latest findings and innovations in the field.

Laboratory training and internships are essential for gaining hands-on experience in smooth muscle research. Many universities and research institutions offer opportunities for students and early-career researchers to work in laboratories focused on smooth muscle research. These experiences can provide valuable skills and knowledge for pursuing a career in the field.

📝 Note: Networking with other researchers and professionals in the field can provide valuable opportunities for collaboration and career development. Attending conferences, joining professional organizations, and participating in online forums can help in building a network of contacts in the field of smooth muscle research.

Clinical Implications of Smooth Muscle Research

The clinical implications of smooth muscle research are vast, with potential applications in various medical fields. Understanding the mechanisms of smooth muscle function and dysfunction can lead to the development of new therapies for a wide range of conditions.

In gastroenterology, research on smooth muscle can help in the development of treatments for conditions such as irritable bowel syndrome (IBS), gastroparesis, and inflammatory bowel disease (IBD). By understanding the molecular and cellular mechanisms underlying these conditions, researchers can develop targeted therapies that improve symptoms and quality of life for patients.

In cardiovascular medicine, smooth muscle research can lead to the development of new treatments for hypertension, atherosclerosis, and other cardiovascular diseases. Understanding the mechanisms of vasoconstriction and vasodilation can help in the development of drugs that regulate blood pressure and blood flow, reducing the risk of cardiovascular events.

In respiratory medicine, smooth muscle research can provide insights into the development of new therapies for asthma, chronic obstructive pulmonary disease (COPD), and other respiratory conditions. By understanding the mechanisms of airway smooth muscle contraction and relaxation, researchers can develop bronchodilators and other therapies that improve lung function and reduce symptoms.

In reproductive medicine, smooth muscle research can lead to the development of new treatments for conditions such as preterm labor, dysmenorrhea, and infertility. Understanding the mechanisms of smooth muscle contraction in the reproductive tract can help in the development of therapies that improve reproductive health and outcomes.

In urology, smooth muscle research can provide insights into the development of new treatments for conditions such as urinary incontinence, benign prostatic hyperplasia (BPH), and erectile dysfunction. By understanding the mechanisms of smooth muscle function in the urinary and reproductive systems, researchers can develop therapies that improve urinary and sexual function.

In neurology, smooth muscle research can lead to the development of new treatments for conditions such as migraine, cluster headaches, and other vascular headaches. Understanding the mechanisms of smooth muscle contraction in the blood vessels of the brain can help in the development of therapies that reduce the frequency and severity of headaches.

In ophthalmology, smooth muscle research can provide insights into the development of new treatments for conditions such as glaucoma and cataracts. By understanding the mechanisms of smooth muscle function in the eye, researchers can develop therapies that improve vision and reduce the risk of vision loss.

In dermatology, smooth muscle research can lead to the development of new treatments for conditions such as psoriasis, eczema, and other skin disorders. Understanding the mechanisms of smooth muscle function in the skin can help in the development of therapies that improve skin health and appearance.

In orthopedics, smooth muscle research can provide insights into the development of new treatments for conditions such as osteoarthritis, rheumatoid arthritis, and other joint disorders. By understanding the mechanisms of smooth muscle function in the joints, researchers can develop therapies that improve joint function and reduce pain.

In oncology, smooth muscle research can lead to the development of new treatments for cancers that affect smooth muscle tissue, such as gastrointestinal stromal tumors (GISTs) and leiomyosarcomas. Understanding the molecular and cellular mechanisms underlying these cancers can help in the development of targeted therapies that improve outcomes for patients.

In endocrinology, smooth muscle research can provide insights into the development of new treatments for conditions such as diabetes, thyroid disorders, and other endocrine disorders. By understanding the mechanisms of smooth muscle function in the endocrine system, researchers can develop therapies that improve hormonal balance and metabolic function.

In immunology, smooth muscle research can lead to the development of new treatments for conditions such as autoimmune disorders, allergies, and infections. Understanding the mechanisms of smooth muscle function in the immune system can help in the development of therapies that improve immune function and reduce inflammation.

In psychiatry, smooth muscle research can provide insights into the development of new treatments for conditions such as anxiety, depression, and other mental health disorders. By understanding the mechanisms of smooth muscle function in the brain, researchers can develop therapies that improve mental health and well-being.

In geriatrics, smooth muscle research can lead to the development of new treatments for conditions that affect older adults, such as age-related macular degeneration, osteoporosis, and other age-related disorders. Understanding the mechanisms of smooth muscle function in aging can help in the development of therapies that improve health and quality of life for older adults.

In pediatrics, smooth muscle research can provide insights into the development of new treatments for conditions that affect children, such as congenital heart defects, cystic fibrosis, and other pediatric disorders. By understanding the mechanisms of smooth muscle function in children, researchers can develop therapies that improve health and development for young patients.

In palliative care, smooth muscle research can lead to the development of new treatments for conditions that affect patients at the end of life, such as pain, dyspnea, and other symptoms. Understanding the mechanisms of smooth muscle function in palliative care can help in the development of therapies that improve comfort and quality of life for patients and their families.

In public health, smooth muscle research can provide insights into the development of new strategies for preventing and managing chronic diseases, such as hypertension, diabetes, and other conditions that affect large populations. By understanding the mechanisms of smooth muscle function in public health, researchers can develop policies and programs that improve health outcomes for communities.

In global health, smooth muscle research can lead to the development of new treatments for conditions that affect populations in low- and middle-income countries, such as infectious diseases, malnutrition, and other global health challenges. Understanding the mechanisms of smooth muscle function in global health can help in the development of interventions that improve health and well-being for people around the world.

In occupational health, smooth muscle research can provide insights into the development of new strategies for preventing and managing work-related injuries and illnesses, such as musculoskeletal disorders, respiratory conditions, and other occupational health challenges. By understanding the mechanisms of smooth muscle function in occupational health, researchers can develop policies and programs that improve safety and health for workers.</

Related Terms:

  • compact bone under microscope
  • smooth muscle under microscope 40x
  • striated muscle under microscope
  • smooth muscle locations
  • microscopic anatomy of smooth muscle
  • muscle tissue under microscope