Trochanteric Fixation Nail

Trochanteric Fixation Nail

Orthopedic surgery has seen significant advancements over the years, with innovative techniques and tools continually improving patient outcomes. One such innovation is the Trochanteric Fixation Nail (TFN), a specialized implant designed to treat specific types of hip fractures. This blog post delves into the intricacies of the Trochanteric Fixation Nail, its applications, benefits, and the surgical procedures involved.

Understanding the Trochanteric Fixation Nail

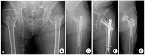
The Trochanteric Fixation Nail (TFN) is a type of intramedullary nail used primarily for the treatment of intertrochanteric and subtrochanteric fractures of the femur. These fractures are common in elderly patients, often resulting from falls or other traumatic events. The TFN is designed to provide stable fixation, allowing for early mobilization and rehabilitation.

Applications of the Trochanteric Fixation Nail

The TFN is particularly effective in treating the following types of fractures:

  • Intertrochanteric Fractures: These occur between the greater and lesser trochanters of the femur.
  • Subtrochanteric Fractures: These occur just below the lesser trochanter.
  • Reverse Oblique Fractures: These are a specific type of intertrochanteric fracture that runs from the medial to the lateral cortex.

The TFN's design allows for precise placement and secure fixation, making it a preferred choice for these complex fractures.

Benefits of the Trochanteric Fixation Nail

The Trochanteric Fixation Nail offers several advantages over traditional methods of fracture fixation:

  • Minimally Invasive: The procedure involves a smaller incision, reducing tissue damage and postoperative pain.
  • Stable Fixation: The nail provides robust stability, allowing patients to bear weight sooner and reducing the risk of nonunion or malunion.
  • Early Mobilization: Patients can often begin physical therapy and rehabilitation sooner, leading to faster recovery times.
  • Reduced Complications: The TFN helps minimize complications such as infection, blood loss, and implant failure.

These benefits make the TFN a valuable tool in the orthopedic surgeon's arsenal, particularly for treating elderly patients with hip fractures.

Surgical Procedure for Trochanteric Fixation Nail

The surgical procedure for inserting a Trochanteric Fixation Nail involves several key steps:

  1. Preoperative Planning: Detailed imaging, such as X-rays or CT scans, is used to assess the fracture pattern and plan the surgical approach.
  2. Patient Positioning: The patient is typically positioned supine on a fracture table, allowing for fluoroscopic imaging during the procedure.
  3. Incision and Approach: A small incision is made over the greater trochanter, and the fracture site is exposed.
  4. Nail Insertion: The TFN is inserted into the medullary canal of the femur, crossing the fracture site.
  5. Proximal Locking: Proximal locking screws are placed to secure the nail in the femoral head and neck.
  6. Distal Locking: Distal locking screws are inserted to stabilize the nail in the shaft of the femur.
  7. Closure: The incision is closed in layers, and a dressing is applied.

🔍 Note: The exact surgical technique may vary depending on the specific fracture pattern and the surgeon's preference.

Postoperative Care and Rehabilitation

Postoperative care and rehabilitation are crucial for a successful outcome after Trochanteric Fixation Nail surgery. Key aspects include:

  • Pain Management: Effective pain control is essential to facilitate early mobilization.
  • Physical Therapy: A structured physical therapy program helps restore range of motion, strength, and function.
  • Weight-Bearing Status: Patients are often allowed to bear weight as tolerated, depending on the stability of the fixation.
  • Follow-Up Care: Regular follow-up appointments are necessary to monitor healing and ensure proper alignment.

Adherence to the rehabilitation protocol is vital for achieving the best possible outcome.

Complications and Risks

While the Trochanteric Fixation Nail is generally safe and effective, there are potential complications and risks to be aware of:

  • Infection: As with any surgical procedure, there is a risk of infection.
  • Implant Failure: Although rare, the nail or screws may fail, requiring revision surgery.
  • Nonunion or Malunion: The fracture may not heal properly, leading to nonunion or malunion.
  • Neurovascular Injury: There is a small risk of injury to nearby nerves or blood vessels.

Surgeons take precautions to minimize these risks, but patients should be informed of the potential complications before undergoing the procedure.

Comparative Analysis with Other Fixation Methods

Several fixation methods are available for treating hip fractures, each with its own advantages and disadvantages. A comparative analysis of the Trochanteric Fixation Nail with other common methods is as follows:

Fixation Method Advantages Disadvantages
Dynamic Hip Screw (DHS) Simple to use, effective for stable fractures Less stable for unstable fractures, higher risk of cut-out
Proximal Femoral Nail (PFN) Minimally invasive, stable fixation More complex to insert, higher cost
Trochanteric Fixation Nail (TFN) Minimally invasive, stable fixation, early mobilization More complex to insert, higher cost
Cemented Hemiarthroplasty Immediate stability, good for elderly patients with poor bone quality More invasive, longer recovery time

The choice of fixation method depends on various factors, including the fracture pattern, patient age, bone quality, and surgeon preference.

Case Studies and Clinical Outcomes

Several case studies and clinical outcomes have demonstrated the effectiveness of the Trochanteric Fixation Nail in treating hip fractures. For example, a study published in the Journal of Orthopaedic Trauma reported high union rates and low complication rates in patients treated with the TFN. Another study highlighted the benefits of early mobilization and reduced hospital stays in patients undergoing TFN surgery.

These studies underscore the clinical efficacy of the TFN and its role in improving patient outcomes.

Future Directions and Innovations

The field of orthopedic surgery is continually evolving, and the Trochanteric Fixation Nail is no exception. Future directions and innovations in TFN technology may include:

  • Biomaterial Advances: Development of new biomaterials that enhance bone healing and integration.
  • Minimally Invasive Techniques: Further refinement of surgical techniques to minimize tissue damage and accelerate recovery.
  • Customized Implants: Use of 3D printing and other advanced manufacturing techniques to create customized implants tailored to individual patients.

These advancements hold promise for even better outcomes and improved patient care.

In summary, the Trochanteric Fixation Nail represents a significant advancement in the treatment of hip fractures. Its design, benefits, and surgical techniques make it a valuable tool for orthopedic surgeons. With proper postoperative care and rehabilitation, patients can achieve excellent outcomes and return to their daily activities with improved mobility and quality of life.

Related Terms:

  • trochanteric femoral nail surgery
  • trochanteric fixation nail surgery
  • right trochanteric fixation nail
  • trochanteric fixation screws
  • trochanteric fixation nail advanced
  • synthes trochanteric femoral nail