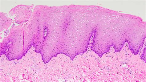
Squamous Metaplasia Cells

Squamous Metaplasia Cells

Squamous metaplasia is a fascinating and important topic in the field of pathology and cellular biology. It refers to the transformation of one type of epithelial tissue into another, specifically the conversion of columnar or cuboidal epithelium into squamous epithelium. This process is often a response to chronic irritation, inflammation, or other forms of cellular stress. Understanding squamous metaplasia cells and their implications is crucial for diagnosing and managing various medical conditions.

Understanding Squamous Metaplasia

Squamous metaplasia is a reversible change where the normal epithelial cells of an organ are replaced by squamous cells. This transformation can occur in various parts of the body, including the respiratory tract, urinary tract, and gastrointestinal tract. The process is typically a protective mechanism aimed at enhancing the tissue's resistance to injury or irritation.

Causes of Squamous Metaplasia

Several factors can trigger squamous metaplasia. Some of the most common causes include:

  • Chronic Inflammation: Persistent inflammation can lead to the replacement of normal epithelial cells with squamous cells.
  • Infection: Certain infections, such as those caused by bacteria or viruses, can induce squamous metaplasia.
  • Chemical Irritants: Exposure to chemicals, such as those found in cigarette smoke, can cause squamous metaplasia in the respiratory tract.
  • Mechanical Stress: Repeated mechanical stress or trauma to epithelial tissues can also lead to this transformation.

Types of Squamous Metaplasia

Squamous metaplasia can be classified into different types based on the location and the specific cells involved. Some of the most common types include:

  • Respiratory Squamous Metaplasia: This occurs in the respiratory tract, often due to smoking or exposure to environmental pollutants.
  • Urinary Squamous Metaplasia: Found in the urinary tract, this type is often associated with chronic urinary tract infections or the presence of urinary stones.
  • Gastrointestinal Squamous Metaplasia: This can occur in the esophagus, stomach, or intestines, often as a result of chronic inflammation or infection.

Diagnosis of Squamous Metaplasia

Diagnosing squamous metaplasia typically involves a combination of clinical evaluation and laboratory tests. The most common diagnostic methods include:

  • Biopsy: A tissue sample is taken from the affected area and examined under a microscope to identify the presence of squamous metaplasia cells.
  • Imaging Studies: Techniques such as X-rays, CT scans, or MRI can help visualize the affected area and assess the extent of the metaplasia.
  • Endoscopy: This procedure allows for direct visualization of the affected tissue and can be used to take biopsies.

Clinical Significance of Squamous Metaplasia

Squamous metaplasia can have significant clinical implications. While it is often a benign and reversible process, it can sometimes be associated with more serious conditions. For example, squamous metaplasia in the respiratory tract is a known risk factor for the development of squamous cell carcinoma. Similarly, squamous metaplasia in the urinary tract can be a precursor to bladder cancer.

It is essential for healthcare providers to recognize the signs of squamous metaplasia and to monitor patients closely for any signs of progression to more serious conditions. Early detection and intervention can significantly improve patient outcomes.

Treatment Options for Squamous Metaplasia

The treatment of squamous metaplasia depends on the underlying cause and the severity of the condition. Some common treatment options include:

  • Lifestyle Modifications: For conditions related to smoking or environmental pollutants, quitting smoking and avoiding exposure to irritants can help reverse the metaplasia.
  • Medications: Anti-inflammatory drugs, antibiotics, or other medications may be prescribed to treat underlying infections or inflammation.
  • Surgical Intervention: In some cases, surgical removal of the affected tissue may be necessary, especially if there is a risk of malignant transformation.

Prevention of Squamous Metaplasia

Preventing squamous metaplasia involves addressing the underlying risk factors. Some key preventive measures include:

  • Avoiding Smoking: Quitting smoking or avoiding exposure to secondhand smoke can significantly reduce the risk of respiratory squamous metaplasia.
  • Maintaining Good Hygiene: Practicing good hygiene, especially in the urinary tract, can help prevent infections that may lead to squamous metaplasia.
  • Regular Check-ups: Regular medical check-ups and screenings can help detect squamous metaplasia early, allowing for timely intervention.

Research and Future Directions

Ongoing research is focused on understanding the molecular mechanisms underlying squamous metaplasia and developing more effective treatments. Some areas of active research include:

  • Genetic Factors: Identifying genetic mutations and alterations that contribute to squamous metaplasia.
  • Biomarkers: Developing biomarkers for early detection and monitoring of squamous metaplasia.
  • Novel Therapies: Exploring new therapeutic approaches, such as targeted therapies and immunotherapies, to treat squamous metaplasia and its associated conditions.

As our understanding of squamous metaplasia cells and their behavior continues to grow, so too will our ability to diagnose, treat, and prevent this condition.

🔍 Note: It is important to consult with a healthcare provider for personalized advice and treatment options related to squamous metaplasia.

Squamous metaplasia is a complex and multifaceted process that plays a crucial role in various medical conditions. By understanding the causes, types, and clinical significance of squamous metaplasia, healthcare providers can better diagnose and manage this condition. Early detection and intervention are key to preventing the progression of squamous metaplasia to more serious conditions, such as cancer. Ongoing research and advancements in treatment options offer hope for improved patient outcomes in the future.

Related Terms:

  • squamous metaplastic cells endocervical
  • are squamous metaplastic cells normal
  • squamous metaplasia of endocervix
  • squamous metaplasia present
  • squamous metaplasia on pap
  • squamous metaplasia causes