Ulna Broken Bone

Ulna Broken Bone

An ulna broken bone is a serious injury that requires immediate medical attention. The ulna is one of the two long bones in the forearm, the other being the radius. It runs from the elbow to the wrist and plays a crucial role in the movement and stability of the arm. Understanding the causes, symptoms, diagnosis, and treatment of an ulna broken bone is essential for anyone who may experience this injury or know someone who has.

Causes of an Ulna Broken Bone

An ulna broken bone can occur due to various reasons, including:

  • Trauma: Direct impact or trauma to the forearm, such as a fall or a blow, can cause the ulna to fracture.
  • Sports Injuries: High-impact sports like football, basketball, or skiing can lead to ulna fractures.
  • Motor Vehicle Accidents: The force of a car crash can result in severe fractures, including those to the ulna.
  • Osteoporosis: Weakened bones due to conditions like osteoporosis can increase the risk of fractures, even from minor injuries.

Symptoms of an Ulna Broken Bone

Recognizing the symptoms of an ulna broken bone is crucial for prompt treatment. Common symptoms include:

  • Pain: Severe pain in the forearm, especially when moving the arm or applying pressure.
  • Swelling: Rapid swelling around the injured area.
  • Bruising: Discoloration or bruising around the forearm.
  • Deformity: Visible deformity or misalignment of the forearm.
  • Limited Mobility: Difficulty moving the arm or wrist.
  • Numbness or Tingling: Sensations of numbness or tingling in the hand or fingers.

If you experience any of these symptoms after an injury, it is important to seek medical attention immediately.

Diagnosing an Ulna Broken Bone

Diagnosing an ulna broken bone involves a thorough medical examination and diagnostic tests. The process typically includes:

  • Medical History: The doctor will ask about the injury, symptoms, and any pre-existing conditions.
  • Physical Examination: The doctor will examine the injured area, checking for swelling, deformity, and tenderness.
  • Imaging Tests: X-rays are the primary diagnostic tool for identifying fractures. In some cases, additional imaging tests like CT scans or MRIs may be required for a more detailed view.

Imaging tests are crucial for determining the type and severity of the fracture, which will guide the treatment plan.

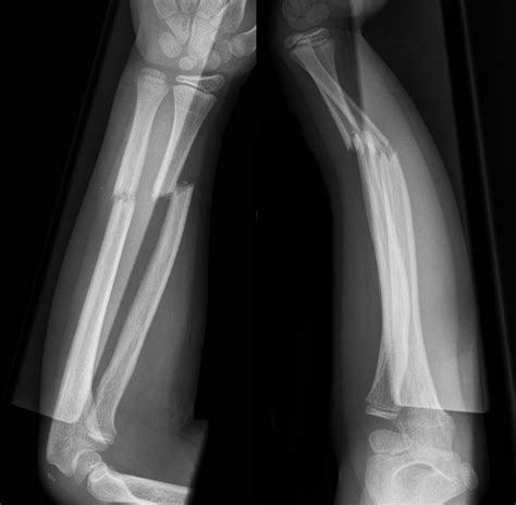
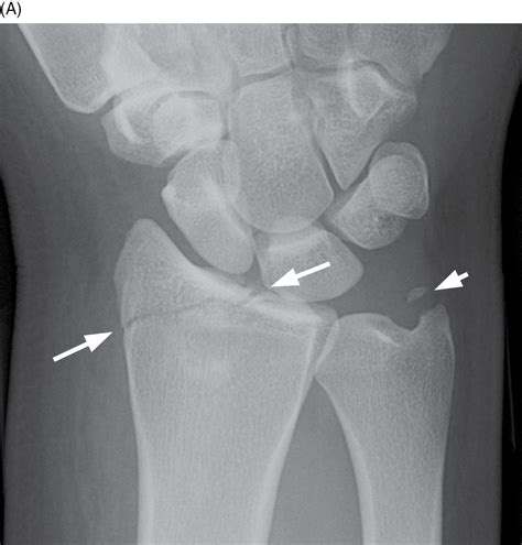
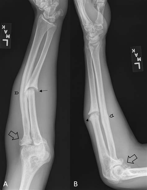
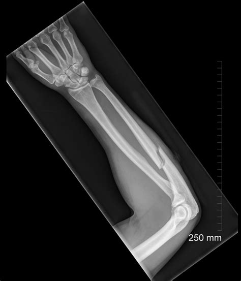
Types of Ulna Fractures

Ulna fractures can be classified into different types based on their location and pattern. Common types include:

  • Proximal Ulna Fracture: Occurs near the elbow joint.
  • Midshaft Ulna Fracture: Occurs in the middle of the ulna.
  • Distal Ulna Fracture: Occurs near the wrist joint.
  • Open Fracture: The bone breaks through the skin, increasing the risk of infection.
  • Closed Fracture: The bone breaks but does not penetrate the skin.
  • Comminuted Fracture: The bone shatters into multiple pieces.
  • Greenstick Fracture: Common in children, where the bone bends and partially breaks.

Each type of fracture requires a specific approach to treatment, which will be determined by the healthcare provider.

Treatment Options for an Ulna Broken Bone

The treatment for an ulna broken bone depends on the type and severity of the fracture. Common treatment options include:

Non-Surgical Treatment

For less severe fractures, non-surgical treatment may be sufficient. This includes:

  • Immobilization: Using a cast, splint, or brace to keep the arm immobile and promote healing.
  • Pain Management: Medications to manage pain and inflammation.
  • Physical Therapy: Exercises to restore range of motion and strength once the fracture has healed.

Surgical Treatment

For more severe fractures, surgery may be necessary. Surgical options include:

  • Open Reduction and Internal Fixation (ORIF): The bone is realigned and held in place with plates, screws, or rods.
  • External Fixation: Metal pins or screws are inserted into the bone and connected to an external frame to stabilize the fracture.
  • Bone Grafting: In cases of severe fractures, bone grafting may be required to promote healing.

Surgery is typically followed by a period of immobilization and physical therapy to ensure proper healing and restoration of function.

Recovery and Rehabilitation

Recovery from an ulna broken bone can take several weeks to months, depending on the severity of the fracture and the type of treatment. The rehabilitation process typically includes:

  • Immobilization Period: The arm is kept immobile for a specified period to allow the bone to heal.
  • Gradual Mobilization: Slowly reintroducing movement to the arm under the guidance of a physical therapist.
  • Strengthening Exercises: Exercises to build strength and flexibility in the arm and wrist.
  • Pain Management: Continued use of pain medications as needed.

It is important to follow the healthcare provider's instructions and attend all follow-up appointments to ensure proper healing.

📝 Note: Recovery times can vary, and it is essential to be patient and consistent with rehabilitation exercises.

Complications of an Ulna Broken Bone

While most ulna fractures heal without complications, there are potential risks to be aware of:

  • Infection: Especially in open fractures, there is a risk of infection.
  • Nerve Damage: Injuries to nearby nerves can cause numbness, tingling, or weakness.
  • Non-Union: The bone fails to heal properly, requiring further treatment.
  • Malunion: The bone heals in a misaligned position, affecting arm function.
  • Arthritis: Long-term complications can include arthritis in the elbow or wrist.

Regular follow-ups with the healthcare provider can help monitor for these complications and address them promptly.

Preventing Ulna Fractures

While not all ulna fractures can be prevented, there are steps you can take to reduce the risk:

  • Wear Protective Gear: Use appropriate protective gear during sports and other high-risk activities.
  • Maintain Bone Health: Ensure adequate calcium and vitamin D intake to maintain bone strength.
  • Exercise Regularly: Regular exercise can help strengthen bones and muscles.
  • Fall Prevention: Take precautions to prevent falls, especially in older adults.

By taking these precautions, you can reduce the risk of sustaining an ulna broken bone.

An ulna broken bone is a significant injury that requires prompt medical attention and proper treatment. Understanding the causes, symptoms, diagnosis, and treatment options can help ensure a successful recovery. Regular follow-ups and adherence to the rehabilitation plan are crucial for restoring arm function and preventing long-term complications. By taking preventive measures, you can reduce the risk of sustaining an ulna fracture and maintain overall bone health.

Related Terms:

  • radius vs ulna break
  • broken ulna and radius
  • treatment for fractured ulna
  • closed fracture of right ulna
  • fractured ulna symptoms
  • signs of fractured ulna