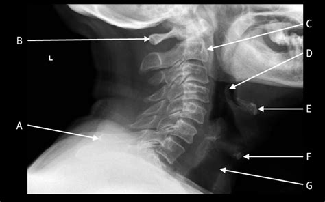
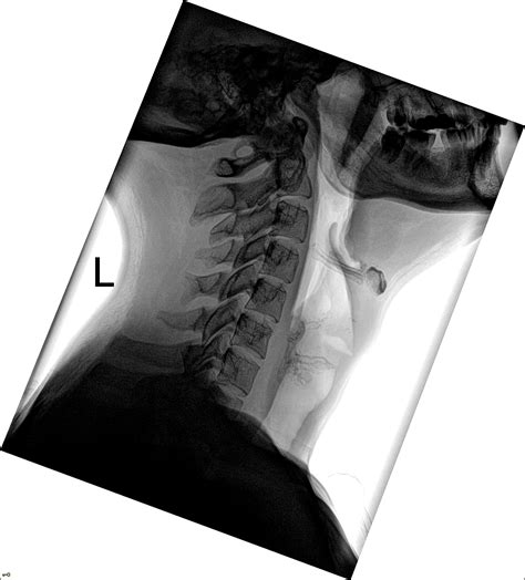
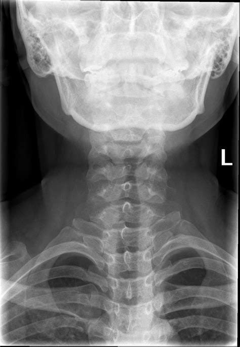
Soft Tissue Neck Xray

Soft Tissue Neck Xray

Understanding the importance of a Soft Tissue Neck Xray is crucial for both medical professionals and patients. This diagnostic tool plays a pivotal role in identifying various conditions that affect the soft tissues of the neck, including infections, tumors, and injuries. By providing detailed images of the neck's soft tissues, this type of X-ray helps in accurate diagnosis and effective treatment planning.

What is a Soft Tissue Neck Xray?

A Soft Tissue Neck Xray is a medical imaging technique that uses low-dose X-rays to produce images of the soft tissues in the neck region. Unlike traditional X-rays that focus on bones, a soft tissue X-ray is designed to visualize structures such as muscles, tendons, and ligaments. This makes it an invaluable tool for diagnosing conditions that do not involve bone abnormalities.

A Soft Tissue Neck Xray is often recommended in several scenarios:

  • Infections: To detect abscesses or other signs of infection in the neck.
  • Tumors: To identify the presence of tumors or masses in the soft tissues.
  • Injuries: To assess the extent of injuries, such as those resulting from trauma or accidents.
  • Swelling: To investigate the cause of unexplained swelling in the neck area.
  • Foreign Bodies: To locate and identify foreign objects that may have been ingested or lodged in the neck.

Preparation for a Soft Tissue Neck Xray

Preparing for a Soft Tissue Neck Xray is relatively straightforward. Patients are typically advised to:

  • Remove any jewelry or metal objects from the neck area, as these can interfere with the X-ray images.
  • Inform the radiologist about any recent surgeries, allergies, or medical conditions.
  • Follow any specific instructions provided by the healthcare provider, such as fasting or avoiding certain medications.

The Procedure

The procedure for a Soft Tissue Neck Xray is quick and painless. Here are the steps involved:

  • The patient is positioned comfortably on an X-ray table, usually lying on their back or sitting upright.
  • The radiologist or technician will position the X-ray machine to capture images of the neck from different angles.
  • The patient may be asked to hold their breath briefly to minimize movement and ensure clear images.
  • The X-ray machine emits a low-dose radiation beam that passes through the neck tissues and is captured on a digital detector.
  • The entire process typically takes only a few minutes.

📝 Note: Patients should inform the radiologist if they are pregnant, as X-rays can potentially harm a developing fetus.

Interpreting the Results

Interpreting the results of a Soft Tissue Neck Xray requires expertise in radiology. The radiologist will examine the images for any abnormalities, such as:

  • Inflammation or infection
  • Tumors or masses
  • Foreign bodies
  • Swelling or fluid accumulation

The radiologist will then prepare a report detailing their findings and send it to the referring physician, who will discuss the results with the patient and recommend appropriate treatment.

Common Conditions Detected by Soft Tissue Neck Xray

A Soft Tissue Neck Xray can help diagnose a variety of conditions, including:

  • Abscesses: Collections of pus that can form due to bacterial infections.
  • Lymphadenopathy: Enlargement of the lymph nodes, which can indicate infection or cancer.
  • Thyroid Disorders: Conditions affecting the thyroid gland, such as goiters or nodules.
  • Trauma: Injuries to the soft tissues, such as muscle strains or tendon tears.
  • Foreign Bodies: Objects that may have been ingested or lodged in the neck.

Benefits of Soft Tissue Neck Xray

The benefits of a Soft Tissue Neck Xray include:

  • Non-Invasive: The procedure is painless and does not require any incisions or injections.
  • Quick: The entire process takes only a few minutes.
  • Accurate: Provides detailed images of the soft tissues, aiding in accurate diagnosis.
  • Cost-Effective: Generally more affordable compared to other imaging techniques like MRI or CT scans.

Limitations of Soft Tissue Neck Xray

While a Soft Tissue Neck Xray is a valuable diagnostic tool, it does have some limitations:

  • Limited Detail: May not provide as much detail as other imaging techniques like MRI or CT scans.
  • Radiation Exposure: Involves exposure to low-dose radiation, which can be a concern for some patients.
  • Interpretation: Requires expertise in radiology for accurate interpretation.

Alternative Imaging Techniques

In some cases, alternative imaging techniques may be recommended instead of or in addition to a Soft Tissue Neck Xray. These include:

  • Magnetic Resonance Imaging (MRI): Provides detailed images of soft tissues without radiation exposure.
  • Computed Tomography (CT) Scan: Offers cross-sectional images of the neck, useful for detecting complex structures.
  • Ultrasound: Uses sound waves to produce images of soft tissues, useful for real-time imaging and guiding procedures.

Conclusion

A Soft Tissue Neck Xray is a crucial diagnostic tool that provides valuable insights into the health of the neck’s soft tissues. By offering detailed images, it aids in the accurate diagnosis of various conditions, including infections, tumors, and injuries. While it has some limitations, its non-invasive nature, quick procedure time, and cost-effectiveness make it a preferred choice for many healthcare providers. Understanding the benefits and limitations of a Soft Tissue Neck Xray can help patients and medical professionals make informed decisions about their healthcare needs.

Related Terms:

  • soft tissue neck xray protocol
  • soft tissue neck xray positioning
  • soft tissue neck mri
  • soft tissue neck xray position
  • soft tissue neck anatomy xray
  • soft tissue neck xray breathing