Volvox Under Microscope

Volvox Under Microscope

Exploring the microscopic world can be a fascinating journey, revealing intricate details that are often overlooked by the naked eye. One of the most captivating subjects to observe under a microscope is the Volvox. This freshwater green alga is not only visually stunning but also holds significant biological importance. In this post, we will delve into the world of Volvox under a microscope, exploring its structure, behavior, and ecological significance.

What is Volvox?

Volvox is a genus of chlorophyte green algae consisting of spherical colonies of 500 to 60,000 cells. These colonies are held together by a gelatinous matrix, which gives them a distinctive appearance. Volvox is often referred to as a "simple multicellular organism" because, while it is composed of many cells, these cells are not differentiated into specialized tissues. Each cell within a Volvox colony is capable of independent existence but functions cooperatively within the colony.

Observing Volvox Under a Microscope

To observe Volvox under a microscope, you will need a basic compound microscope and a sample of Volvox. Volvox can be found in freshwater ponds, lakes, and slow-moving streams. Here are the steps to prepare and observe Volvox under a microscope:

  • Collect a sample of freshwater from a pond or lake where Volvox is likely to be present.
  • Place a drop of the water sample on a clean microscope slide.
  • Cover the drop with a coverslip, ensuring there are no air bubbles.
  • Place the slide on the microscope stage and focus using the lowest power objective lens.
  • Adjust the focus and magnification to observe the Volvox colonies clearly.

🔍 Note: Ensure the microscope is properly calibrated and the light source is adequate for clear observation.

Structure of Volvox

When observed under a microscope, Volvox colonies appear as spherical or slightly oval structures. The individual cells within the colony are arranged in a monolayer on the surface of the sphere. Each cell has two flagella, which are used for locomotion. The flagella beat in a coordinated manner, allowing the colony to move through the water. The cells are connected by cytoplasmic strands, which facilitate communication and nutrient sharing within the colony.

One of the most striking features of Volvox is its reproductive cells. Volvox reproduces both asexually and sexually. Asexual reproduction occurs through the formation of daughter colonies within the parent colony. These daughter colonies are released when the parent colony ruptures. Sexual reproduction involves the formation of gametes, which fuse to form zygotes. These zygotes develop into new colonies under favorable conditions.

Behavior of Volvox

Volvox exhibits fascinating behavior that can be observed under a microscope. The coordinated movement of the flagella allows the colony to move in a synchronized manner, often described as a "rolling" motion. This behavior is crucial for the colony's survival, as it helps in finding nutrients and avoiding predators.

Volvox colonies also exhibit phototaxis, the movement towards or away from light. This behavior is essential for photosynthesis, as Volvox relies on sunlight for energy. The colonies move towards the surface of the water during the day to maximize light exposure and descend to deeper waters at night to avoid predators and conserve energy.

Ecological Significance of Volvox

Volvox plays a crucial role in freshwater ecosystems. As a photosynthetic organism, it contributes to the production of oxygen and the fixation of carbon dioxide. This process helps maintain the ecological balance in aquatic environments. Volvox also serves as a food source for various aquatic organisms, including zooplankton and small fish.

Additionally, Volvox is an important model organism in biological research. Its simple multicellular structure and cooperative behavior make it an ideal subject for studying the evolution of multicellularity and cellular differentiation. Researchers use Volvox to understand the genetic and molecular mechanisms underlying these processes, providing insights into the development of more complex organisms.

Comparative Analysis of Volvox and Other Algae

To better understand the unique characteristics of Volvox, it is helpful to compare it with other types of algae. The following table provides a comparative analysis of Volvox and some common algae:

Characteristic Volvox Chlamydomonas Spirogyra
Structure Spherical colonies of cells Single-celled Filamentous
Reproduction Asexual and sexual Asexual Asexual
Movement Flagella-driven Flagella-driven Non-motile
Ecological Role Primary producer, food source Primary producer Primary producer

This comparison highlights the distinct features of Volvox, particularly its colonial structure and coordinated movement, which set it apart from other algae.

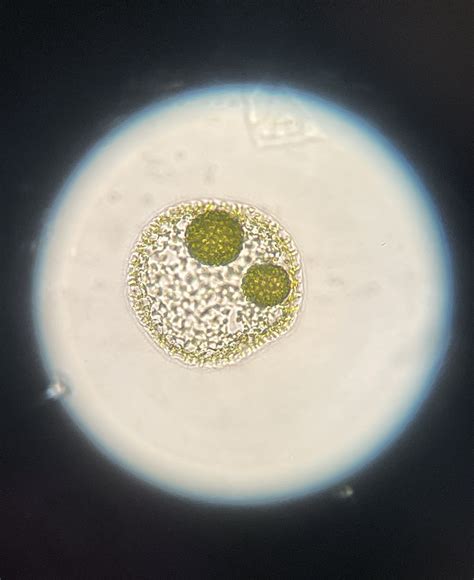
Volvox Under Microscope: A Visual Journey

Observing Volvox under a microscope is a visual treat. The spherical colonies, with their flagella beating in unison, create a mesmerizing sight. The coordinated movement and phototactic behavior make Volvox a fascinating subject for both amateur and professional microscopists. The following image provides a glimpse into the world of Volvox under a microscope:

Volvox Under Microscope

This image captures the beauty and complexity of Volvox colonies, showcasing their spherical structure and the intricate arrangement of cells.

Volvox under a microscope reveals a world of biological wonder. From its unique structure and behavior to its ecological significance, Volvox offers valuable insights into the natural world. Whether you are a student, a researcher, or a curious observer, exploring Volvox under a microscope is an enriching experience that deepens our understanding of life’s intricate designs.

Related Terms:

  • volvox under microscope 100x
  • volvox under light microscope
  • volvox organism
  • volvox under microscope 40x
  • volvox size
  • volvox structure