Umbilical Venous Catheter

Umbilical Venous Catheter

In the realm of neonatal intensive care, the Umbilical Venous Catheter (UVC) plays a pivotal role in providing essential medical support to newborns. This catheter is inserted into the umbilical vein, offering a direct route for administering medications, fluids, and nutrients. The UVC is particularly crucial for premature infants or those with critical health conditions, as it allows for immediate and continuous access to the circulatory system.

Understanding the Umbilical Venous Catheter

The Umbilical Venous Catheter is a thin, flexible tube that is inserted into the umbilical vein shortly after birth. This procedure is typically performed by a trained healthcare professional, such as a neonatologist or a neonatal nurse practitioner. The catheter is advanced until it reaches the inferior vena cava, providing a direct pathway to the heart and systemic circulation.

The primary functions of a Umbilical Venous Catheter include:

  • Administering intravenous fluids and medications
  • Providing parenteral nutrition
  • Monitoring central venous pressure
  • Administering blood products

Indications for Umbilical Venous Catheter Placement

The decision to place a Umbilical Venous Catheter is based on the clinical needs of the newborn. Common indications include:

  • Prematurity, especially in infants born before 32 weeks of gestation
  • Respiratory distress syndrome
  • Sepsis or suspected sepsis
  • Hypovolemic shock
  • Need for long-term parenteral nutrition
  • Cardiac anomalies requiring immediate intervention

Procedure for Umbilical Venous Catheter Insertion

The insertion of a Umbilical Venous Catheter is a delicate procedure that requires meticulous attention to detail. Here is a step-by-step overview of the process:

1. Preparation: The healthcare provider ensures that the umbilical cord stump is clean and dry. The area is then sterilized using an antiseptic solution.

2. Catheter Selection: The appropriate size and type of catheter are selected based on the infant's weight and clinical needs. Common sizes range from 3.5 French to 5 French.

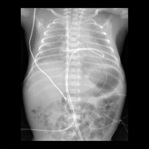
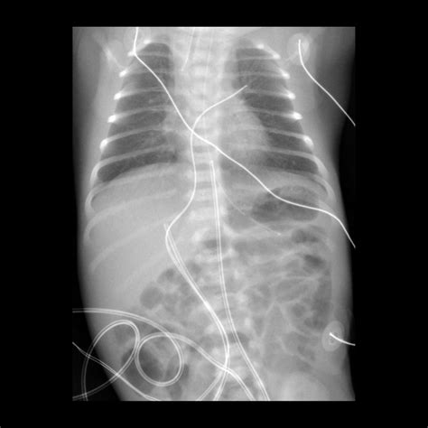
3. Insertion: The catheter is gently inserted into the umbilical vein, which is identified by its larger size and bluish color compared to the arteries. The catheter is advanced until it reaches the desired position, typically confirmed by ultrasound or X-ray.

4. Securing the Catheter: Once in place, the catheter is secured to the umbilical stump using sutures or adhesive tape. A sterile dressing is applied to prevent infection.

5. Verification: The position of the catheter is verified using imaging techniques to ensure it is correctly placed in the inferior vena cava.

📌 Note: Proper aseptic technique is crucial during the insertion process to minimize the risk of infection.

Complications and Risks

While the Umbilical Venous Catheter is a lifesaving tool, it is not without risks. Potential complications include:

  • Infection: The most common complication is catheter-related bloodstream infection, which can be life-threatening if not promptly treated.
  • Thrombosis: Blood clots can form around the catheter, leading to vascular occlusion or embolism.
  • Perforation: The catheter can perforate the vein or heart, causing bleeding or pericardial effusion.
  • Malposition: Incorrect placement of the catheter can lead to ineffective therapy or complications such as arrhythmias.

To mitigate these risks, healthcare providers must adhere to strict protocols for insertion, maintenance, and monitoring of the Umbilical Venous Catheter. Regular assessment of the catheter site, prompt removal if signs of infection are detected, and careful monitoring of the infant's vital signs are essential.

Maintenance and Care

Maintaining the integrity and functionality of the Umbilical Venous Catheter is crucial for the well-being of the infant. Key aspects of maintenance include:

  • Regular Flushing: The catheter should be flushed with a sterile saline solution to prevent clotting and maintain patency.
  • Aseptic Technique: Strict aseptic techniques must be followed during any manipulation of the catheter to prevent infection.
  • Monitoring: Continuous monitoring of the infant's vital signs and the catheter site is essential to detect any signs of complications early.
  • Dressing Changes: The sterile dressing should be changed regularly to prevent infection and ensure the catheter remains secure.

Healthcare providers should also be vigilant for signs of catheter-related complications, such as fever, redness, swelling, or purulent discharge at the insertion site. Prompt intervention is necessary to prevent serious infections or other complications.

Removal of the Umbililcal Venous Catheter

The Umbilical Venous Catheter is typically removed when it is no longer needed or when complications arise. The removal process involves:

1. Preparation: The healthcare provider prepares the necessary equipment, including sterile gloves, gauze, and antiseptic solution.

2. Removal: The catheter is gently withdrawn from the umbilical vein. Pressure is applied to the insertion site to control any bleeding.

3. Post-Removal Care: A sterile dressing is applied to the site, and the infant is monitored for any signs of bleeding or infection.

📌 Note: The removal process should be performed by a trained healthcare professional to minimize the risk of complications.

Alternative Vascular Access Methods

In some cases, alternative vascular access methods may be considered if the Umbilical Venous Catheter is not suitable or if complications arise. These alternatives include:

  • Peripheral Intravenous Catheters: These are inserted into peripheral veins and are suitable for short-term use.
  • Peripherally Inserted Central Catheters (PICCs): These are inserted into a peripheral vein and advanced to the central circulation, providing long-term access.
  • Central Venous Catheters: These are inserted directly into a central vein, such as the internal jugular or subclavian vein, and are suitable for long-term use.

Each of these alternatives has its own set of advantages and disadvantages, and the choice depends on the infant's clinical needs and the healthcare provider's expertise.

In conclusion, the Umbilical Venous Catheter is an indispensable tool in neonatal intensive care, providing essential vascular access for critically ill newborns. Its proper insertion, maintenance, and monitoring are crucial for ensuring the safety and well-being of the infant. While complications can occur, adherence to strict protocols and vigilant care can minimize these risks. Alternative vascular access methods are available when the Umbilical Venous Catheter is not suitable, offering flexibility in managing the diverse needs of neonatal patients.

Related Terms:

  • umbilical artery catheter
  • umbilical venous catheter x ray
  • umbilical venous catheter complications
  • umbilical venous catheter newborn
  • umbilical venous catheter icd 10
  • umbilical venous catheter location